This article was written to demonstrate that the application of proven literature and/or evidence-based endodontic principles leads to excellent clinical results, irrespective of the materials used. We will describe the key points to achieving excellent results in initial non-surgical endodontic treatment in the key areas of diagnosis, shaping, irrigation, obturation and restoration.
Assessing “proven” and “literature/evidence-based” techniques and materials is easier said than done. While a number of excellent endodontic meta-analysis and systematic reviews have been completed in the recent scientific literature, there are not many high-level studies that can definitively validate a number of key treatment strategies. For example, we cannot prove by high level studies that warm obturation is better than cold lateral condensation, nor can we prove with the that activated irrigation is superior to passive cold irrigation, among of host of other such clinical questions.
“Success leaves clues, and if you sow the same seeds, you'll reap the same rewards.” —Brad Thor
However, lower levels of evidence in studies certainly leads us to adopt new techniques but not with the confidence that the efficacy can be proven without doubt to be an improvement over older techniques. An example is a study by Gutarts et al. (2005), which showed that one minute of ultrasonic activation of irrigant solution resulted in significantly cleaner canals histologically in the mesial root of mandibular molars. This is a low level of evidence (in vivo/ex vivo, low N) but certainly compelling and a valid justification to adopt the technique.[1] We will incorporate many of these references, but we want to emphasize that Level 1 studies are not in place to validate these techniques to the highest possible evidence levels.
The above notwithstanding, regardless of philosophies and corporate relationships, it is the overwhelming preference of endodontists globally to use warm obturation techniques and activated irrigation (concepts discussed in greater detail below). Specialist preferences also are hedged by the “eyeball test” and the visual evidence that is observed in treatment in comparison to prior techniques. Hence this article will focus on key technique objectives that universally are agreed upon.
As a starting place, before ever picking up a syringe, the two single greatest ingredients to creating excellent endodontic results are time and comprehensive treatment planning. It is essential that the clinician have enough time to carry out the treatment in a relaxed but productive environment, in essence, practicing with high efficiency. It is axiomatic that the clinician only starts cases they believe they can finish well and never treat a patient for money.
