During 30 years of practice, I’ve lived through more than a couple of eras in orthodontics. Each one has presented us with new challenges and new opportunities. A significant challenge for our profession in the present era is the unprecedented decentralization in the delivery of care that is occurring because of the proliferation of clear aligner treatment provided by non-specialists and direct-to-consumer companies.
As this trend widens, orthodontists will see fewer and more complex case referrals, and we will be compelled to compete for market share like never before.
Fortunately, the present era also includes extraordinary opportunities facilitated by innovations in communication, workflow and treatment technologies that enable us to improve and differentiate our practices and profession. Therefore, though each area is important, this discussion will be confined to the innovations in treatment technologies that I employ in my practice that enhance treatment efficiency and consistency, helping me continuously improve and compete in the changing marketplace.
Fixed appliance innovations that present exceptional opportunity
It has been said that moving teeth into healthful, esthetic and functionally stable positions with a minimum of discomfort or other undesirable effects is one of the most challenging and exacting procedures in all of dentistry. Though factors such as patient-specific biologic variation and compliance certainly contribute to this difficulty, the limitations of our profession's fixed appliance systems to move teeth are the major universal factor.
Specifically, complete expression of the built-in tooth guidance in pre-programmed orthodontic brackets has remained elusive regardless of the method of ligation. This is because of the physical constraints inherent in the bracket and wire system.
Because it is necessary for the wire to be dimensionally smaller than the lumen of the slot into which it is engaged, the wire exhibits some freedom of movement and, therefore, lack of engagement, commonly referred to as “slop.” A myriad of compensation strategies, such as torquing auxiliaries, rotation arms, wedges, dozens of prescriptions and arduous wire manipulations, have been employed by orthodontists in an attempt to overcome the limitations imposed by appliance slop.
To surmount this problem, Dr. Dwight Damon has leveraged advancements in design and manufacturing technology at Ormco Corporation to create the first full-expression, fixed orthodontic appliance. Doing so, in the context of a passive self-ligating delivery system, allows clinicians and patients to maintain the benefits of low friction/low force biomechanics while enjoying precise three-dimensional control. The full expression is achieved with the Damon Ultima™ System by novel changes in the design of the brackets and wires.
The Ultima brackets include a parallelogram-shaped slot that provides, for the first time, level slot alignment when procline, retrocline or neutral anterior brackets are used in the same arch. This eliminates vertical discrepancies that require wire manipulation and bracket repositioning to correct. The parallelogram shape also provides torque in slot rather than in the bracket's stem, maintaining the bracket faces' orientation and increasing tie wing space, enhancing the ease of use (Fig. 1).
Fig. 1. The parallelogram slot of the procline and retrocline brackets provide level slot alignment when variable torques are placed on adjacent teeth. The torque in slot design allows for ample tie wing space.
(Photos/Provided by Dr. Tom Barron & Ormco)
Fig. 2. Horizontal contacts between the round side of the 0.014 x 0.0275 CN Ultima wire with the base of the slot and door restricts freedom of rotation and provides complete rotational control.
Fig. 3. The 0.014 x 0.0275 CN Ultima wire maintains contact with the slot base and door in all orientations of the wire.
Fig. 4a. Patient R. W.’s T1 initial bonding appointment with 0.014 CN wire showing severe rotation of patient’s upper left lateral incisor. An 0.018 CN wire was placed at four weeks followed by a 0.014 x .0275 CN Ultima wire at eight weeks. Fig. 4b. T2 conclusion of the 0.014 x 0.0275 CN Ultima wire at 12 weeks, demonstrating correction of the rotation.
Fig. 5. Complete expression of torque is achieved by opposing vertical contact points at the intersection of the flat and round aspects of the wire with the incisal and gingival walls of the bracket slot.
Fig. 6a. Patient S.V. with Class II div 2 and severe deep bite. Initial bonding disarticulated with anterior bite turbos showing the severely retroclined upper central incisors. Fig. 6b. Later in treatment showing torque control after the 0.018 x 0.0275 CN Ultima wire had been in four weeks.
Fig. 7a. Patient S. V. pre-treatment.
Fig. 7b. Patient S.V.’s post finished in 11 months with the Damon Ultima System.
Fig. 8. Ten times magnification view of the uniform surface of the printed TruGEN aligner material.
Fig. 9. At top, the high-resolution printed Spark aligner material provides more surface area in contact with the tooth compared to the leading clear aligner brand on the bottom.
Fig. 10. TruGEN exhibits increase force retention compared to the leading aligner brand.
Fig. 11. Spark’s Approver software simplifies workflow while providing greater flexibility and control.
