Dental implants are placed either utilizing a one-stage approach (healing abutment placed at implant placement) or a two-stage approach (implant is covered by soft tissue at time of placement) and modification of the soft tissue to expose the implant fully may be required.
When the prosthetic phase is initiated, soft tissue is either removed to uncover the implants or reshaped at gingival margin for better esthetics, which can be accomplished by several methods. A cutting instrument (i.e., scalpel or tissue punch[1]) has been the traditional approach to incise through the soft tissue to the underlying implant.
The result is a bleeding edge that can interfere with impressions if they are to be taken at the same appointment. Additionally, postoperative sensitivity has been reported and can result from the fresh cut edge. Typically a delay of two weeks or longer is required before impressions can be taken, so that bleeding doesn’t hamper the accuracy of how the soft tissue is captured.
An alternative to the blade, electrosurgery has been offered as it can cauterize the cut edges and decrease postoperative bleeding. Yet, this presents with two negative outcomes to its use in and around dental implants.
Electrosurgery requires a circuit be formed between the monopolar tip intraorally and the surgical unit with a grounding plate placed on the patient a distance from the oral cavity. When the current is activated, it flows between the electrosurgery tip through the soft tissue to the grounding plate, completing the circuit with the metallic implant conducting the current along the path.[2] It’s been reported that temperature increases exceeding a threshold of 10 degrees C at the osseous interface with the implant may lead to bone loss and possible de-integration of the implant. A general recommendation is to avoid electrosurgery units in and around dental implants.
Fig.1: Picasso Lite+ Diode Laser (AMD LASERS). (Photo provided by Dr. Gregori M. Kurtzman)
Fig. 2: Comparison of the depth of affected cells with an electrosurgery unit and a diode laser. (Photo provided by Dr. Gregori M. Kurtzman)
Fig. 3: Tissue reaction upon contact with an initiated diode laser tip, demonstrating the effect as one moves away from the tip. (Photo provided by Dr. Gregori M. Kurtzman)
Figs. 4a: Implant to be uncovered (4a) presents with two options depending on width of attached gingiva available. Wide band of attached gingiva will remain after removal of tissue over cover screw, and the diode is utilized in a spiral pattern starting at center until fully exposed (4b). With the narrow band of attached gingiva present, an elliptical cut is made with the diode and tissue is pushed buccally and lingually to preserve the attached gingiva (4c). (Photo provided by Dr. Gregori M. Kurtzman)
Fig. 4b: Implant to be uncovered (4a) presents with two options depending on width of attached gingiva available. Wide band of attached gingiva will remain after removal of tissue over cover screw, and the diode is utilized in a spiral pattern starting at center until fully exposed (4b). With the narrow band of attached gingiva present, an elliptical cut is made with the diode and tissue is pushed buccally and lingually to preserve the attached gingiva (4c). (Photo provided by Dr. Gregori M. Kurtzman)
Fig. 4c: Implant to be uncovered (4a) presents with two options depending on width of attached gingiva available. Wide band of attached gingiva will remain after removal of tissue over cover screw, and the diode is utilized in a spiral pattern starting at center until fully exposed (4b). With the narrow band of attached gingiva present, an elliptical cut is made with the diode and tissue is pushed buccally and lingually to preserve the attached gingiva (4c). (Photo provided by Dr. Gregori M. Kurtzman)
Fig. 5: When minimal keratinized gingiva is present, the diode laser is utilized to make an incision distal-mesially, and the tissue is spread conserving all of the attached gingiva present. (Photo provided by Dr. Gregori M. Kurtzman)
Fig. 6: Buccal view of the anterior maxilla demonstrating preservation of the papilla due to the provisional bridge. (Photo provided by Dr. Gregori M. Kurtzman)
Fig. 7: Occlusal view of the anterior maxilla demonstrating preservation of the papilla due to the provisional bridge. (Photo provided by Dr. Gregori M. Kurtzman)
Fig. 8: Picasso Lite+ diode laser removing soft tissue to uncover the implants’ cover screws. (Photo provided by Dr. Gregori M. Kurtzman)
Fig. 9: Uncovery of the implants and healing screws exposed. (Photo provided by Dr. Gregori M. Kurtzman)
Fig. 10: Healing abutments placed into the implants. (Photo provided by Dr. Gregori M. Kurtzman)
Fig. 11: Removal of the healing abutments at two weeks post-uncovery demonstrates a lack of inflammation of the modified soft tissue. (Photo provided by Dr. Gregori M. Kurtzman)
As electrosurgery affects cell layers deep to the surface (deeper penetrating), combined with the temperature increase, tissue shrinkage is often reported.[3] A delay between uncovery and impressions allows the cut edge of gingival tissue to stabilize and is required so the gingival margin captured is stable when the prosthetics is returned for insertion.