All procedures must be carefully pre planned. Such treatment planning includes performing high-level imaging and a thorough clinical examination to determine a definitive diagnosis. Pre-operative treatment planning includes informed consent, assurance of restorability, profound pain control (local anesthesia), visualization and magnification (surgical microscopes), instrumentation (stainless and nickel titanium), irrigation and disinfection protocols, obturation and coronal seal strategies prior to endodontic access. A lack of treatment planning strategies is the harbinger of endodontic misadventure (Figs. 1-3).
Fig. 1: Sodium hypochlorite accident post operatively, extra oral. (All images provided by Brett Gilbert, DDS, and Richard Mounce, DDS)
Fig. 2: Sodium hypochlorite accident approximately five months post op, intra oral (different case than that shown in Fig. 1).
Fig. 3: Calcium hydroxide extruded into the mandibular canal through a perforation.
Fig. 4: Cleared tooth showing the true complexity of the anatomy within this molar tooth. (Courtesy of Dr. Sergio Rosler)
Fig. 5: Chlor-Xtra (Vista Dental)
Fig. 7: SmearOFF (Vista Dental)
Fig. 8: Voyager Tip (Vista Dental)
Fig. 9: AutoSyringe (Vista)
Fig. 10: Negative pressure irrigation (EndoVac, Kavo/Kerr, image courtesy of Dr. Gary Glassman)
Fig. 11: EndoUltra (Vista Dental)
Fig. 12: Finishing File (Tun Ultrasonics)
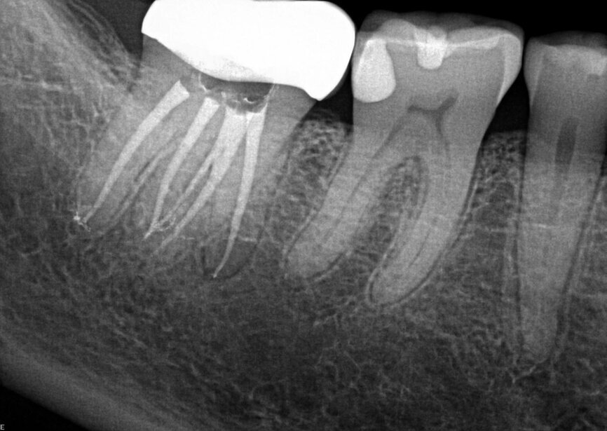
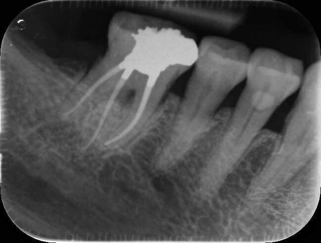
Fig. 13a: Case treated with Chlor-Xtra, SmearOFF with EndoUltra activation. Note the excellent cone fit and apical control of obturation. (Courtesy of Dr. Sam Alborz)
Fig. 13b: Case treated with Chlor-Xtra, SmearOFF with EndoUltra activation. Note the excellent cone fit and apical control of obturation. (Courtesy of Dr. Sam Alborz)
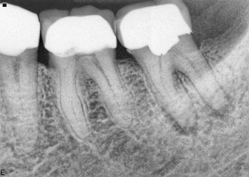
Fig. 14a: Case treated with Bassi Logic controlled memory nickel titanium files. Note the visualization of the third root on this lower molar and conservative canal preparation shape. (Courtesy of Dr. Alex Chan)
Fig. 14b: Case treated with Bassi Logic controlled memory nickel titanium files. Note the visualization of the third root on this lower molar and conservative canal preparation shape. (Courtesy of Dr. Alex Chan)
Fig. 15a: Cased treated with PIPs (Photon Induced Photoacoustic Streaming). Note the orifice barrier placed in composite to protect the endodontic treatment from coronal leakage. (Courtesy of Dr. Paula Elmi)
Fig. 15b: Cased treated with PIPs (Photon Induced Photoacoustic Streaming). Note the orifice barrier placed in composite to protect the endodontic treatment from coronal leakage. (Courtesy of Dr. Paula Elmi)
Fig. 15c: Cased treated with PIPs (Photon Induced Photoacoustic Streaming). Note the orifice barrier placed in composite to protect the endodontic treatment from coronal leakage. (Courtesy of Dr. Paula Elmi)
Fig. 15d: Cased treated with PIPs (Photon Induced Photoacoustic Streaming). Note the orifice barrier placed in composite to protect the endodontic treatment from coronal leakage. (Courtesy of Dr. Paula Elmi)
