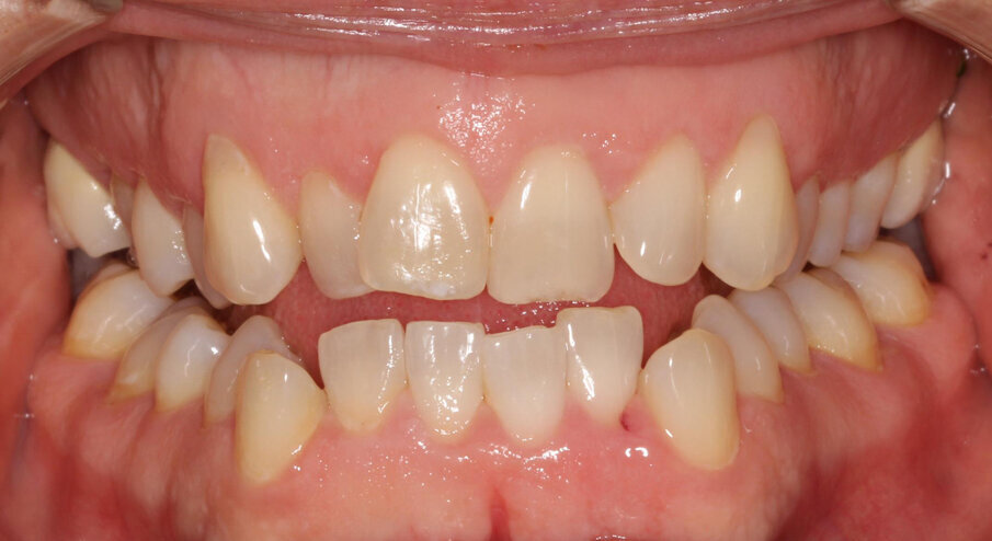
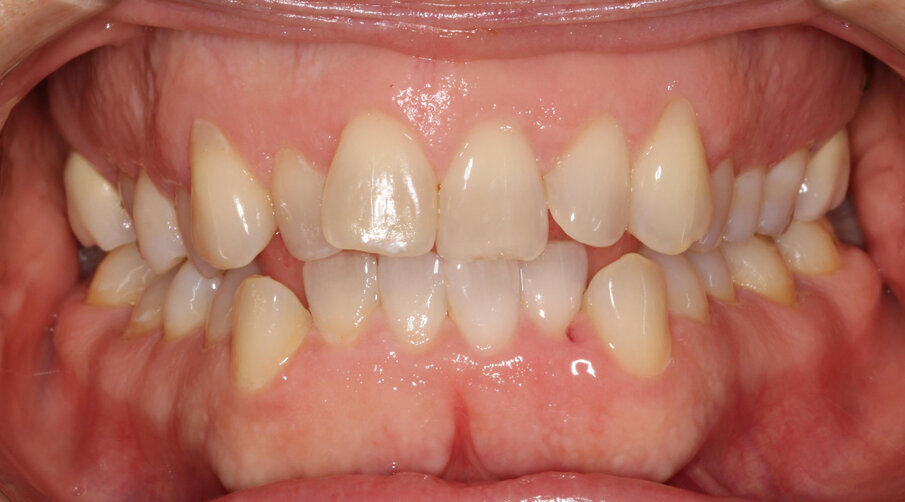
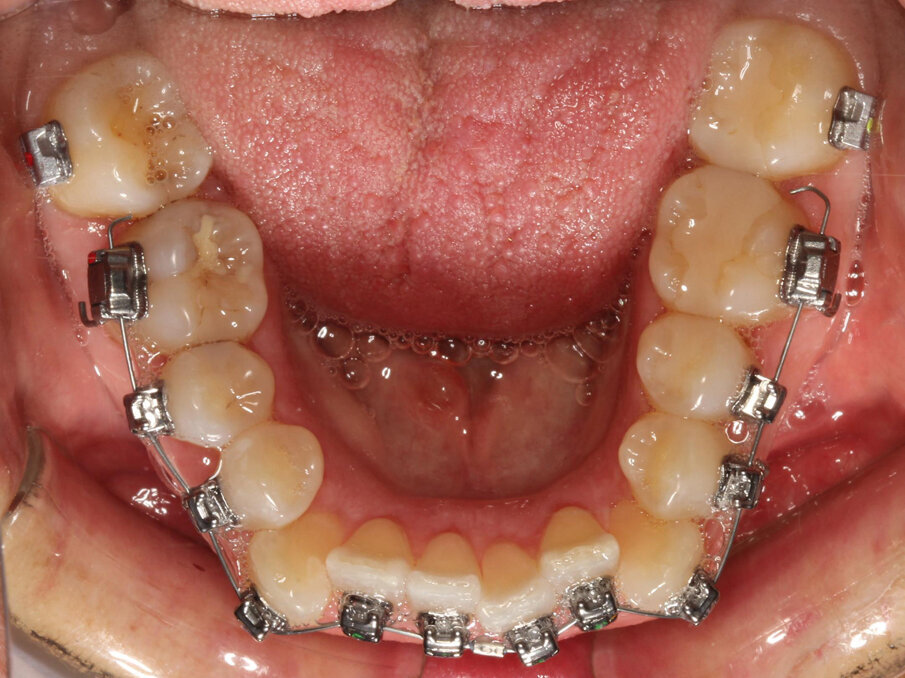
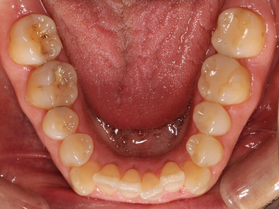
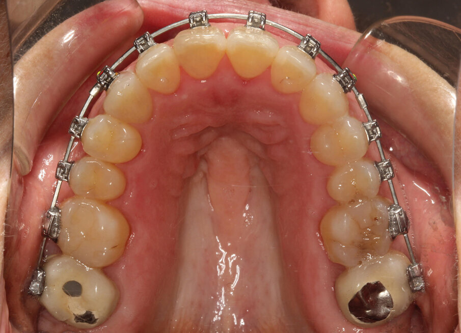
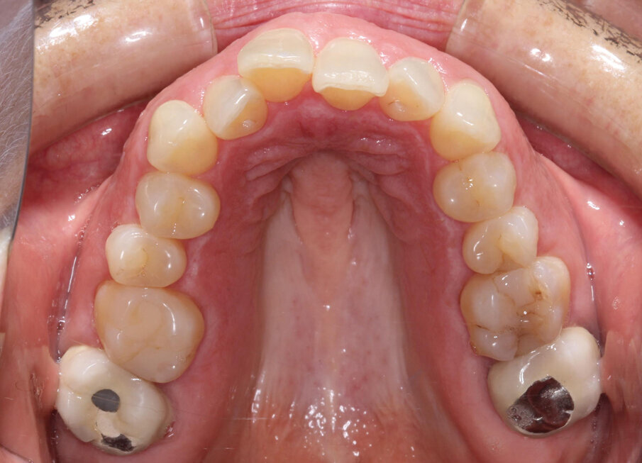
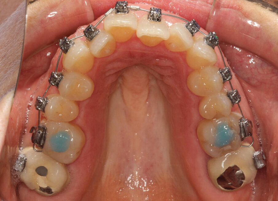
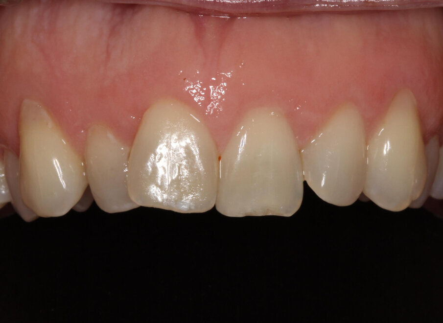
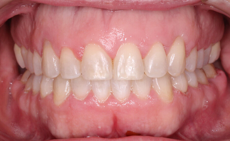
A 48-year-old female presented with a Class I crowded malocclusion with moderate maxillary and mandibular crowding. The facial profile was convex with a slightly retrusive mandible due to a vertical mandibular pattern. Normal lip strictures were noted with slight strain on closure. A constricted arch form with tapered buccal segments resulted in poor smile width and dark buccal corridors. This, along with a reverse smile arc due to insufficient incisor eruption resulted in poor smile esthetics.