Diode lasers are increasingly being utilized in dental practices because of both lower costs to implement this technology than the more expensive CO2 and ND:YAG lasers and the wide range of effective treatment afforded by these devices. Diode lasers, such as the Picasso Lite+ (AMD Lasers, West Jordan, Utah, www.amdlasers.com) (Fig. 1), provide adequate power to modify soft tissue in and around the dental implant for uncovery or alteration of the gingival margin to improve the esthetics.
Additionally, these operate within the temperature range recommended, so that the negative effects associated with electrosurgery do not occur to the bone around the implant.[4] Coagulation can also be controlled combined with the lack of tissue shrinkage after use of the diode laser allowing impressions to be taken at the time of uncovery. As the diode laser affects fewer cell layers, tissue response does not involve an inflammatory response that can lead to tissue shrinkage during the healing period the first few weeks after treatment (Fig. 2).[5-9]
Utilization of the diode laser
Diode lasers are primarily used in a contact application when cutting or coagulation is required.[10] The diode laser tip is used in either an initiated state or an uninitiated state. Initiated refers to the tip of the diode laser, which has been coated with a blocking material. This allows energy from the diode, when activated, to heat the tip causing cell ablation (vaporization) at the contact point with cutting resulting.[11] The light energy in the coated tip is converted into heat by refraction of the blocking material on the diodes tip creating a “hot tip.”
This secondary thermal effect of the heated tip allows cutting or incising of the soft tissue, resulting in an area of carbonization at the border of the vaporization. Coagulation occurs in the tissue bordering this zone of carbonization as a result of contact with the overheated tip rather than by the laser energy itself (Fig. 3).
Bacterial decontamination can be accomplished with an unitiated diode tip, which is useful in treatment of peri-implantitis on the implants’ surface or within the periodontal sulcus/pocket around implants and natural teeth.
Initiation of the tip is accomplished with the diode set at 0.5 watts and touched to a piece of blue articulating paper (Bausch Ref BK05), and the laser is activated for one second. This is repeated six to eight times, contacting different areas of the tip so that when finished the entire tip and 3-4 mm of the sides have been marked with the articulating paper. It is recommended to avoid articulating ribbon as it will ignite and is ineffective in initiating the tip. A properly initiated tip will glow orange when the foot pedal is depressed.[12]
The tip should be wiped with a piece of dry gauze to remove debris periodically as it is being utilized to maintain efficiency. When cutting fibrous tissue, it may be necessary to reinitiate the tip during the procedure if the tip appears to not be cutting well.
Cutting efficiency is related to wattage. The higher the wattage, the faster the soft tissue is vaporized. But a greater zone of unwanted lateral thermal damage may result. It is advised to use the lowest wattage to accomplish the task to avoid the risk of thermal damage within the adjacent tissue. The assistant during usage of the diode laser uses the HVE near the site to remove any odors and periodically can spray water on the site to aid in cooling the tissue.
This also minimizes thermal issues, which improves initial healing. To remove the soft tissue covering the implants’ cover screw or reshape the tissue for esthetics, a setting of 0.8-1.0 watts in a continuous mode is usually sufficient. A 400 micron diode tip (orange) is utilized for oral and periodontal surgical applications. The 300 micron tip (purple) is designed for periodontal applications such as Laser Assisted Periodontal Treatment (LAPT).
Beyond the carbonization zone, an area of hemostasis (coagulation) occurs. Typically, sites treated with the diode laser will demonstrate little to no bleeding depending on the condition of the tissue prior to treatment. Tissue that is hemorrhagic will require longer contact with the diode laser to achieve coagulation and may ooze due to the inflammation present prior to laser treatment. The coagulation effects and lack of post-treatment tissue shrinkage allow immediate implant impressions should that be desired.
The laser also creates an area of biostimulation adjacent to the coagulation area.
Following irradiation with a diode laser, tissues and cells have a biostimulatory effect that provides faster or more favorable wound healing compared with tissue treated with a scalpel or electrosurgical unit. The laser irradiation stimulates the proliferation of mesenchymal stem cells without DNA alterations in the affected cells.[13] Thus, wound healing is enhanced and soft tissue at the cut edges demonstrates faster healing than when treated with a scalpel or other methods by stimulation of gingival fibroblasts inducing growth factors.[14,15]
It has been reported that biostimulation via the diode laser also has a positive effect on bone cells and can be stimulatory to the bone cells at the crest around the implant.[16,17] Compared with conventional methods, tissue healing as well as postoperative sensitivity is less with the diode laser than with other methods.[18]
Implant uncovery technical considerations
The width of attached gingiva remaining will dictate the best method for implant uncovery (Fig. 4a). When a wide band of attached gingiva is present and a sufficient amount (3 mm or greater) will be present after uncovery on both the buccal and lingual, then the diode laser is activated and inserted at the center of the site and worked in a spiral pattern outward until the entire cover screw is exposed (Fig. 4b).