Fig. 15e: Cased treated with PIPs (Photon Induced Photoacoustic Streaming). Note the orifice barrier placed in composite to protect the endodontic treatment from coronal leakage. (Courtesy of Dr. Paula Elmi)
Fig. 15f: Cased treated with PIPs (Photon Induced Photoacoustic Streaming). Note the orifice barrier placed in composite to protect the endodontic treatment from coronal leakage. (Courtesy of Dr. Paula Elmi)
Fig. 15g: Cased treated with PIPs (photon-induced photoacoustic streaming). Note the orifice barrier placed in composite to protect the endodontic treatment from coronal leakage (courtesy of Dr. Paula Elmi).
Fig. 16a: Case treated with a Bioceramic master cone, sealer and putty. Note the excellent apical control in this blunderbuss apex. (Courtesy of Dr. Rico Short)
Fig. 16b: Case treated with a Bioceramic master cone, sealer and putty. Note the excellent apical control in this blunderbuss apex. (Courtesy of Dr. Rico Short)
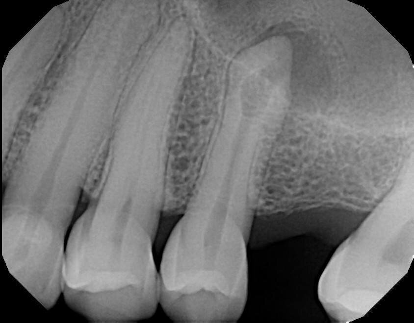
Fig. 17a: Case assisted with CBCT to determine anatomy pre-operatively. Note the multiple cross sections moving apically and the correlation to the 2-D view. Note also the conservative taper in relation to the root width. (Courtesy of Dr. Brett Gilbert)
Fig. 17b: Case assisted with CBCT to determine anatomy pre-operatively. Note the multiple cross sections moving apically and the correlation to the 2-D view. Note also the conservative taper in relation to the root width. (Courtesy of Dr. Brett Gilbert)
Fig. 17c: Case assisted with CBCT to determine anatomy pre-operatively. Note the multiple cross sections moving apically and the correlation to the 2-D view. Note also the conservative taper in relation to the root width. (Courtesy of Dr. Brett Gilbert)
Fig. 17d: Case assisted with CBCT to determine anatomy pre-operatively. Note the multiple cross sections moving apically and the correlation to the 2-D view. Note also the conservative taper in relation to the root width. (Courtesy of Dr. Brett Gilbert)
Fig. 17e: Case assisted with CBCT to determine anatomy pre-operatively. Note the multiple cross sections moving apically and the correlation to the 2-D view. Note also the conservative taper in relation to the root width. (Courtesy of Dr. Brett Gilbert)
Fig. 17f: Case assisted with CBCT to determine anatomy pre-operatively. Note the multiple cross sections moving apically and the correlation to the 2-D view. Note also the conservative taper in relation to the root width. (Courtesy of Dr. Brett Gilbert)
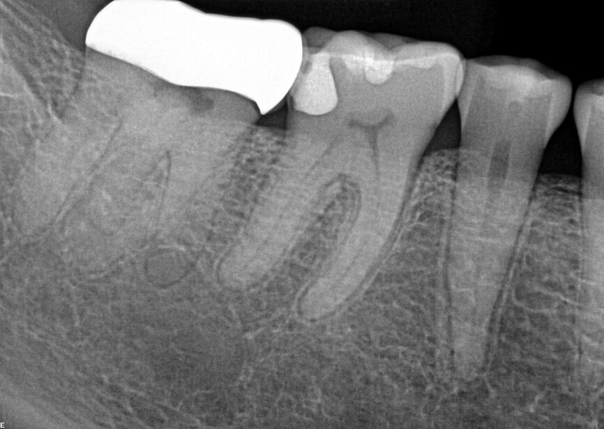
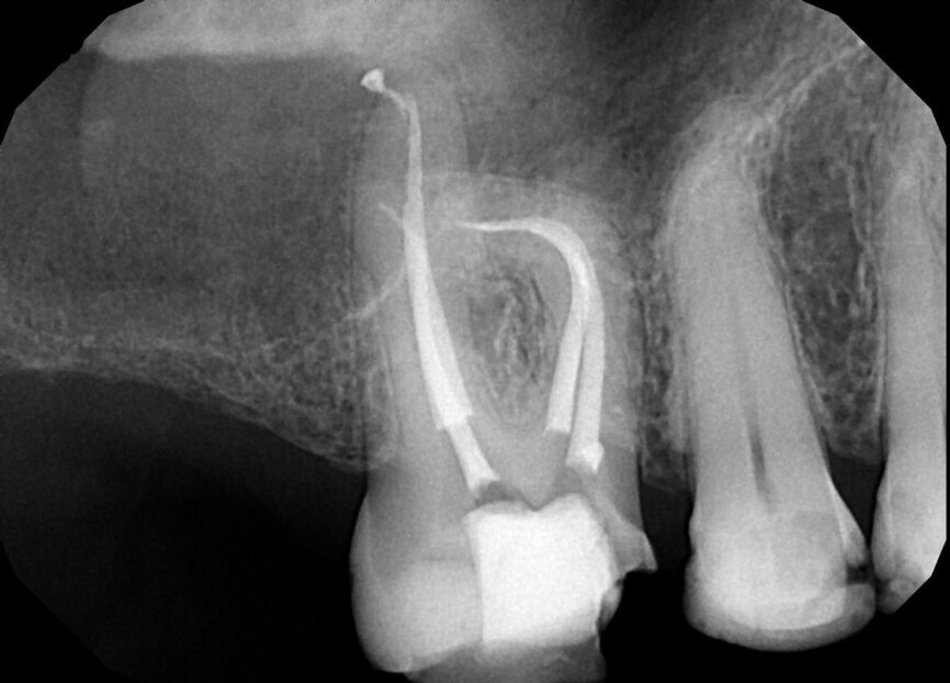
Fig. 18a: Note the expert management of the apical constriction and the acute curvature of the MB root. (Courtesy of Dr. Nestor Cohenca)
Fig. 18b: Note the expert management of the apical constriction and the acute curvature of the MB root. (Courtesy of Dr. Nestor Cohenca)
Fig. 18c: Note the expert management of the apical constriction and the acute curvature of the MB root (courtesy of Dr. Nestor Cohenca).