The objectives were to create space while maintaining maxillary incisor position, improve the smile arc by erupting incisors and develop the posterior segments for increased arch length as well as improved smile width. Resolving crowding through arch development with proper torque control was a key objective since incisor advancement and increased angulation would lead to further lip strain. A non-extraction plan was chosen using Damon Ultima PSL System with Ultima wires, along with the use of light vertical elastics for early overbite correction and smile arc improvement.
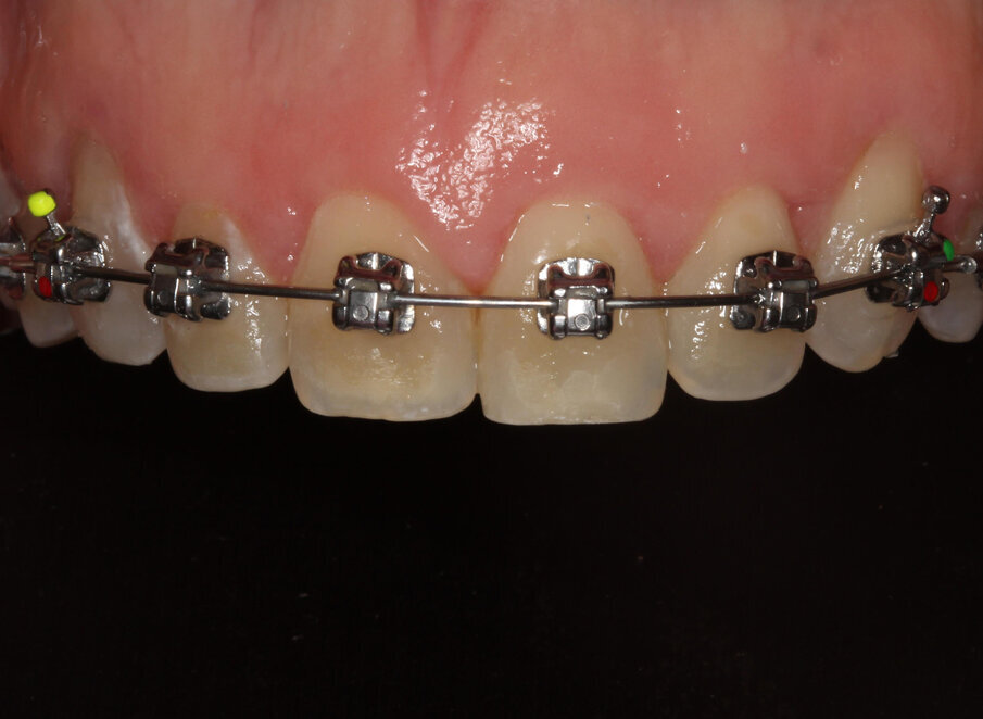
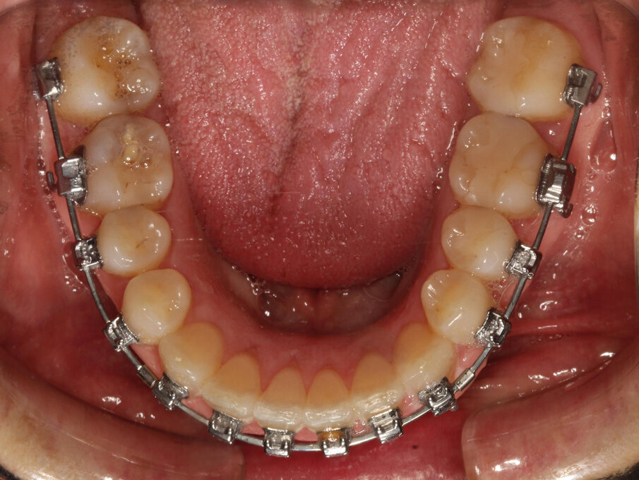
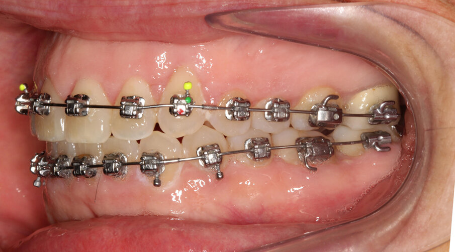
Variable torque Damon Ultima brackets were chosen for this case. Neutral torque on the upper arch and lower with retroclined torque brackets placed on the L2-2 due to crowding and objective of torque control. The brackets were positioned vertically to improve the smile arc and also help with the open bite at the following levels:
- Maxillary centrals – 6 mm
- Maxillary laterals – 5.5 mm
