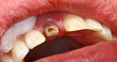
Dental implants are now a common way to replace a tooth. But a dentist must first determine that an implant restoration can be successful for a particular patient. As an indicator, dentists use the crown-to-root ratio — how much of the tooth extends above the jawbone and how much is in the bone.
However, the ideal crown-to-implant ratio for the replacement tooth has yet to be determined.
A new study in the current issue of the Journal of Oral Implantology evaluated the health of implants that had been in place more than five years. By examining the crown-to-implant ratios in these cases, the authors found that this factor was not as important to the success of implants as previously thought.
Radiographs were used to examine 309 single-tooth short-length implant-supported restorations in 194 patients. All the implants had been surgically placed between February 1997 and December 2005.
The ideal crown-to-root ratio for a tooth to serve as an abutment for a partial denture is considered 1 to 2 — twice as much root as crown. But previous studies have given mixed results about ratios for implanted teeth. Excessive crown-to-implant ratios have been named as detrimental to long-term survival of an implant, while disproportionate ratios have been noted in high rates of implant survival.
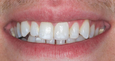
The current study found an average crown-to-implant ratio of 2 to 1. Natural teeth with such ratios would often be recommended for extraction and replacement.
The authors found that stable implants could be produced with less of the tooth serving as root. Additionally, the study found no statistically significant relationship between increasing crown-to-implant ratios and decreasing bone-to-implant contact levels around the implant.
The article, “Crown-to-Implant Ratios of Short-Length Implants,” is in Journal of Oral Implantology, Vol. 36, No. 6, 2010.
The Journal of Oral Implantology (JOI) is the official publication of the American Academy of Implant Dentistry and of the American Academy of Implant Prosthodontics. It is dedicated to providing valuable information to general dentists, oral surgeons, prosthodontists, periodontists, scientists, clinicians, laboratory owners and technicians, manufacturers and educators. The JOI distinguishes itself as the first and oldest journal in the world devoted exclusively to implant dentistry.
A new study addresses the growing controversy among dental health professionals regarding the best course of treatment when evaluating between a root canal ...
Lightweight and compact: This is how the new sintering furnace Programat S1 from Ivoclar Vivadent presents itself. Its major advantage lies in the short ...
MIAMI, Florida, USA: Since 2000, more than 4 million robotic-assisted surgeries have taken place across multiple medical specialties, including ...
Building on the success of its i-CAT FLX cone-beam 3-D imaging technology, i-CAT, a brand of the KaVo Kerr Group, launches the i-CAT FLX V-Series, the ...
Single-unit and short-span restorations present clinicians with an excellent opportunity to utilise digital workflows. These high-accuracy appliances ...
New York University College of Dentistry (NYU Dentistry) has become one of the first U.S. dental schools to acquire, install and use surgical robotic ...
In the anterior region where esthetics are paramount, certain complications can preclude the use of all-ceramic material. The task then becomes finding a ...
Today’s consumers want to improve their bite or smile using “braces that don’t show” — meaning aligners, while getting great results quickly and ...
CHICAGO, Ill., USA: According to a recent survey by the American Association of Endodontists (AAE), 78 percent of respondents say they would rather avoid ...
Implant site preservation is an important component of diagnosis and treatment planning. Through CAD (computer aided design), prosthesis can be designed ...
Live webinar
Thu. 14 May 2026
12:00 PM EST (New York)
Live webinar
Thu. 14 May 2026
2:00 PM EST (New York)
Prof. Hani Ounsi DDS PhD FICD
Live webinar
Tue. 19 May 2026
11:00 AM EST (New York)
Live webinar
Tue. 19 May 2026
1:00 PM EST (New York)
Prof. Dr. med. dent. Ivo Krejci
Live webinar
Wed. 20 May 2026
7:00 AM EST (New York)
Dr. Graham Carmichael BDSc (Hons), DClinDent (Pros), FRACDS, Dr. Robert Gottlander DDS
Live webinar
Wed. 20 May 2026
9:00 AM EST (New York)
Live webinar
Wed. 20 May 2026
1:00 PM EST (New York)
Prof. Dr. med. dent. Tim Joda PhD, MSc, eMBA
To post a reply please login or register