Search Dental Tribune

Dental News

A flowable for all indications

Have you ever considered the possibility that one day there might exist a flowable indicated for Class 1 through 6? Well, this reality is not as far in the ...

save

ChaseHealthAdvance offers new netbook application, iPad presentation tool and desktop toolbar

When patients are deciding on a dental treatment, especially an elective one, they want to know they’re getting the best services available — ...

save

Dental hygiene by the numbers

NEW YORK, NY, USA: How much do you know about dental hygiene, really? For example, did you know that 80 per cent of the U.S. population has some form of ...

save

Free web-based patient education software released

Curve Dental, developers of web-based dental software, announced the release of CurveEd, a free web-based patient education software available to all dental...

save

Staying ahead of lab technology: Smart choices reap big benefits

Digital technology is rapidly transforming the dental industry, and as a forward-looking dental lab, it’s important for us to constantly review and ...

save

Plak Smacker presents the Happy Halloween Toothbrush

Plak Smacker is pleased to announce the return of its Happy Halloween Toothbrush. In the classic orange and black Halloween colors with ‘Happy ...

save
advertisement

New website offers tips for keeping a healthy adult smile

BALTIMORE, MD / NEW YORK, NY, USA: Get MouthPower is a new web resource where seniors 50 and over can learn about oral health issues specific to their age ...

save

Dr Raymond Gist becomes president of ADA

CHICAGO, IL, USA: Raymond F. Gist, DDS, a general dentist from Flint, MI, is the 2010-2011 president of the American Dental Association (ADA). Dr ...

save

Endodontic File Retrieval Kit

KOMET USA can now offer practitioners ‘peace of mind’ here in the United States with the introduction of its first broken endodontic file ...

save

The power of internal marketing

Internal marketing is the most predictable and least expensive form of marketing for dental practices. While there are many types of marketing, ranging from...

save

AMD LASERS incorporates Apple iPads as a standard part of its educational curriculum

INDIANAPOLIS, IN, USA: Bringing another first to the dental industry, AMD LASERS is now offering iPads as part of its companywide going green and paperless ...

save

Outreach program provides free oral health services to the underserved

SOUTH BEND, IN, USA: Heraeus Kulzer recently hosted and coordinated an outreach program in collaboration with The L.D. Pankey Foundation to provide free ...

save
advertisement

Asking your clinician for a new impression

In my last article, I mentioned that as a technical advisor, I evaluate about 40 cases per day. Five of those 40 cases may have inadequate impressions. In ...

save

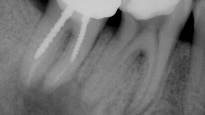
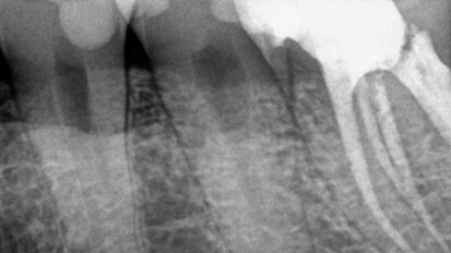
Apical microsurgery: REF materials, techniques (Part 5)

In Parts 1 through 4, the necessary steps and procedures were presented, enabling the operator to atraumatically and predictably allow the root-end ...

save

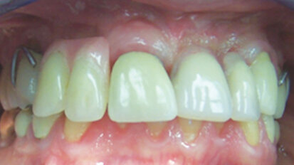
Quick and easy prosthetic planning

The primary and most important complaint of this 17-year-old woman was lack of esthetics. She also complained about tooth mobility and limited functional ...

save

AAIP to host 28th annual meeting

SCOTTSDALE, AZ: The American Academy of Implant Prosthodontics will hold its 28th annual meeting on 6 November at the Marriott at McDowell Mountains, ...

save
advertisement

Vibraject: The multiple-use dental needle accessory for endodontic procedures

The VibraJect multiple-use Dental Needle Accessory is unique in that it can be effectively utilized for endodontic irrigation by merely attaching it to the ...

save

DUX introduces ShortCut all-in-one retraction cord delivery system

DUX Dental is pleased to introduce ShortCut, an innovative solution to the problems and concerns dentists and assistants face when using retraction cord in ...

save

ADA Annual Session to feature latest products, technologies in dentistry

ORLANDO, FL, USA: Dental professionals will gain firsthand knowledge of the latest products, technologies and techniques in dentistry at the American Dental...

save

Sedation and general anesthesia practices in U.S. dentistry vary widely

NEW YORK, NY, USA: A wide variation has been found in the training for and practice of sedation and general anesthesia within the dental profession in the ...

save
advertisement

Roydent’s nickel titanium ‘Memory Shape’ needle allows for smart retreatments

Roydent Dental Products continues to see brisk sales of the needle most recently added to its popular Micro-Apical Placement (MAP) System. The flexible, ...

save

Common sense as a guide to post design

In order to apply common sense, we first have to appreciate what we want and don’t want from a post. Primarily, we want high retention so the post can...

save
advertisement

Biological allograft products applied to dentistry

The advent of human bone grafting has led to applications within the specialties of dental and sinus reconstructive surgery for corrections to maladies such...

save

ACTEON North America introduces SOPIX2

ACTEON North America has introduced SOPIX2, a new direct USB digital X-ray system that possesses the best of modern technology: fiber optic based CMOS, ...

save

ADA offers resource to help dentists record procedures

CHICAGO, IL / NEW YORK, NY, USA: The American Dental Association (ADA) is offering the publication CDT 2011-2012: The ADA Practical Guide to Dental ...

save

The most common questions dentists ask about credit

The most common phrase I hear as I help dentists with their financing situations at McKenzie Management and the one I wish I had a dollar for every time it ...

save
advertisement

Medidenta/Endo Direct offers Calcinase acid-free EDTA solution

Calcinase is an acid-free EDTA solution that is ideal in finding and widening root canals since it breaks down calcium deposits. It is also ideal for ...

save

Award program to recognize hygienists

NEW YORK, NY, USA: Crest Oral-B is gearing up to recognize professionals who go above and beyond the call of duty daily. With the ‘Pros in the ...

save

Digital radiography: Step out of the dark

Are you in love with your dark room? Does the team fight over who ‘gets to clean’ the processor? Will it break their hearts when they learn that...

save

Double your productivity by cutting your to-do list in half

As the dentist, you are the top revenue producer in your practice, but as much as you try, you can’t wear all the hats. Your practice wouldn’t ...

save
advertisement
advertisement