- Maxillary canines – 5 mm
- Mandibular canines – 5.5 mm
- Mandibular incisors – 5 mm
Phase 1
Initial 0.013 CuNiTi U/L and an early elastic were started using 2 oz. 3/16 Class 1 triangles from the U3’s to the L3-4’s part-time to help with the eruption of the maxillary incisors and overbite. After four weeks, wires were changed to 0.014 CuNiTi and then again to 0.018 CuNiTi extending to the U/ L7’s. Wires were again changed four weeks later to 0.014 x 0.0275 CuNiTi Ultima U/L.
Observations: At the end of phase 1, most of the rotations had been corrected and arch development was progressing well. Additionally, the crowding had been resolved and primary torque control was being seen. The time frame of these changes were eight months.
Phase 2
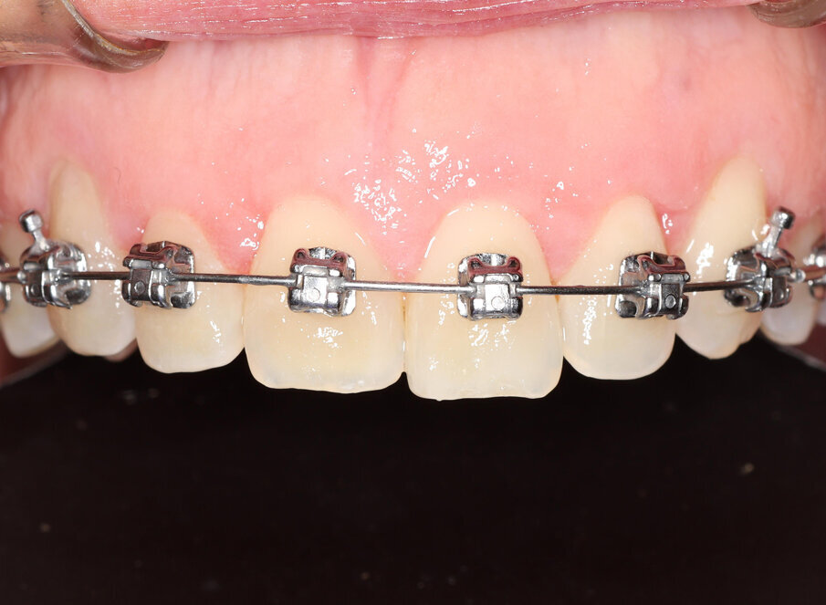
During this phase, the wires were changed to 0.018 x 0.0275 CuNiTi Ultima U/L. The upper 3-3 were laced to avoid space opening and the elastics were changed to Class 2 full-time. A few brackets were repositioned and the U/L3’s were re-selected changed to proclined torque to improve angulation.