Fig. 19: Note the degree of penetration of sealer and gutta-percha between the primary canals. Obturation of this space demonstrates both the ‘macro’ and ‘micro’ cleaning referred to in the article. (Courtesy of Dr. Nestor Cohenca)
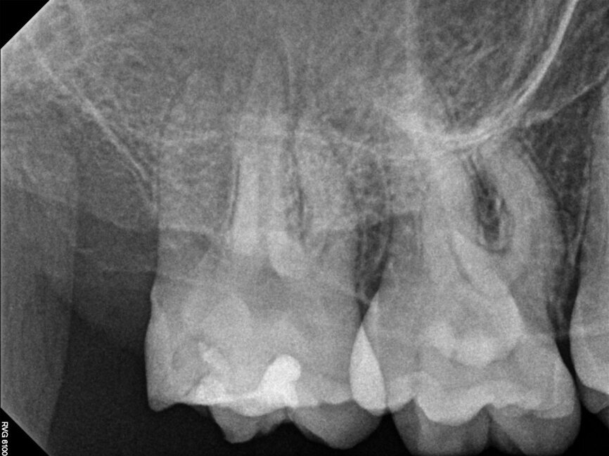
Fig. 20a: Note the attention to detail required to locate all of the canals in this exceptional case done under the surgical microscope. (Courtesy of Dr. Adrian Silberman)
Fig. 20b: Note the attention to detail required to locate all of the canals in this exceptional case done under the surgical microscope. (Courtesy of Dr. Adrian Silberman)
While a discussion of each principle-driven step required in a first-time endodontic procedure would fill a textbook, there are a number of key features of well-treated cases that are showcased in this article. Please see the caption that accompanies each case and describes its application of the principles discussed.
As a starting place, assuming a thorough examination and indication for treatment in addition to detailed informed consent, the most difficult gateway to comfortable patient treatment is anesthesia for the “hot lower molar.” Fluency with the Gow Gates injection as well as intraosseous anesthesia (Xtip, Dentsply) will in large measure eliminate shortcomings in anesthesia when standard block injections do not profoundly anesthetize an anxious patient with a severely inflamed pulp.
Managing complex anatomy is much simpler if the clinician has a pre-operative road map. The CBCT provides the roadmap and the surgical microscope the lens (literally) through which to visualize the result. Aside from a relaxed patient who is profoundly numb, being able to visualize anatomy by taking a pre-operative (and possibly intra-operative) CBCT and using a surgical microscope during treatment have no substitutes. They are the current “Gold Standard” in that 3-D imaging shows the clinician the true reality of a clinical situation as opposed to the suggestion gained from a 2-D radiograph. Proper interpretation of imaging prior to and/or during endodontic treatment goes a long way in taking the “guesswork” out of identifying canal location and other anatomical complexities as the procedure unfolds. In a 2014 study by El Fayad and Johnson, it was determined that when having a pre-operative CBCT as compared to 2-D radiographs alone, the treatment plan was modified 62 percent of the time. This is a huge game changer to think that the information learned from 3-D imaging changed the plan of treatment over six times out of 10 (Fig. 4).[2]
While there are many pre-operative clinical features to be considered prior to starting treatment, the key pre-operative decision points are the patient’s medical and dental history, their anxiety level, the position of the tooth, space limitations to reaching the tooth and the canal anatomy. A wide-open canal on #9 can be immensely difficult on a non-compliant patient. Alternatively, a distal lingually inclined upper right second molar on a relaxed patient without access limitations and distinct canals can be relatively straightforward especially for a right-handed clinician using a surgical microscope. In any event, it is incumbent on the clinician to assess every aspect of the case prior to initiating treatment and to give the patient a detailed assessment of what treatment is being recommended.
Access should be big enough to allow visual and tactile control, but not so large as to structurally weaken the tooth. Only as much dentin as required to allow adequate cleaning and shaping should be removed, but no more with effort being expended to always debride the tissue from the pulp horns and other hidden anatomy within the coronal portion of the tooth. Neelakantan et al (2018) determined that orifice-directed dentin conservation access design (ninja access) had significantly compromised debridement of the pulp chamber. Therefore, common sense is the best guideline when access design is considered assuring that the pulp chamber and all pulp horns are debrided.[3]
Tooth anatomy for the most part indicates how much time will be required using hand files for canal negotiation especially with calcified canals. Calcification requires fluency with ultrasonics to know which tips and units are required to allow the clinician to remove restrictive dentin. For example, in a C-shaped lower second molar using a bur in the furcation predisposes the canal to a future fracture. Alternatively, using the appropriate ultrasonic tip preserves tooth structure and allows a precise removal of tooth structure.
