LEIPZIG, Germany: Restorative treatment has undergone rapid development over the last few years and now boasts high-quality materials with very advanced handling properties that can achieve both extremely durable and aesthetic results. A webinar presented by the Dental Tribune Study Club on 5 March will give participants insights into the new Pure Silicate Technology, the foundation for the first purely ceramic-based universal restorative material worldwide.
Universal restorative material Admira Fusion is based upon this innovative combination of tried-and-tested nanohybrid technology and ORMOCER technology, developed together with the Fraunhofer Institute for Silicate Research. The chemical basis for both the fillers and the resin matrix is silica. This Pure Silicate Technology offers the user many tangible advantages, such as the lowest polymerisation shrinkage by far compared with all of the main restorative composites on the market.
In the approximately one-hour webinar, speaker Dr Axel Bernecker, chemist and marketing director at VOCO, will explain the new technology in depth and discuss the properties and special features of the first nanohybrid ORMOCER-based restorative material.
The webinar, titled “Innovations for the IDS 2015: the world's first purely ceramic-based universal restorative material―Everything worth knowing about the new Pure Silicate Technology”, is free of charge and will be broadcast online on Thursday, 5 March, at 8 p.m. GST. Participants will be able to ask questions via a chat window and have the opportunity to earn a continuing education credit by completing a multiple-choice questionnaire on the topic discussed.
Registration for the webinar is now open on the DT Study Club website, www.dtstudyclub.com.
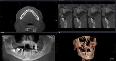
LEIPZIG, Germany: Cone-beam computed tomography (CBCT) has taken on greater significance over the past few years and has improved the standard of dental ...
ARLINGTON HEIGHTS, Ill., USA: On Nov. 18, the Academy of Osseointegration (AO) will host a complimentary live Zoom webinar to discuss the latest literature ...
LEIPZIG, Germany: A free webinar, to be presented by the Dental Tribune Study Club on July 30, will introduce a novel anterior restorative from the makers ...
NEW YORK, N.Y., USA: A novel dental restorative material that should make life easier for dental care experts and their patients, which is based on ...
This week, Dentsply Sirona will host a webinar exploring how orthodontics and restorative dentistry can be combined to support predictable smile ...
SILVER SPRING, Md., USA: Bioceramics in implantology are no longer limited to prostheses. Following in the footsteps of orthopedics, dental ...
3D Systems’ NextDent Jetted Denture Solution is the industry’s first digital workflow for producing multi-material monolithic dentures. Using two ...
LEIPZIG, Germany: With the establishment of digital photography in dental laboratories and practices, the work of interdisciplinary teams has been improved ...
LEIPZIG, Germany: Ceramic restorations have been scientifically recognized for a long time and enjoy great popularity because they are free of metal and ...
WALLINGFORD, Conn. & BUFFALO GROVE, Ill., USA: One of the largest distributors of dental supplies in the U.S. has expanded its catalogue with a number ...
Live webinar
Sun. 3 May 2026
12:00 PM EST (New York)
Dr. Rickard Brånemark MSc, MD, PhD, Dr. Robert Gottlander DDS
Live webinar
Sun. 3 May 2026
8:00 PM EST (New York)
Live webinar
Tue. 5 May 2026
10:00 AM EST (New York)
Live webinar
Tue. 5 May 2026
12:00 PM EST (New York)
Live webinar
Tue. 5 May 2026
1:00 PM EST (New York)
Dr. Maximilian Dobbertin M.Sc
Live webinar
Tue. 5 May 2026
3:00 PM EST (New York)
Live webinar
Wed. 6 May 2026
1:00 PM EST (New York)
To post a reply please login or register