Today’s digital impression technology enables dentists to create a virtual, computer generated replica of the hard and soft tissues in the mouth quickly and accurately using their choice of optical scanning device. As an ardent supporter of digital impressions, I make every attempt to digitize our restorative workflow.
There are numerous benefits to a digital impression:
- Efficiency: It takes less time to take a digital impression than a traditional impression.
- Quicker turnaround time: Clinicians often forget or fail to realize the true value of this. Getting restorations back faster is better for the patient, the practice and the overall case outcome.
- Cost savings: Have you ever calculated the cost of taking a traditional impression for a final restoration? If you add up what your office spends on impression materials, chair time and case shipping fees, you will be amazed at how much is spent on traditional methods.
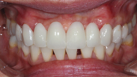
Case presentation
The female featured in this article has been a patient in our practice for nearly eight years. She has a porcelain-fused-to-metal bridge from tooth #5 to #12 replacing missing #7 to #10. She is not terribly unhappy with the look and feel of the bridge, but the bridge has been no stranger to the big issue facing PFM restorations: the chipping of porcelain from the metal substructure. During the past eight years, we have patched various corners and lingual surfaces.
Recently, the patient agreed to replace her long-span PFM bridge with an implant-supported bridge on #7 to #10 and individual crowns on the abutment teeth. However, she was adamant about not going a day without teeth. We advised her that this would not be an issue.
Because of the complexity of her implant surgery, immediate loading was not possible. This meant we needed a long-term esthetic provisional that would last the duration of the treatment, could be removed for surgery and was adjustable for post-surgical contouring. A BioTemps provisional bridge (Glidewell Laboratories; Newport Beach, Calif.) was the quick and easy answer.
Traditionally, BioTemps are made prior to preparation and relined chairside. In this case, I wanted to have the BioTemps made to fit the final preparations of the abutment teeth, which would later be converted to individual restorations. As an advocate of digital impressions, I chose to follow a digital workflow.
The provisional BioTemps bridge offers the following important advantages in this case:
1) Trial smile: The patient gets a “trial” of the new contours. Any modifications to length or contour can be made chairside, avoiding costly remakes and unhappy patients.
2) Long-term durability: Because of the complexity of this case, full treatment will take well over 12 months. An acrylic provisional fabricated chairside simply won’t hold up this long.
3) Removability: For implant surgery, the specialist will need the ability to remove and re-cement the provisional with relative ease.
4) Adjustability: The necks of teeth #7 to #10 will need to be adjusted after surgery to remove any pressure to the surgical sites. BioTemps are easily adjusted.
5) Surgical assistance: The contours and esthetics of the BioTemps will serve as a “guide” to the surgeon for grafting and placement of the implants.
As this case illustrates, digital impressions are not just limited to final restorations, and certainly not just to single units. It’s time for you to take a closer look at digital restorative technologies and see how they can benefit your practice and your patients.
(Note: This article was published in Dental Tribune U.S. Edition, Vol. 9, No. 2, February 2014 issue.)
Single-unit and short-span restorations present clinicians with an excellent opportunity to utilise digital workflows. These high-accuracy appliances ...
For years, orthodontic practices like mine had to rely on different providers for the latest digital technology. One company provided the scanner, another ...
CHICAGO, Ill., USA: Here at the Midwinter Meeting, Henry Schein Practice Solutions, the U.S. practice solutions business of Henry Schein Inc., is announcing...
3D Systems’ NextDent Jetted Denture Solution is the industry’s first digital workflow for producing multi-material monolithic dentures. Using two ...
Dentists today are living during exciting times when advancements in materials, techniques and diagnostics allow us to predictably improve the quality of ...
LEIPZIG, Germany: In a webinar presented on Oct. 18 by the Dental Tribune Study Club, Professor Christoph Hämmerle will guide participants through the ...
NEW YORK, USA; At the 2016 Nobel Biocare Global Symposium, attendees have the opportunity to step into the future of implant dentistry by taking a ...
LEIPZIG, Germany: The combination of digital media makes dental treatment processes not only easier, safer and more standardised, but also provides a high ...
NEW YORK, N.Y., USA: During its Global Symposium at the Waldorf Astoria in New York, Nobel Biocare unveiled a new, fully integrated digital workflow and a...
KRIENS, Switzerland: For decades, dentistry has largely centred on intervention-based care—responding to disease rather than preventing it. However, a ...
Live webinar
Tue. 19 May 2026
11:00 AM EST (New York)
Live webinar
Tue. 19 May 2026
1:00 PM EST (New York)
Prof. Dr. med. dent. Ivo Krejci
Live webinar
Wed. 20 May 2026
7:00 AM EST (New York)
Dr. Graham Carmichael BDSc (Hons), DClinDent (Pros), FRACDS, Dr. Robert Gottlander DDS
Live webinar
Wed. 20 May 2026
9:00 AM EST (New York)
Live webinar
Wed. 20 May 2026
11:00 AM EST (New York)
Live webinar
Wed. 20 May 2026
1:00 PM EST (New York)
Prof. Dr. med. dent. Tim Joda PhD, MSc, eMBA
Live webinar
Thu. 21 May 2026
12:00 PM EST (New York)
Dr. Leonardo Muniz DDS, MSC
To post a reply please login or register