There are literally dozens of instrumentation systems available globally at this time. One author uses the Twisted File (KavoKerr) (BG) and the other Logic (Bassi Endo) (RM). This notwithstanding, the goals of canal shaping are identical regardless of the system used. Regardless of the instrumentation system used, patency is always sought during canal scouting and instrumentation. Clinicians can debate the relative merits of reciprocation versus rotary motion, optimal Af temperatures (austenite transformation temperatures that control whether a file undergoes the martensitic transformation), controlled memory files ground by CNC machines vs. twisting nickel titanium in R phase along with a multitude of different similar clinical issues. Regardless of these nuances, it is the adherence to basic principles of canal preparation that files create a pathway from coronal to apical to allow irrigant to flow into all of the canal ramifications which clean the root canal system and optimize clinical success.
Goals of canal preparation include keeping the canal centered in its original position within the root structure and keeping the apical foramen at its original position and size. One of the hallmarks of all the cases illustrated is that the apical foramen has been respected. Specifically, it has not been moved, transported, zipped and/or altered in any way. The apical foramen might be thought of as the “North Star” in endodontics. Reaching the apical constriction without transporting the canal and eliminating all debris from the canal and providing a tapering funnel from orifice to apex is a key canal preparation objective.
The final prepared canal shape should be large enough to irrigate and obturate, but not so large as to structurally weaken the tooth. For practical purposes, while treatment philosophies differ, the minimum guidelines for final prepared taper should be .04 and the minimum apical diameter a 30 (depending on the initial size of the foramen). Given the advent of controlled memory nickel titanium there is little indication for larger tapers, especially in fine three-dimensional apical curvatures. As mentioned, patency is essential because its obtainment means that the clinician can always reach the apex during every phase of treatment and its loss means that tissue, toxins and bacteria can remain despite irrigation procedures, especially in the apical third. Apical debris is the harbinger of iatrogenic events including but not limited to canal transportation, zipping, irrigant extrusion and a lack of optimal canal cleaning.
Conceptually, root canal system cleansing can be divided into a “macro” phase and a “micro” phase. Debridement with files is “macro” cleaning. Removal of bacteria and biofilm from the canal walls and dentinal tubules with antimicrobial solutions is the “micro” cleaning.
During preparation, it is axiomatic that debris should be removed as quickly as it is produced regardless of whether it is in the chamber or canals. Inserting a nickel titanium file into a dry canal full of debris in an effort to make apical progress is the harbinger of blocked canals and separated files. This action packs the fine three-dimensional anatomy (apical deltas, fins, cul-de-sacs, isthmuses, etc.) of canals with debris which can become much harder to remove later in the treatment process. Alternatively, irrigating after the insertion of every file and recapitulation with hand files is ideal to prevent the subsequent buildup of debris, improve circulation of irrigant apically, and optimize irrigant refreshment. Today’s rotary files are designed to funnel debris out of the canal in a coronal direction further facilitating the debris removal.
Irrigation regimens differ widely, but the goal of removal of all organic and inorganic materials, bacteria, biofilm and toxins from the root canal space is universal. After the canal is prepared, irrigation should be copious. The average volumes of sodium hypochlorite delivered during treatment at the specialty level is approximately 20-50 cc per case, or more, for a molar tooth. Volumes of liquid EDTA range anywhere from 5 to 10 cc per case, or more, for a molar tooth.
The utilization of surfactants and enhanced solutions are common at the specialty level. For example, Chlor-Xtra (Vista) and ChlorCid Surf (Ultradent) and HypoPure Pro (Kerr Endodontics) are pharmaceutical grade sodium hypochlorite solutions that possess surfactants which reduce solution surface tension and optimize canal wall wetting. Palazzi et al. (2016) showed sodium hypochlorite with the addition of surfactant had better penetration into dentinal tubules than sodium hypochlorite alone.[4] Surfactants also improve tissue dissolution and oxidizing potential. Sodium hypochlorite solutions are only chemically effective against the organic component of canal debris and so EDTA, a chelator, is also used to remove the inorganic component of canal debris including the smear layer.