A curette or other instrument may be necessary to loosen the tissue over the cover screw as the periosteum becomes adherent to the titanium cover screw during implant healing. Sites that present with a narrow width of attached gingiva of 3-5 mm at the crest’s center will require some conservation of the remaining attached gingiva. In this clinical situation, the diode is utilized to remove an elliptical piece of soft tissue over the cover screw, and then the tissue is pushed buccally and lingually to preserve the attached gingiva (Fig. 4c).
If less attached gingiva is present on either side of the center of the crest, then the practitioner will need to preserve all of the attached gingiva present, and a conventional flap is recommended to be able to position the tissue in a more apical direction. When this is necessary, incisions can be made with the diode laser as an alternative to a scalpel (Fig. 5).
Case report
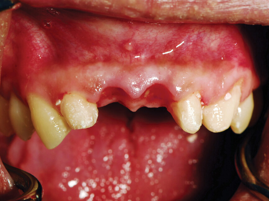
A 30-year-old female patient presented with severely malposed maxillary central incisors tipped facially and a desire for esthetic improvement. A CBCT was taken and minimal bone was noted present over the facial of the central incisors.
Options for treatment were presented to the patient that included: orthodontics to correct esthetics or extraction of the central incisors, placement of implants at these sites and restorations on the anterior teeth. The patient indicated she did not wish to pursue an orthodontic treatment option because of the time involved.
The patient presented for surgery and the central incisors were atraumatically extracted under local anesthetic. The adjacent teeth were prepared for crowns, which would support a provisional bridge during the healing/integration period. A 4-mm wide, 24-degree Co-Axis Implant (Keystone Dental, Burlington, Mass.) was placed into the osteotomy at each central incisor orienting the prosthetic axis to a vertical position, while the implant’s body followed the trajectory of the premaxilla.
A healing screw was placed and osseous graft material (NovaBone, Alachua, Fla.) placed on the facial to thicken the resulting bone. The soft tissue was closed with resorbable PGA sutures. A stent created over the wax-up of the study models that had been modified was filled with an auto-cure provisional resin (Perfectemp 10, DenMat, Lompoc, Calif.) and seated over the anterior and allowed to set. Upon setting, the stent with provisional was removed intraorally and trimmed and polished. At the implant sites, the material was shaped to a bullet shape to assist in forming an emergence profile in the soft tissue and preserve the papillas.
Six months post-implant placement, the provisional bridge was removed and preservation of the papillas was confirmed with a natural emergence profile within soft tissue (Figs. 6,7). Local anesthetic was administered. The Picasso Lite+ diode laser was set at 2.5 watts in continuous mode with an initiated tip and at the center of the depression in the soft tissue above the implants cover screw and moved in a circular motion moving outward until the entire cover screw was exposed (Fig. 8).
The process cuts the desired soft tissue and coagulates any bleeding from the cut edges. This was then repeated on the second implant (Fig. 9). Open tray implant impression abutments were placed into the implants and seating verified radiographically. An impression of the maxillary arch was taken utilizing Aquasil heavy body VPS (Dentsply Sirona, Milford, Del.) in a Mira Advanced Implant tray (Hager Worldwide, Hickory, N.C.) and Aquasil Ultra syringed around the preparations and implant abutment heads.
Healing abutments were placed into the implants (Fig. 10). The previously placed provisional bridge was tried in and modified at the pontics to allow the bridge to fully seat over the healing abutments and luted with a provisional cement (Fuji Temp LT, GC America, Alsip, Ill.).
Two weeks later, the prosthetics returned from the lab (DenMat Labs, Lompoc, Calif.) and the provisional bridge was removed. The healing abutments were removed, and the soft tissue demonstrated a lack of inflammation and a good periodontal health where it had been modified by the diode laser (Fig. 11).
Ceramic crowns were tried in on teeth 7, 10 and 11, and the screw-retained zirconia-based implant crowns inserted. A radiograph was taken verifying fit of the implant prosthetics. A torque wrench was utilized to tighten the fixation screws on the implants to 30 Ncm, and the ceramic crowns were luted with Panavia SA resin cement (Kuraray, New York, N.Y.). Occlusion was checked and adjusted where needed.
