As a technical advisor, I see a lot of extremes. Complicated full-mouth reconstruction cases with huge numbers of variables and challenges to solve aren’t uncommon to see several times a week. By the time I see the case, I’ve already spoken with the dentist, planned the case, and I know what to expect. Difficult at times, but also fairly routine.
It’s the cases that seem extremely straight-forward and easy on the outside that can have the tendency to throw me for a loop. And to be honest, if I had to choose, I’d probably choose the full-mouth reconstruction over a single unit central incisor any day of the week.
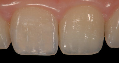
Why? Shade.
What makes matching a shade so difficult? It’s the one physical property of a tooth that’s loaded with subjectivity. The rest of the physical properties are very objective and easier to match; length, width, and contour are all right there on the study model and are plain as day.
Shade can be difficult because everyone’s eyes perceive color, shade, hue and value slightly differently. What looks like a perfect match to one person could look a little “off” to another. And with cases like single-unit central incisors that demand vital, lifelike esthetics, a shade match that isn’t perfect can mean one redo after another, and a lot of unhappy people.
This isn’t new news to most of us, though. The majority of cases that come in are bundled with lots of quality information about the case and patient, including photos to communicate shade and other subtle details such as incisal translucency, surface texture, craze lines, demarcation lines and calcification. But photos can be a double-edged sword.
If they’re taken well, a photo can speed the shading process and eliminate lots of guesswork. On the other hand, a photo that doesn’t take certain variables into consideration can put the process back at square one and increase the chances that the shade won’t be perfect.
Just like any other job, using the right tools can make all the difference. And in this case, the right tools can help eliminate many of the variables that can throw the accuracy of a shade-matching photo off. The toughest variable to control in this case is light and the way it affects your subject. The amount, type, and temperature of light can alter the outcome of a photo. A perfect example is a photo with subjects that have turned a bluish hue from fluorescent lights or an orangish hue from incandescent lights.
Here are some tips you can offer the dentists you work with on how to master the light and control the subject in your office to yield the most accurate color in your photos:
- Use color-corrected office lighting. At Keating Dental Arts, every fluorescent light is calibrated to 6,700 degrees Kelvin. It’s very close to the temperature of natural daylight and helps us eliminate light as a variable for achieving accurate shades.
- Consider your backdrop. Seafoam green operatory walls may match the dentist office’s color scheme, but it can throw off the accuracy of photos. Colored walls reflect ambient light and can impact the color of a photo. A room or wall with a neutral color like white, off-white or light gray usually generates the best results.
- Consider your patient’s clothing. Just like the surrounding walls, brightly colored clothing can reflect ambient light and change the quality of your photo. Using a neutral colored drape or smock will help minimize or eliminate that chance.
- Calibrate your camera’s white balance. If your camera “knows” how absolute white should appear, then you can be more certain that the rest of the colors will be accurate and lifelike. Consult your user’s manual for this step.
- Determine shade at or near the beginning of the appointment. The longer you and your patient are looking at and comparing shade tabs, the more likely you are to suffer from ocular fatigue. A tired pair of eyes has a tougher time determining shade.
- Have your patient remove lipstick or other makeup. This is really about minimizing distractions and making it easier to determine a patient’s overall tone.
- Remember the vertical plane. Make sure that the shade tab and the patient’s tooth are in the same vertical plane in space relative to the camera’s lens. If the shade tab is in front of or behind the tooth, the way light reflects the two can appear slightly different to the camera.
- Take a black-and-white photo. A black and white photo will help show the value of the shade tab relative to the patient’s tooth.
- Use a macro lens. A macro lens makes close-up photography much easier by reducing the minimum distance you can be from your subject. The lens your camera came with may not be able to focus on a subject closer than a foot from the lens, but with a macro lens, that distance can be shortened to a couple inches.
This may seem like a lot of work just to take a few photos, but remember the idiom, “an ounce of prevention is worth a pound of cure.” By putting in the effort at the beginning to eliminate as many variables as possible, the result is getting a dead-on shade match the very first time, which is what the patient wants, what you demand, and what your laboratory strives to achieve.
About the author
Kevin Kim began in the dental lab industry as an outside sales representative for a small lab in Anaheim, Calif. While attending Los Angeles City College’s dental technology program, he was taken under the wing of the late John C. Ness, CDT, of Productivity Training Corporation. Currently, Kim works as a technical advisor for Keating Dental Arts in Irvine, Calif.
West Virginia University is one of three U.S. universities testing a new technology that incorporates “shape memory” material for clear plastic dental ...
SEATTLE, Wash, USA: The Academy of Osseointegration welcomed thousands of clinicians and support staff to its 29th annual meeting in Seattle, held March 6 ...
SAN FRANCISCO, Calif., USA: Where better to find the latest in imaging than in a place known for the most distinct imagery in the world? That’s ...
Let’s face it — people are busy. The average person’s schedule is so flooded with the ‘do this and that’ of life that many ...
Delivery of dental care falls into two categories: single provider care (uni-disciplinary) and collaborative care. The structure of a practice—that is, ...
Color results from the relationship between light and an object and, therefore, restorative composite materials must show optical properties similar to ...
You know how those days go — all morning long, it felt like you were struggling to keep on track with the schedule. Your team is frustrated because ...
It surprises me how often I meet orthodontists who bring up the challenges of hiring great employees for their practice. Finding and retaining good people ...
Dental Support Organizations (DSOs) need to make safety, consistency and efficiency a top priority. It’s critical to delivering the best patient ...
Content marketing has become a big thing in recent years, and this promotional technique is only poised to get bigger. When done right, content marketing is...
Live webinar
Thu. 14 May 2026
12:00 PM EST (New York)
Live webinar
Thu. 14 May 2026
2:00 PM EST (New York)
Prof. Hani Ounsi DDS PhD FICD
Live webinar
Tue. 19 May 2026
11:00 AM EST (New York)
Live webinar
Tue. 19 May 2026
1:00 PM EST (New York)
Prof. Dr. med. dent. Ivo Krejci
Live webinar
Wed. 20 May 2026
7:00 AM EST (New York)
Dr. Graham Carmichael BDSc (Hons), DClinDent (Pros), FRACDS, Dr. Robert Gottlander DDS
Live webinar
Wed. 20 May 2026
9:00 AM EST (New York)
Live webinar
Wed. 20 May 2026
1:00 PM EST (New York)
Prof. Dr. med. dent. Tim Joda PhD, MSc, eMBA
To post a reply please login or register