In an era where aesthetics and beauty dominate in advertisement, social media and many other aspects of our everyday lives, patients are actively involved in the evaluation of the goals and outcomes of their orthodontic treatment. Thus, optimal smile aesthetics is currently one of the most important factors to take into consideration when planning orthodontic treatment.1 There have been various studies focusing on smile aesthetics.2–10 Among elements like dynamic smile visualisation and relevant treatment strategies,11 it has been suggested that the effect of time is another important factor that should be evaluated during treatment planning.12
When evaluating smile aesthetics, one should include the following:
alignment of the teeth;
shade and shape of the teeth;
proportions of the teeth;
midlines;
tooth exposure;
smile arc (curvature of the maxillary incisal edges that parallels the curvature of the lower lip);
gingival display;
arch form and buccal corridor (space between the facial surfaces of the posterior teeth and the corners of the lips when the patient is smiling);13 and
facial balance.
For more than a century, orthodontists have based their treatment planning on traditional principles of achieving excellence in dental occlusion. Angle’s classification, the most widely used and accepted occlusal classification system,14 and Andrews’ six keys to normal occlusion15 have guided the orthodontic way of thinking since their introduction. These guidelines, treated as scientific orthodontic laws, nowadays must be evaluated in conjunction with aesthetics as an equally important factor in orthodontic decision-making. The aim of this case report is to demonstrate the importance of satisfying aesthetic demands of orthodontic patients while respecting the well-established principles on which our profession is based.
Fig. 1: Finishing the treatment with fixed orthodontic appliances.
Fig. 2: Facial and intra-oral photographs after treatment with fixed orthodontic appliances.
Fig. 3: Facial and intra-oral photographs after treatment with fixed orthodontic appliances.
Fig. 4: Facial and intra-oral photographs after treatment with fixed orthodontic appliances.
Fig. 5: Facial and intra-oral photographs after treatment with fixed orthodontic appliances.
Fig. 6: Facial and intra-oral photographs after treatment with fixed orthodontic appliances.
Fig. 7: Facial and intra-oral photographs after treatment with fixed orthodontic appliances.
Fig. 8: Facial and intra-oral photographs after treatment with fixed orthodontic appliances.
Fig. 9: Facial and intra-oral photographs after treatment with fixed orthodontic appliances.
Fig. 10: Facial and intra-oral photographs after treatment with fixed orthodontic appliances.
Case report
Diagnosis
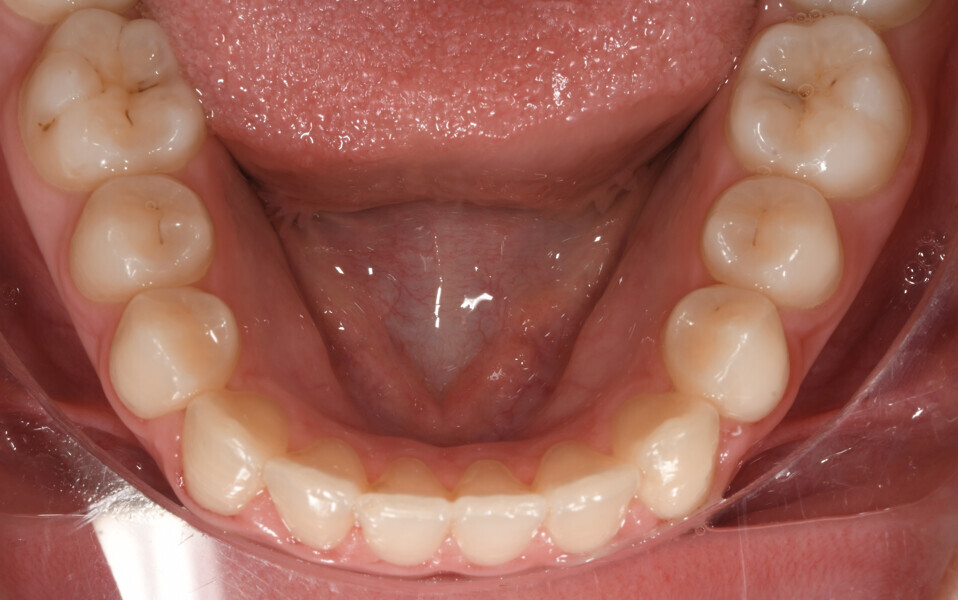
The patient had undergone orthodontic treatment with fixed orthodontic appliances at the age of 11.5. She initially presented with a Class I relationship on the left side, a slight Class II tendency on the right side and moderate crowding in both arches, which was corrected with fixed orthodontic appliances at that stage (Figs. 1–11).
