In the anterior region where esthetics are paramount, certain complications can preclude the use of all-ceramic material. The task then becomes finding a material worthy of the anterior with the durability to meet precise standards. Obsidian Lithium Silicate Ceramic Pressed to Metal (Prismatik Dentalcraft Inc.; Irvine, Calif.) puts an innovative spin on PFMs, with traditional porcelain passed over for lithium silicate ceramic.
The result is five times the strength and more than two times the chip resistance of traditional PFMs.
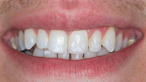
A 27-year-old male patient presented with an old PFM crown on tooth #9, which had undergone endodontic treatment about 10 years prior to address decay. A darkened margin, visible due to gum recession on the facial, posed a distinct problem for this anterior case. In addition, the esthetics of the PFM crown were noticeably inadequate.
To achieve an optimal outcome in the face of these difficulties, the first task in the treatment plan was to match the gingival height of tooth #9 to #8. Choosing Obsidian for the new crown was important in providing esthetics, as all-ceramic materials were eliminated from consideration due to the dark gingiva of the tooth in question.
In relation to the rest of the patient’s smile, the PFM crown on tooth #9 does not offer harmonious shade and contours and fails to mirror the natural translucency and character of tooth #8. I used a gingivectomy on tooth #9 to improve contours, which was completed with a Picasso Lite diode laser (AMD Lasers; Indianapolis, Ind.).
embedImagecenter("Imagecenter_1_2391",2391, "large");
To improve visibility of the gingival contours, I used hydrogen peroxide to scrub away the charred tissue tags. The gingival height of teeth #8 and #9 is now more symmetrical while avoiding violation of the biological width. In order to approach a normal cervical contour with the provisional and the final restoration, it is important to mirror the CEJ of the other central. Otherwise, the restored tooth will have a narrow form and will not look esthetic.
With retraction cords in place and Capture medium- and heavy-body impression materials at the ready, a two-cord impression technique can be carried out. This case features a shoulder preparation to ensure enough thickness for the ceramic labial margin to block the darkness of the preparation at the gingiva.
A temporary crown provides a preview of how the new anterior restoration can blend in with the overall smile. Photos of the mocked-up temporary were included in the information provided to the lab technician.
After sandblasting the inside of the restoration, the Obsidian Pressed to Metal crown is ready to be cemented with RelyX Luting Plus (3M ESPE; St. Paul, Minn.). The Obsidian Pressed to Metal crown successfully masks the darkened stump shade at the gingival third while also blending in with the overall smile.
Previously, a PFM was the common restorative choice for a case involving a darkened stump shade. Fortunately, today’s clinicians have Obsidian Pressed to Metal, which outperforms traditional PFMs. Natural-looking esthetics and proven strength propel Obsidian Pressed to Metal past its predecessors.
Note: This article was published in Dental Tribune U.S. Edition, Vol. 11, No. 7, July 2016 issue.
A smile that is perceived as unattractive mars confidence, sociability and self-regard. For some patients, the lack of visual appeal stems in large part ...
July is National Cleft and Craniofacial Awareness and Prevention Month, a time to raise awareness and improve understanding of orofacial clefts and other ...
A medically and periodontally stable 50-year-old woman presented with failing #8 and #9 teeth that exhibit asymmetry, lack of interdental papilla and a ...
Platform switching is a means of achieving better esthetics and more predictable function by using a healing abutment that is narrower than the width of the...
CHICAGO, USA: NuSmile offers practitioners easy placement of esthetic stainless-steel crowns for children, said Diane Johnson Krueger, CEO and president of ...
NEW YORK, N.Y., USA: “Esthetic Guided Protocols for Insertion and Rehabilitation with Dental Implants” is the topic that will be discussed by ...
As the saying goes, birds of a feather flock together. Understandably, it’s common for those with like interests, backgrounds and experiences to form ...
Dentists today are living during exciting times when advancements in materials, techniques and diagnostics allow us to predictably improve the quality of ...
Dental implants are now a common way to replace a tooth. But a dentist must first determine that an implant restoration can be successful for a particular ...
A 45-year-old female patient presented with a root-filled premolar that had a composite MOD restoration present, and the unprotected buccal cusp had ...
Live webinar
Thu. 14 May 2026
12:00 PM EST (New York)
Live webinar
Thu. 14 May 2026
2:00 PM EST (New York)
Prof. Hani Ounsi DDS PhD FICD
Live webinar
Tue. 19 May 2026
11:00 AM EST (New York)
Live webinar
Tue. 19 May 2026
1:00 PM EST (New York)
Prof. Dr. med. dent. Ivo Krejci
Live webinar
Wed. 20 May 2026
7:00 AM EST (New York)
Dr. Graham Carmichael BDSc (Hons), DClinDent (Pros), FRACDS, Dr. Robert Gottlander DDS
Live webinar
Wed. 20 May 2026
9:00 AM EST (New York)
Live webinar
Wed. 20 May 2026
1:00 PM EST (New York)
Prof. Dr. med. dent. Tim Joda PhD, MSc, eMBA
To post a reply please login or register