Conclusion
Diode lasers are a useful adjunct to soft-tissue modification to uncover dental implants or esthetically recontour the gingival margin. They provide better safety than electrosurgery, maintaining a temperature profile within the safety zone of bone and do not cause tissue shrinkage that can affect the esthetic outcome. As the diode’s tip provides simultaneous cutting and coagulation (hemostasis), a clear advantage to the use of a scalpel or tissue punch is that immediate impressions can be accomplished without site bleeding affecting the accuracy of the capture of the soft-tissue contours and position.
References
- Zetz MR, Quereshy FA. Single-Stage Implant Surgery Using a Tissue Punch. J Oral Maxillofac Surg. 2000 Apr;58(4):456-7.
- Wilcox CW, Wilwerding TM, Watson P, Morris JT. Use of Electrosurgery and Lasers in Presence of Dental Implants. Int J Oral Maxillofac Implants. 2001 Jul-Aug;16(4):578-82.
- Goharkhay, K., Moritz, A., Wilder-Smith, P., Schoop, U., Kluger, W., Jakolitsch, S. and Sperr, W. (1999, June). Effects on Oral Soft Tissue Produced by a Diode Laser in Vitro. Lasers in Surgery and Medicine, 401–406.
- Gherlone, EF. Maiorana C Grrani, RF. Ciacaglini, R. Cattoni F. The Use of an 980-nm Diode and 1064·nm Nd:YAG Liaser for Gingival Retraction in Fixed
Prosthsis/ Oral Laser Applications 2004; 4:183-190.
- El-Kholey KE. Efficacy and Safety of a Diode Laser in Second-Stage Implant Surgery: A Comparative Study. Int J Oral Maxillofac Surg. 2014 May;43(5):633-8. doi: 10.1016/j.ijom.2013.10.003. Epub 2013 Nov 7.
- van As G. Uncovering the Tooth: The Diode Laser to Uncover Teeth, Brackets and Implants. Dent Today. 2012 Jan;31(1):168.
- Yeh S, Jain K, Andreana S. Using a Diode Laser to Uncover Dental Implants in Second-Stage Surgery. Gen Dent. 2005 Nov-Dec;53(6):414-417.
- van As G. The Diode Laser: Diode Laser in Second Stage Implant Recovery. Dent Today. 2011 Sep;30(9):144.
- Deppe H, Horch HH. Laser Applications in Oral Surgery and Implant Dentistry. Lasers Med Sci. 2007 Nov;22(4):217-221.
- Aoki A, Mizutani K, Schwarz F, et al. Periodontal and Peri-implant Wound Healing After Laser Therapy. Periodontol 2000. 2015 Jun;68(1):217-69. doi: 10.1111/prd.12080.
- White JM, Gekelman D, et al. Laser Interaction With Dental Soft Tissues: What Do We Know From Our Years of Applied Scientific Research? Proc SPIE 2002: 4610: 39–48.
- Pang P, Andreana S, Aoki A. Laser Energy in Oral Soft Tissue Applications. J Laser Dent 2010;18(3):123-131.
- Barboza CA, Ginani F, Soares DM, et al. Low-Level Laser Irradiation Induces in Vitro Proliferation of Mesenchymal Stem Cells. Einstein (Sao Paulo). 2014 Jan-Mar;12(1):75-81.
- Low SB, Mott A. Laser Technology to Manage Periodontal Disease: A Valid Concept? J Evid Based Dent Pract. 2014 Jun;14 Suppl:154-159. doi: 10.1016/j.jebdp.2014.03.010.
- Hakki SS, Bozkurt SB. Effects of Different Setting Of Diode Laser on the Mrna Expression of Growth Factors And Type I Collagen of Human Gingival Fibroblasts. Lasers Med Sci. 2012 Mar;27(2):325-31. doi: 10.1007/s10103-010-0879-5.
- Giannelli M, Chellini F, Sassoli C, et al. Photoactivation of Bone Marrow Mesenchymal Stromal Cells With Diode Laser: Effects And Mechanisms of Action. J Cell Physiol. 2013 Jan;228(1):172-181.
- Soleimani M, Abbasnia E, et al. The Effects of Low-Level Laser Irradiation on Differentiation and Proliferation of Human Bone Marrow Mesenchymal Stem Cells Into Neurons and Osteoblasts – an In Vitro Study. Lasers Med Sci. 2012 Mar;27(2):423-30. doi: 10.1007/s10103-011-0930-1.
- Elanchezhiyan S, Renukadevi R, Vennila K.: Comparison of Diode Laser-Assisted Surgery And Conventional Surgery in the Management of Hereditary Ankyloglossia In Siblings: A Case Report With Scientific Review. Lasers Med Sci. 2013 Jan;28(1):7-12. doi: 10.1007/s10103-011-1047-2. Epub 2012 Jan 18.
Tags:
Great post, thanks for sharing !!!