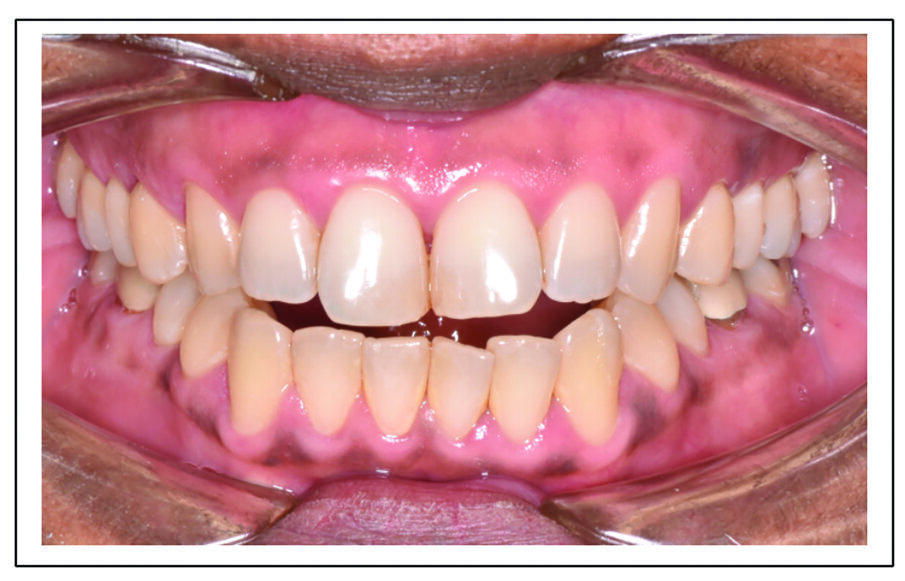
Fig. 12. Patient S. P., a 54-year-old with a Class III anterior open bite.
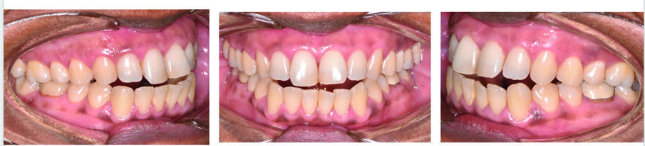
Fig. 13a. Patient S. P. pre-treatment.
Fig. 13b. Patient S. P. post-treatment after 7.75 months and five appointments of treatment with Spark clear aligners. (Note: Actual patient images, which have not been altered. Patient results may vary.)
Fig. 13a. Patient S. P. pre-treatment.
Fig. 13b. Patient S. P. post-treatment after 7.75 months and five appointments of treatment with Spark clear aligners. (Note: Actual patient images, which have not been altered. Patient results may vary.)
The redesigned brackets are paired with hybrid, round-sided rectangular wires with a buccal-lingual dimension of 0.0275. These wires are engaged after the initial progression of the 0.014 and 0.018 round copper NiTi (CN) wires. The 0.014 x 0.0275CN Ultima wire provides complete rotational control by horizontal contact points between the round sides of the wire and the base wall of the slot and bracket door (Fig. 2). This contactis maintained in all wire orientations (Fig. 3). Fig. 4 shows rotational correction achieved following engagement of the 0.014 x 0.0275 CN wire.
The subsequent 0.018 x 0.0275 CN Ultima wire completely expresses the bracket’s torque prescription by forming a torque couple via opposing vertical contact points at the intersection of the flat and round aspects of the wire with the incisal, gingival walls of the bracket slot (Fig. 5).
Fig. 6 shows the torque control achieved with the 0.018 x 0.0275 CN wire in one of the first cases I treated with the Ultima System. The patient presented a Class II div 2 case with severely retroclined central incisors and a severe deep overbite (Fig. 9). Torque control was maintained against the retroclining force of the Class II elastics throughout treatment. This challenging case was treated in only 11 months with the Damon Ultima System (Fig. 7).
This case is an example of the capability of the full expressionUltima System. Complete rotation and torque control achieved early in the treatment process, along with eliminating the compensation strategies necessary to overcome the limitations of previous appliances, enables me to significantly reduce treatment time across the spectrum of malocclusions that I treat with the system. Reduced treatment time is something that all patients desire and will opt for.
Furthermore, with case referrals trending increasingly toward the more complex, the ability to offer less invasive treatments that meet the highest standards with the Ultima System has allowed my practice to continue to thrive in today’s increasingly competitive environment.
Clear aligner innovations that create exceptional opportunity
Clear aligners are the other primary treatment delivery system in my armamentarium. Usage in my practice has increased as patients who prefer this treatment option have grown and the technology has evolved.
After using another aligner product for several years, I had the opportunity to be among the first orthodontists in North America to use the Spark™ Clear Aligner System. My initial concerns about patient reluctance with an unfamiliar brand quickly diminished when they began commenting on the superior clarity of the Spark Aligners compared to the other aligner samples in my new patient exam room. I discovered that the clarity alone was enough to convince new patients.