SmearOFF (Vista) is a 17 percent EDTA solution which also contains surfactants as well as Chlorhexidine (a powerful antibacterial solution). A commercial alternative to SmearOFF is QMix. Unlike QMix (which contains chlorhexidine and EDTA), SmearOFF can be mixed with Chlor-Xtra without a rinsing step as no unwanted precipitates are produced by their mixture (Figs. 5-7).
The clinician should know where they are in the canal at all times when irrigating. Recommended needle gauges vary depending on the size of the initial and prepared final canal shape. For the majority of canals, a 27-gauge needle is adequate, but in fine canals a 31-gauge needle can be appropriate. Needle tip designs can include side ported and close ended or side vented among many possible configurations. The placement of a sodium hypochlorite solution like Chlor-Xtra to remove bacteria and organic material and SmearOFF to remove the smear layer and inorganic debris using a 27- or 31-gauge needle approximately 2 mm from the apex ensures penetration of these irrigants into the apical third. Irrigation needles should never be locked by the canal walls. Irrigant delivery is always passive and the needle is moved gently, slowly and vertically a few mm at a time during extrusion. Under the surgical microscope, irrigant delivery, as described above, occurs with precise control.
It is noteworthy that larger syringes (10-12 cc) require more pressure to extrude the solution relative to a 3-cc syringe. It is imperative that the clinician appreciate how much pressure they are using on the plunger. One unique alternative to plastic syringes is the AutoSyringe (Vista) device, which accepts any luer-lock needle tip and extrudes irrigant at various speeds depending on the setting selected. One author (RM) uses it routinely (Figs. 8,9).
Irrigant activation
At present there are many ways to deliver and activate irrigation for optimization. These methods include: apical negative pressure (EndoVac, Kerr) (Nielsen and Baumgartner, 2007), sonic (EndoActivator, Dentsply), ultrasonic (EndoUltra, Vista) (de Gregorio, 2009), multisonic (GentleWave, Sonendo) (Molina et al, 2015), laser activated (PIPs, Fontana) (Peters et al, 2011) , and mechanical (Finishing File, Tun Endodontics) (Bassi Clean Files, Bassi Endo). All of the activation methods above enhance the antibacterial effects of irrigants and result in cleaner canals relative to passive syringe irrigation. In addition, activation removes the accumulation of air bubbles at the apex, which is otherwise known as vapor lock. Air bubbles left at the apex due to passive syringe irrigation diminishes the apical penetration of irrigants.[5-8]
One author (BG) utilizes a combination of ultrasonic activated and apical negative pressure techniques (EndoVac, Kerr Endodontics) and the other author (RM) utilizes ultrasonic energy (EndoUltra). Regardless of which method is utilized to deliver irrigation to the apical third, it is most critical that the clinician activates their irrigation and does not rely simply on cold passive syringe irrigation. While protocols vary, activating each primary irrigant (both SmearOFF and Chlor-Xtra for example) three times in each canal for 20 seconds is a sound clinical strategy (Figs. 10-12).
Sonendo’s GentleWave deserves a special mention, as it is unlike the other activation systems available. GentleWave delivers a multisonically activated degassed solution (to remove air bubbles that dissipate energy) with negative to neutral pressure delivered via a handpiece over the access in a closed system. The literature basis supporting the system shows impressive cleansing of the root canal systems, but a definitive high-level study on improved healing has not been published to date. The system costs approximately $80,000 USD per console and $50 to $100 per one-time use handpiece. Its future application and expansion globally will be interesting to observe.
And finally, the literature is conclusive that placing a post endodontic coronal seal at the time treatment is completed, under the rubber dam, is closely associated with endodontic success. Please note, all of the cases illustrated had some form of orifice barrier or buildup placed under the rubber dam at the time of treatment (Figs. 13-18).
This article has stressed literature-based proven treatment principles over a particular manufacturer’s devices or technique recommendations. Emphasis has been placed on an accurate diagnosis, conservative access, patency, minimal taper, activating irrigation, three-dimensional warm obturation and the placement of a post endodontic coronal seal at the time of treatment under the rubber dam. We welcome your feedback.
References
- Gutarts R, et al. In vivo debridement efficacy of ultrasonic irrigation following hand-rotary instrumentation in human mandibular molars. JEndod 2005;31:166-170.