Despite the achievement of an ideal occlusion and aligned arches by following the basic orthodontic guidelines and fulfilment of the treating dentist’s checklist, the patient came back complaining. She and her mother were dissatisfied with the smile aesthetics, angulation and buccolingual inclination of the maxillary anterior teeth, and reverse smile line.
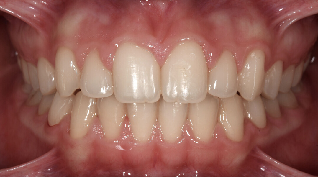
The patient presented at the age of 14 as follows (Figs. 12 & 13):
Class I occlusion;
midlines coinciding with that of the face;
aligned arches with minor malpositions (mainly concerning the maxillary anterior teeth);
minor Bolton discrepancy (anterior discrepancy of 0.51 mm mandibular excess; total discrepancy of 0.46 mm); and
straight facial profile with slightly short upper lip.
Treatment objectives and treatment plan
Based on the specific complaints of the patient, the treatment plan had to be really detailed and address them without affecting the Class I occlusion. Aimed at this goal, the treatment objectives were the following:
improvement of the alignment of the anterior teeth;
correction of the smile arc and improvement of gingival display; and
maintenance of the Class I occlusion.
The treatment plan included:
correction of the alignment, levelling and angulation of the anterior teeth;
reciprocal posterior intrusion and anterior extrusion for correction of the reverse smile line; and
no anteroposterior changes.
Figs. 11a–h: Pre-aligner treatment facial and intra-oral photographs.
Figs. 12a–e: Pre-aligner treatment digital models
Figs. 13a–h: Mid-treatment facial and intra-oral photographs.
Figs. 14a–e: Mid-treatment digital models.
Treatment progress
This case was treated with the Invisalign system (Align Technology). The initial approved treatment plan included 27 aligners for the alignment and vertical changes. The maxillary anterior teeth were planned to be extruded to a correct smile arc following the lower lip, whereas the posterior teeth would be intruded as a reciprocal movement. All vertical changes planned did not exceed 1 mm. Lingual root torque was applied to the maxillary central incisors, and the canines were brought to a more upright position.
Since the movements planned were specific, and torque application requires time, some mid-treatment corrections were necessary (Fig. 14). Some optimised attachments replaced the horizontal conventional ones on the maxillary anterior teeth: extrusion attachments on the incisors and root angulation on the canines for better control (Fig. 15). This additional aligner sequence consisted of 15 aligners.
Treatment result
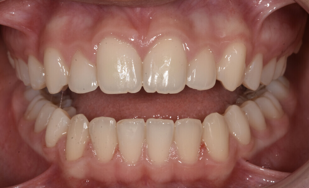
Final results were achieved with 42 aligners that were changed weekly (10.5 months of treatment), leading to a very aesthetic final outcome (Figs. 16–25), pleasing to the patient and her parents. All details in the anterior aesthetic zone were addressed, and it is those corrections that gave the patient the smile she desired: a smile line following the lower lip with attractive anterior buccolingual inclination and ideal gingival display according to her age.
Fig. 15: Final facial photograph.
Fig. 16: Final facial photograph.
Fig. 17: Final facial photograph.
Fig. 18: Final intra-oral photograph.