Observations: Archform was really improved in both shape and width. After changing the canines to proclined torque and allowing the Ultima wires to express the deflection, the torque changes were also very close to the final goals.
Phase 3
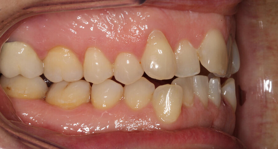
The finishing wires were 0.018 x 0.0275 stainless steel (SS) Ultima upper and 0.016 x 0.0275 SS Ultima lower. The patient was seen on four-week intervals for shaping of wires and instructions for Class 2 box elastics to help with closure on the right side.
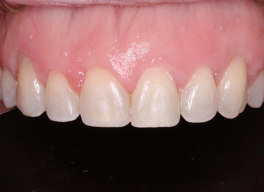
Observations: The finishing phase of this case was quite simple due to very few adjustments required to be made to the wires. By resolving rotations and axial inclination early along with torque expression through the Ultima wire range, the teeth made their way to the final position much faster and more directly than expected.
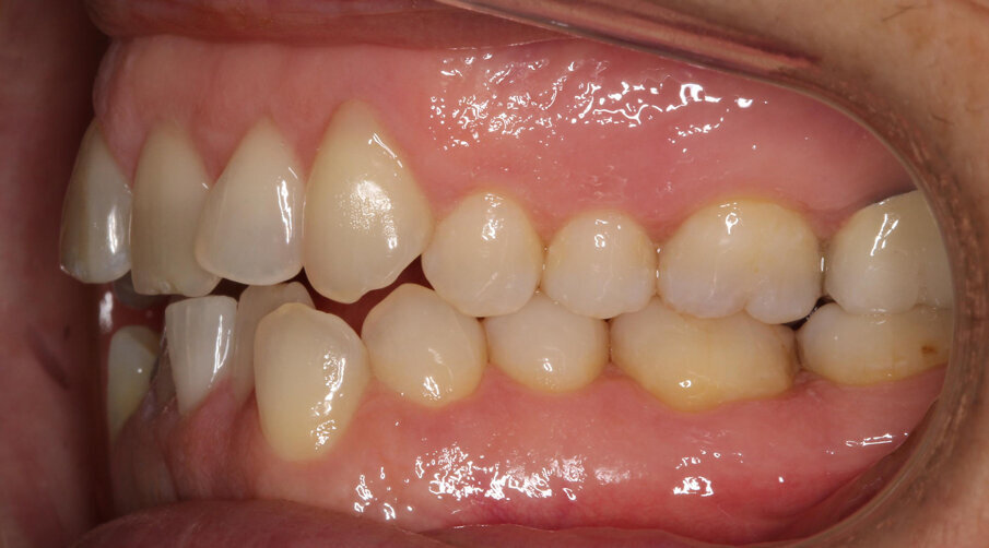
Overview
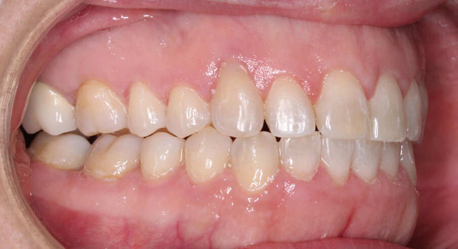
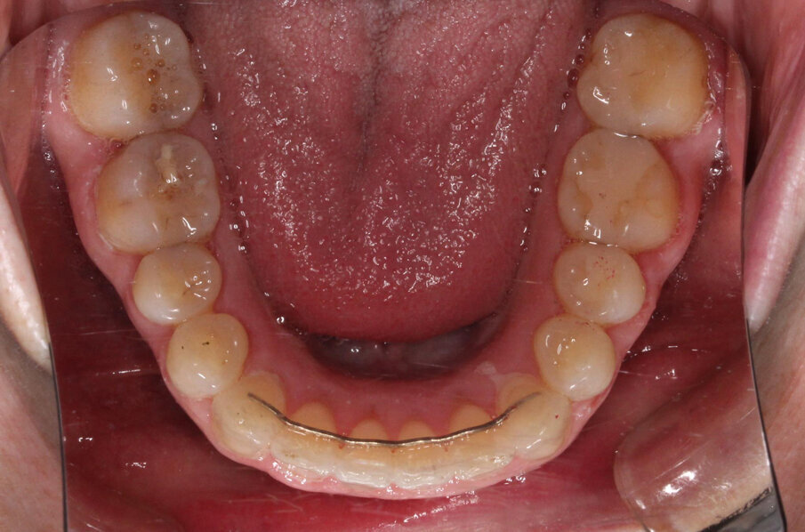
An overview of the case resulted in the Damon Ultima PSL with variable torques utilized correcting the malocclusion with resolution of the significant crowding and lack of overbite along with substantial arch development. Maxillary incisor position and angulation were maintained due to significant posterior arch development and anterior torque control. Overall, the patient was extremely compliant with elastics from the beginning to the end of treatment. From a clinical efficiency standpoint, the patient had 11 treatment visits and was completed in 13 months.
Lessons learned
After reviewing this case, proper selection of variable torque on the U/L3’s would have helped achieve the final position with efficiency. Since this case was part of the Ultima Study, she was seen on four-week intervals. If this was treated without the four week protocol, the 0.013 CuNiTi could have been maintained for eight weeks and progressed directly to 0.018 CuNITi and then to 0.014 x 0.0275, simplifying phase 1.
Editorial note:
