Ron Schutt, CEO of OrVance, Aligner Pontics eliminates the time and cost required by dental and orthodontic practices to customize trays with fabricated pontics by allowing the patient to insert into their aligner or retainer. (Photo OrVance)
GRAND RAPIDS, Mich., USA: OrVance, a developer of proprietary oral care products, has launched OrVance Aligner Pontics. According to the company, OrVance Aligner Pontics is the first solution that is designed for fast and easy use by the patient and saves substantial time and costs to the practice.
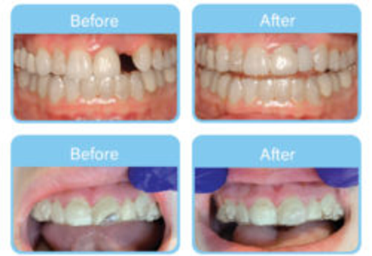
The company said that beta testing during product development reported very high satisfaction from both practices and patients for the material and its packaging. The product comes in hygienic single-use applications and is made from a permanently pliable medical grade silicone with food-safe colorants in the Vita Shade range of A2–D2.
“In just the first few weeks of launching, we received over 400 sample request from leading orthodontic practices across the country which quickly confirmed that we are fulfilling an unmet need,” said Ron Schutt, OrVance’s CEO. “Practices love that OrVance Aligner Pontics empower the end patient to apply pontics in their aligner trays with very high satisfaction. Equally important, they also save the practice the hassle of fabricating pontics while avoiding the need to disrupt and potentially contaminate the original packaging of the aligner trays.”
According to Dr. Mart McClellan, orthodontist in Kenilworth Ill., “OrVance Aligner Pontics is a game changer on many levels. The material itself offers a very realistic appearance in tooth color, texture, and translucence and is very pliable and easy for the patient to use. With its hygienic and convenient packaging, my patients easily apply the pontic in a tray in less than 10 seconds. What’s so unique about this product is that the permanently pliable material sticks in the tray and self-molds perfectly against the gingival tissue and adjacent teeth. My staff and my patients love this product.”
Practices can receive a free sample and learn where to buy at orvance.com.
DALLAS, US: As artificial intelligence (AI) tools are increasingly explored in dental education and clinical learning, questions remain about how reliably ...
ZUG, Switzerland: Swiss dental manufacturer vVARDIS has announced a strategic minority investment from funds managed by Apollo, a global alternative asset ...
Before we dive in, I want you to think about what you feel is the biggest reason why your clear aligner treatment is not going as well as it should. There ...
Anterior open bites present orthodontists with a unique challenge: achieving successful and timely treatment while minimizing patient inconvenience. ...
Which is better: a horse or a car? While at first it seems like this is a silly question that most can easily dismiss, this question can prompt endless ...
Education
Live webinar Wed. 6 May 2026 1:00 PM EST (New York)
To post a reply please login or register