As a matter of routine, when accepting an orthodontic treatment plan, parents are required to acknowledge their children’s teeth could be damaged during treatment. At best, unless they commit to permanent use of a retainer, patients can expect almost definite relapse and worst case scenarios may include enamel damage, root resorption or in the case of corrective jaw surgery, painful lifelong complications.
Unfortunately, though, while parents are becoming more aware of the risks and limitations of traditional orthodontics and generating impetus toward more stable, less invasive treatments, often they are not being fully informed of all the available options.
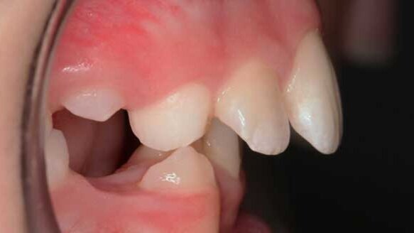
embedImagecenter("Imagecenter_1_1385",1385, "large");
Despite this increased recognition regarding the shortcomings of traditional orthodontic treatments and escalating demand for contemporary options, the causes of malocclusion remain somewhat clouded from parents. In order to make an informed decision regarding their children’s oral health and decide which treatment is most suitable, these causes must be highlighted. Three in four 21st century children will experience malocclusion, and traditionally parents, as well as the dental professionals advising them, have attributed this to hereditary factors. However, research demonstrates that rather than genetics, the etiology of malocclusion is predominately environmental.
The most current evidence, which is often not presented to parents during orthodontic consultation, reveals the majority of malocclusions are caused by incorrect jaw development. This incorrect development restricts the space available for erupting teeth and prevents them from growing into their ideal natural position. For the best part of the last century, the easiest fix for this problem has been to extract healthy permanent teeth then use braces to align the remaining teeth into underdeveloped jaws. Unfortunately, for countless orthodontic patients these mechanical treatments are focused on the symptoms of malocclusion but fail to address the underlying causes and relapse is the most predictable outcome.
An increasing number of dental professionals have accepted the necessity for new treatment methods, which address the causes rather than just correct the symptoms of malocclusion. These practitioners recognize that in addition to environmental factors, such as the modern diet, inhibited jaw development is being caused by poor myofunctional habits including thumb sucking, reverse swallowing and mouth breathing. Once these myofunctional causes of malocclusion have been identified, the potential for natural growth is unlocked and myofunctional treatment methods, which can produce more stable results without relying on heavy mechanical forces, become possible. Additionally, these preventive, pre-orthodontic treatments can be undertaken and completed much sooner than, or if necessary even in conjunction with, braces. In fact, combining pre-orthodontic preventive treatment with less invasive orthodontic techniques can produce outcomes superior to those achieved using a single treatment philosophy.
As a result of improved awareness regarding their children’s oral health care, 21st century parents have become increasingly enthusiastic about less invasive, more preventive treatment methods and legally should be presented with all available treatment options. Although patient compliance with functional appliances and myofunctional therapy techniques has historically restricted the widespread acceptance of these treatments, modern techniques have addressed these concerns. There are now treatment systems which package myofunctional habit correction, arch expansion and dental alignment into one integrated system that satisfies the parental demand for modern, early pre-orthodontic techniques.
In 2002, 300 full-time faculty positions were unfilled, and an additional 200 to 600 new faculty members would be needed every year thereafter (Trotman, ...
Orthodontic education accreditation for all undergraduate and postgraduate educational programs in the United States and Canada was initiated in the early ...
Background of orthodontic education in early 1900s: During the 1940s-1950s, dentists seeking to specialize in orthodontics were required to work for several...
Part I: Background of orthodontic education from 1000 BC to 1727: Orthodontics dates back to 1000 BC (Proffit, Fields, & Sarver, 2007). Proffit et al. ...
NEW YORK, N.Y., USA: Image Orthodontics has chosen its first three children to receive full orthodontic scholarships through Smile for a Lifetime. Smile for...
Every practice is unique and each office provides a different offering of products or treatments. The decision to choose certain treatment options is ...
LEIPZIG, Germany: Dental photography can no longer be considered a luxury. It has become an essential tool for dental documentation, communication with the ...
For 70 years, the American Academy of Implant Dentistry has gathered talented and strong-minded individuals to collaborate, educate and elevate one ...
WATERTOWN, Mass., USA: Pulpdent has been awarded two patents by the United States Patent and Trademark Office for a stabilized calcium phosphate molecule. ...
NORTHBOROUGH, Mass., USA: Solmetex announced today (May 19, 2020) that it has received additional patents for its NXT Amalgam Separator System, including ...
Live webinar
Tue. 19 May 2026
11:00 AM EST (New York)
Live webinar
Tue. 19 May 2026
1:00 PM EST (New York)
Prof. Dr. med. dent. Ivo Krejci
Live webinar
Wed. 20 May 2026
7:00 AM EST (New York)
Dr. Graham Carmichael BDSc (Hons), DClinDent (Pros), FRACDS, Dr. Robert Gottlander DDS
Live webinar
Wed. 20 May 2026
9:00 AM EST (New York)
Live webinar
Wed. 20 May 2026
11:00 AM EST (New York)
Live webinar
Wed. 20 May 2026
1:00 PM EST (New York)
Prof. Dr. med. dent. Tim Joda PhD, MSc, eMBA
Live webinar
Thu. 21 May 2026
12:00 PM EST (New York)
Dr. Leonardo Muniz DDS, MSC
To post a reply please login or register