There are many opinions, both in favor of and against, the utilization of lasers in periodontal therapy. There are also many reports of the different surgical techniques utilizing sharp metallic instruments for exacting predictable and desired results. The use of a laser to achieve these results does not mean that there are not other efficient, “classical” procedures that would accomplish the goal.
Yet, a laser might be a more direct and efficacious path to achieve the same goal, with easier healing and less side effects.
This case presentation allows me to demonstrate the utilization of a diode laser to allow ease of technique, avoid unnecessary bleeding, avoid the use of sutures (and their removal), and provide a comfortable transition for the patient without swelling or need for a periodontal dressing after the surgery.
In this presentation, a young female patient presented in my office, complaining about her frenum in the maxillary anteriors. She related that it hurt whenever she bit into a firm substance, such as corn on the cob. Her tongue constantly reached to this uncomfortable area, affecting her speech, and she felt pain in her lip when she tried to smile.
embedImagecenter("Imagecenter_1_585",585, "large");
A few years prior, she had a lot of dentistry done in her maxillary anteriors for esthetic purposes. She had been aware of and bothered by a natural, large diastima between her maxillary centrals. The previous dentist had closed the diastemic space between the crowns by over-bonding the area, leaving overhanging margins on the mesial of both centrals (Fig 1). The area now appeared clinically closed, but the constant irritation and bleeding in the area, especially due to the frenum pull, made this teenage patient feel very uncomfortable.
X-rays taken by my office revealed an obvious space, seen as a large radiolucent dark area between both central incisor roots, covered with tissue (Fig 2).
In this case, I made a decision to use a laser to do the frenectomy because of the possibility that a classical approach might result in leaving a large void between the centrals. Moreover, use of a laser allows complete control in this technique to avoid what might otherwise be a devastating disaster. If the natural, large void between the centrals submarginally was to have been exposed, it would have left a vast undesirable, unesthetic, dark-appearing hole. Because this was a surgery that involved only soft tissue, our choice of lasers is the CO2, Nd:YAG and diode lasers. Other lasers may be used for both soft and hard tissue. I chose to utilize just a tissue laser, and chose a diode laser. This AMD diode laser also offered the use of a disposable tip containing a thin fiber that would transmit the therapeutic treatment. The tip, being disposable, will aid in the consistency of maintenance and hygienic cleansing in and during our treatment.
A standard frenectomy, where we might remove the frenum with a sharp stainless steel instrument, might lead to further complications by exposing the large void pointed out in Figure 2 that is covered by tissue. If the frenum is just incised and removed, the area will have an obvious, huge, dark-appearing void. Yet the frenum should be removed. The obvious restorative necessities and options were discussed first. This young patient wished to do a little at a time, starting with the frenum removal.
After local anesthesia with xylocaine, the frenum was infiltrated, incised from the attachment of the tissue and lip-side of tissue first, rather than incising in the center of the frenum or separating and detaching the tissue from the side attached to the alveolus. Using the AMD diode laser, the tissue was incised, keeping the field of vision intact and accessible.
Continuing movement of the laser tip toward the alveolar-covered tissue allows the trough to be made wider until the desired length is acquired. All of this is accomplished painlessly, without a pool of blood blocking the view. This laser automatically enhances a clot, allowing not only a view but also a comfortable working environment for the operator as well as a painless one for the patient.
The assistant retracts the lip, with the laser allowing complete vision and aiding in curtailing the bleeding. After the tissue is dissected to the desired level, the remaining loose tissue of the frenum is removed using the diode laser, as well. These results leave a slight charring when we wish to control bleeding (Figs. 4, 5).
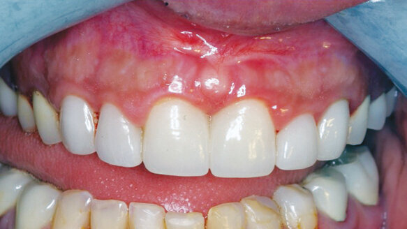
Healing proceeds uneventfully until it is completed and is maintainable (Fig 6). Once the frenum is removed and healed, the patient is no longer uncomfortable when eating. Nor is her lip restricted when she desires to smile.
The healed area allows the patient to keep the area clean. She is able to reach and floss the mesial aspects, which she couldn’t do previously. After completion, she is reminded of the need to correct the restorations of her maxillary anterior teeth and get rid of the obvious overhanging margins.
This particular patient desired a little correction at a time, but, in the meantime, the positive results of the laser treatment made her positive about correcting and improving the esthetics of her anterior maxillary teeth in the near future.
With the use of this AMD diode laser, we are able to remove the frenum attachment from the lip side initially, allowing a predictable approach that helps avoid exposing a large hole in the very front and center of her smile. This laser treatment and its positive results for her, allowed her to consider future restorative corrections with a positive attitude. In this case, use of the AMD diode laser allowed her smile to be corrected, and changed her discomfort into a comfortable glow.
Note: This article was published in Dental Tribune U.S. Edition, Vol. 7, No. 8, August 2012.
ANAHEIM, CA, USA: AMD LASERS, the company that builds the world’s most affordable dental laser technology, announces the launch of the Picasso soft ...
Dental implants are placed either utilizing a one-stage approach (healing abutment placed at implant placement) or a two-stage approach (implant is covered ...
Dental implants are placed either utilizing a one-stage approach (healing abutment placed at implant placement) or a two-stage approach (implant is covered ...
NEW YORK, N.Y., USA: If you have a hard time believing the Solea laser guarantee about working 90-percent anesthesia-free, the Greater New York Dental ...
NEW YORK, NY, USA: With international certifications now in place for its Picasso diode laser, AMD LASERS is poised for continued growth in North America as...
While dental lasers have been commercially available for several decades and their popularity among patients is unparalleled, the dental profession has ...
DentaLaze is a cost-effective wireless diode laser with superior performance and a compact, ergonomic design.
NEW YORK, NY, USA: For any dentist interested in adding laser technology to his or her practice, AMD LASERS, a company based in Indianapolis, IN, USA, has ...
The concept of using dental lasers for the treatment of periodontal disease elicits very strong reactions from both ends of the spectrum. Everyone has an ...
Did you know that in addition to its advanced dental treatments, the Fotona LightWalker laser can also offer patients facial aesthetic rejuvenation options?...
Live webinar
Thu. 14 May 2026
12:00 PM EST (New York)
Live webinar
Thu. 14 May 2026
2:00 PM EST (New York)
Prof. Hani Ounsi DDS PhD FICD
Live webinar
Tue. 19 May 2026
11:00 AM EST (New York)
Live webinar
Tue. 19 May 2026
1:00 PM EST (New York)
Prof. Dr. med. dent. Ivo Krejci
Live webinar
Wed. 20 May 2026
7:00 AM EST (New York)
Dr. Graham Carmichael BDSc (Hons), DClinDent (Pros), FRACDS, Dr. Robert Gottlander DDS
Live webinar
Wed. 20 May 2026
9:00 AM EST (New York)
Live webinar
Wed. 20 May 2026
1:00 PM EST (New York)
Prof. Dr. med. dent. Tim Joda PhD, MSc, eMBA
To post a reply please login or register