After initiating treatment and following an initial group of patients, I decided to use the Spark System exclusively for treating my aligner patients for three reasons: 1. Patient demand for clarity and stain resistance; 2. Control of the treatment design; and 3. Clinical performance. Spark’s innovations in materials science, manufacturing and digital technologies were integral to my decision.
Spark Aligners’ clarity and resistance to staining are achieved by a combination of the proprietary TruGEN™ aligner material and manufacturing technology that has been shown to deliver 80 percent better printing resolution than the leading brand, producing a more uniform surface on the aligners (Fig. 8). When contacting the same tooth, the more uniform surface also results in better contact between the aligner and the tooth compared to the leading brand.*
In addition, it is well established that the more surface area in contact, the better control of tooth movement (Fig. 9).*
Furthermore, the TruGEN material demonstrates advanced and sustained force retention, which translates into more efficient and effective tooth movement compared to the leading aligner material (Fig. 10). Spark has developed a more rigid TruGEN XR™ aligner material designed for smaller finishing and refinement movements to augment treatment efficiency. It possesses the same clarity, stain resistance and force retention as TruGEN and, in my opinion, helps me deliver superior finishes.
My clinical staff also prefers Spark because of the ease of attachment placement compared to other aligner systems we’ve used. The attachment templates are easily adapted to the contours of the teeth and provide precise attachment placement with minimal flash and minimal clean-up.
High-quality treatment outcomes begin with an appropriate and effective treatment plan, and the Spark Approver Software™ is a valuable tool in the workflow of submitting, designing and approving aligner treatments for my patients (Fig. 11). I prefer maximum control in the design of attachments, cutouts, bite ramps and hooks and maximum control of the three-dimensional position of individual teeth. The Spark software provides me with this flexibility.
In addition, I can compare multiple treatment plans and view side-by-side comparisons. The software also features CBCT integration that automatically aligns the digital model with the CBCT image. The brand is leading innovation in this area and has just introduced some new enhancements. With the CBCT integrated roots, orthodontists can adjust the tip, torque and rotation of teeth to account for unusual root structures such as dilacerations.
Fig. 12 shows the pre-treatment photographs of a sample case from my practice that demonstrates the efficacy of treatment with Spark. This 54-year-old patient presented an anterior open bite and a Class III occlusion with crowding. Her case was treated via intrusion of the maxillary molars, extrusion of the lower incisors and Class III elastics.
Fig. 13 shows the beautiful smile and occlusion achieved with 31 aligners and seven-day changes. The case required only five appointments and 7.75 months of treatment.
Adding the Spark System to my treatment repertoire allows me to efficiently and predictably treat those patients who prefer clear aligner treatment to address their orthodontic needs.
Both the Damon Ultima and Spark Clear Aligner systems are available because of advancements in key technologies. They allow me to deliver outcomes of the highest standard using effective and consistent treatment platforms. In addition, they have proven to be exceptional opportunities at the right time that give my practice a competitive edge._
References
* Data on file, Ormco Corporation
(Disclosure: Dr. Barron is a paid consultant for Ormco. The opinions expressed are those of Dr. Barron. Ormco is a medical device manufacturer and does not dispense medical advice. Clinicians should use their own professional judgment in treating their patients. Patient results may vary.)
About the author
Dr. Tom Barron has been in private practice for 30 years. He received a DMD from Tufts University and completed a residency in orthodontics at the University of Maryland Dental School, where he also received a master’s degree in oral biology. He is a member of the Dean’s Faculty at the University of Maryland Dental School in the Department of Orthodontics and a member of the Ormco Speaker’s Bureau.
Tags:
There have obviously been multiple impacts of COVID-19 on the human race. Measured adjustments to our normal routines, our families and how we have ...
In this article, I present a case with blocked maxillary canines emphasizing optimal treatment timing and treatment mechanics utilizing a non-extraction ...
Live webinar
Tue. 14 April 2026
8:00 PM EST (New York)
Dr. Bruce McFarlane Certified Specialist in Orthodontics Fellow: Royal College of Dentists of Canada Diplomate: American Board of Orthodontics
Live webinar
Wed. 15 April 2026
2:00 PM EST (New York)
Live webinar
Wed. 15 April 2026
8:00 PM EST (New York)
Linda Hecker MS, BSDH, RDH
Live webinar
Thu. 16 April 2026
12:00 PM EST (New York)
Dr. Pär-Olov Östman, Dr. Robert Gottlander DDS
Live webinar
Fri. 17 April 2026
12:00 PM EST (New York)
Live webinar
Fri. 17 April 2026
1:00 PM EST (New York)
Dr. Stuart Yeaton BDentSc, MOrth
Live webinar
Mon. 20 April 2026
1:00 PM EST (New York)
Dr. Alberto Monje DDS, MS, PhD
To post a reply please login or register