- El Fayad MI, Johnson BR. Comparison of endodontic diagnosis and treatment planning decisions using cone-beam volumetric tomography versus periapical radiography. JEndod 2014;40:910-916.
- Neelakantan P, et al. Does the Orifice-directed Dentin Conservation Access Design Debride Pulp Chamber and Mesial Root Canal Systems of Mandibular Molars Similar to a Traditional Access Design? JEndod 2018;44:274-279.
- Palazzi F, Blasi A, et al. Penetration of Sodium Hypochlorite Modified with Surfactants into Root Canal Dentin. Brazilian Dental Journal 2016;27:208-216.
- Nielsen B, Baumgartner J. Comparison of the endovac system to needle irrigation of root canals. JEndod 2007;33:611-615.
- de Gregorio C, et al. N. Effect of EDTA sonic and ultrasonic activation on the penetration of sodium hypochlorite into simulated lateral canals: an in vitro study. JEndod 2009;35:891-895.
- Molina B, et al. Evaluation of root canal debridement using the gentlewave system. JEndod;2015:41;1701-1705.
- Peters O, et al. Disinfection of root canals with photon-initiated photo acoustic streaming. JEndod;2011:37;1008-1012.
About the authors
Dr. Brett E. Gilbert graduated from the University of Maryland Dental School in 2001 and completed his postgraduate training in Endodontics from the University of Maryland Dental School in 2003. He is currently a clinical assistant professor in the Department of Endodontics at the University of Illinois-Chicago, College of Dentistry and on staff at Presence Resurrection Medical Center in Chicago. He is a past president of the Illinois Association of Endodontists. Gilbert is board certified, a Diplomate of the American Board of Endodontics. He was named a top ten young dental educator in America by the Seattle Study Club in 2017. In 2019 he was named to Academic Keys Who’s Who in Dentistry Higher Education (WWDHE). Gilbert lectures nationally and internationally on clinical endodontics. He has a full-time private practice limited to Endodontics in Niles, Ill. He can be contacted online, at www.drbrettgilbert.com.
Dr. Richard Mounce practices endodontics in Eagle River, Alaska. He has lectured globally and is widely published. He can be reached at RichardMounce@MounceEndo.com.
Tags:
CHICAGO, US: New data from the American Association of Endodontists indicates that more patients in the US are being referred to endodontists for complex ...
In the esthetic restorative material arena, Ivoclar Vivadent once again has found an ideal niche with its IPS e-max lithium disilcate product. The ...
Malocclusion is a pervasive oral health issue associated with numerous diseases and conditions that may affect a patient’s overall health and quality of ...
CHICAGO, Ill., USA: In a recent statement, the American Association of Endodontists (AAE) announced that it is strong in its stance that, amid a potential ...
Digital dentistry has changed the way I practice— for the better. I’m a prosthodontist practicing out of Monterey, Calif. I’ve got a ...
Successful implant doctors often experience difficulty when a key referring doctor stops referring implants. In fact, the loss of a top referral source can ...
Biomimetic dentistry is based on the philosophy that the intact tooth in its ideal hues and shades and, more importantly, its intracoronal anatomy, ...
Like you, we believe that science matters. For more than four decades, Dentsply Sirona has collaborated with clinicians and scientists at the forefront of ...
CHARLOTTE, N.C., US: With a heritage of more than 150 years in dentistry, Dentsply Sirona is highlighting trust as a central theme in its endodontic ...
The patient goal of shortening orthodontic treatment time is not new. It has only been in the last several years that orthodontists have had practical, ...
Live webinar
Tue. 19 May 2026
11:00 AM EST (New York)
Live webinar
Tue. 19 May 2026
1:00 PM EST (New York)
Prof. Dr. med. dent. Ivo Krejci
Live webinar
Wed. 20 May 2026
7:00 AM EST (New York)
Dr. Graham Carmichael BDSc (Hons), DClinDent (Pros), FRACDS, Dr. Robert Gottlander DDS
Live webinar
Wed. 20 May 2026
9:00 AM EST (New York)
Live webinar
Wed. 20 May 2026
11:00 AM EST (New York)
Live webinar
Wed. 20 May 2026
1:00 PM EST (New York)
Prof. Dr. med. dent. Tim Joda PhD, MSc, eMBA
Live webinar
Thu. 21 May 2026
12:00 PM EST (New York)
Dr. Leonardo Muniz DDS, MSC
To post a reply please login or register