Fig. 19: Final intra-oral photograph.
Fig. 20: Final intra-oral photograph.
Fig. 21: Final intra-oral photograph.
Fig. 22: Final intra-oral photograph.
Fig. 23: Final intra-oral photograph.
Figs. 24a–e: Final digital models.
Discussion
In an environment where emphasis on aesthetics is continuously increasing, the ideal occlusion remains a primary goal of orthodontic treatment, but nowadays an aesthetic outcome is critical for patient satisfaction.16–21
An aesthetically pleasing smile should include aspects such as symmetry and proportion between the central incisors, minimal gingival display, moderate to minimum buccal corridors, ideal smile arc with the curvature of the maxillary anterior incisal edges following the lower lip curvature, and adequate design of the gingival margins in the aesthetic zone.22
There have been studies regarding how general dentists, orthodontists and laypersons perceive smile aesthetics. 23–35 In most situations, orthodontists have been found to be more critical in their aesthetic evaluations, giving lower scores than laypeople.22 For this reason, orthodontists worldwide are working hard to incorporate into their clinical routine different tools to focus on improving smile aesthetics.22, 26
Moreover, the contribution of digital technology has been recognised as improving and simplifying diagnosis, treatment planning and execution in orthodontics.27 The tool of digital set-up for diagnosing and treatment planning has been found to be reliable for reproducing orthodontic treatment.28 ClinCheck software (Align Technology) was effectively utilised in the presented case, in order to plan the focused orthodontic treatment that was undertaken to address the aesthetic complaints of the patient. Although there were no changes planned for the occlusion, which was already ideal, the patient was willing to undertake a second orthodontic treatment to finalise her anterior aesthetics.
The oblique dimension has been introduced as an important view in smile analysis,12 and it is used in this case report to support the importance of paying attention to the details (Figs. 26–28). Beauty is not a concept set in stone but a dynamic notion that evolves over time.30 Clinical assessment and patient perception should be actively correlated during orthodontic treatment planning.31 The combination of these two factors led in the presented case to excellent aesthetic results (Figs. 29–30).
Figs. 25: Comparison of oblique views.
Fig. 26: Comparison of oblique views.
Fig. 17: Comparison of oblique views.
Figs. 28: Post-treatment view showing the excellent aesthetic result.
Fig. 29: Post-treatment view.
Fig. 30: Post-treatment view.
Conclusion
In an era where beauty is presented in all aspects of our patients’ lives, smile aesthetics should be taken into detailed consideration when planning their orthodontic treatment, and we should always strive for excellence in every single smile we design.
Dentists today are living during exciting times when advancements in materials, techniques and diagnostics allow us to predictably improve the quality of ...
In his 1862 monograph, French neurologist Guillaume Duchenne de Boulogne postulated that facial expressions are directly related to a person’s soul.1 ...
Since the introduction of cone-beam computed tomography in 1999 in the U.S. market, there has been a gradual shift in radiography paradigms. Many of the ...
LEIPZIG, Germany: In a webinar presented on Oct. 18 by the Dental Tribune Study Club, Professor Christoph Hämmerle will guide participants through the ...
ERIE, Pa., USA: When Tehya's family heard about Smile for a Lifetime, they were excited about the possibility of their daughter receiving free braces. When ...
NEWPORT BEACH, Calif., USA: Glidewell Laboratories recently announced that it is now offering digital treatment planning and surgical guide fabrication to ...
Intraoral welding was developed by Pierluigi Mondani[1] of Genoa, Italy, in the 1970s to permanently connect submerged implants and abutments to a titanium ...
For years, orthodontic practices like mine had to rely on different providers for the latest digital technology. One company provided the scanner, another ...
A 72-year-old female patient complained of a loose lower denture that was painful to wear and chew with. A routine examination revealed a pronounced lack of...
Education
Live webinar Wed. 22 April 2026 11:00 AM EST (New York)
To post a reply please login or register