Michael Bicknell, DDS, MS, earned his DDS and completed a residency in orthodontics at the University of Illinois at Chicago College of Dentistry where he also received a MS in oral biology. He is a former clinical instructor at the university and continues his involvement there by lecturing to dental students and orthodontic residents throughout the year. In private practice in Elmhurst, Ill., he is a diplomate of the American Board of Orthodontics and is an internationally recognized educator, presenting to thousands of orthodontists on subjects such as efficient treatment, esthetics, leadership and creating a culture of excellence.
Bicknell is a Damon System Mentor. He is a paid consultant for Ormco. The opinions expressed are those of Bicknell. Ormco is a medical device manufacturer and does not dispense medical advice. Clinicians should use their own professional judgement in treating their patients. Teeth images have not been altered. Patient results may vary.
Tags:
In an era where aesthetics and beauty dominate in advertisement, social media and many other aspects of our everyday lives, patients are actively involved ...
Ormco Corporation, a global leader and innovator of orthodontic products and solutions, launches Ultima Hook, the first and only repositionable hook, ...
During 30 years of practice, I’ve lived through more than a couple of eras in orthodontics. Each one has presented us with new challenges and new ...
Live webinar
Thu. 14 May 2026
12:00 PM EST (New York)
Live webinar
Thu. 14 May 2026
2:00 PM EST (New York)
Prof. Hani Ounsi DDS PhD FICD
Live webinar
Tue. 19 May 2026
11:00 AM EST (New York)
Live webinar
Tue. 19 May 2026
1:00 PM EST (New York)
Prof. Dr. med. dent. Ivo Krejci
Live webinar
Wed. 20 May 2026
7:00 AM EST (New York)
Dr. Graham Carmichael BDSc (Hons), DClinDent (Pros), FRACDS, Dr. Robert Gottlander DDS
Live webinar
Wed. 20 May 2026
9:00 AM EST (New York)
Live webinar
Wed. 20 May 2026
1:00 PM EST (New York)
Prof. Dr. med. dent. Tim Joda PhD, MSc, eMBA
To post a reply please login or register