Clarity Precision Grip Attachments are a fully cured composite attachment system that enables flash-less bonding and durable performance. (Images: Solventum; Dr David Cinader et al.)
Soon after the mass adoption of clear aligners, it became apparent that a plastic shell did not provide sufficient purchase on the teeth for all movements. Attachments, or polymerised bumps of composite directly bonded to the teeth, were developed to provide a grip for these movements. Presumably, attachments provide better engagement between the teeth and aligner.
Fig. 1: Dispensing a flowable composite into an attachment template.
A technique for producing these attachments was developed in which a mould of the dental arch, or template, is used to form attachments directly on the teeth (Fig. 1). It is typically accomplished by injecting a small amount of composite into each of the attachment pockets in the template. This method enabled a great deal of customisation because many sizes and shapes of attachment may be produced, and there is wide choice regarding their position and orientation.
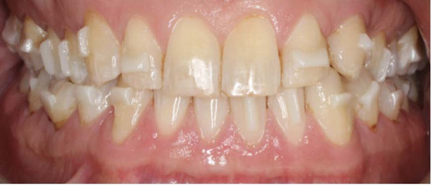
However, the procedure is complicated by the difficulty in dispensing the ideal amount of composite into the template. Too little composite results in the risk of bond failure or creation of an attachment with voids. In addition to affecting the ability of the aligner to engage the tooth and attachment, voids may cause discomfort because the craters left by bubbles may have sharp edges. Too much composite results in a significant excess, or flash, around the attachment perimeter (Fig. 2). Flash may attract stains, harbour plaque and inhibit the ability of the aligner to fully engage the attachment.1 All of these depend on the mould-filling technique, which can be difficult to standardise.
Figs. 2–3b: Poorly formed attachments and flash around attachments.
Fig. 3a
Fig. 3b
It has been recognised that clinical outcomes may be undermined by the lack of correspondence between the digital representation of the planned attachment and the actual attachment when bonded to the tooth.2, 3 This lack of correspondence may be the result of voids, flash or distortion of the attachment template (Fig. 3). We have used finite element analysis simulations to show that both composite flash and displacement may have deleterious effects on the direction of applied force. It is important for attachments to be accurately positioned and precisely shaped (Fig. 4).
Fig. 4: Simulations of the force vectors obtained when horizontal gingivally bevelled attachments on tooth #45 are misplaced or malformed and misplaced. The green attachment achieves the desired force vector (green arrow). The orange attachment is misplaced 0.5 mm occlusally, resulting in a force vector in the opposite direction (orange arrow) of the desired force vector. The teal attachment is misplaced and has significant flash, resulting in a force vector in the incorrect direction (teal arrow).
Customisation through 3D printing
In order to deliver accuracy and precision, an improved process was needed. Ideally, the attachment templates could be delivered preloaded with composite. The tiny dimensions and custom shapes of attachments make precise filling of the pockets difficult. It is also difficult to judge the amount of material required to adapt to the curvature of the tooth surface; it must be estimated from the surrounding surface of the template.
To address this, we leveraged 3D printing as a solution. This technology offers the ability to efficiently produce custom articles with complex shapes and intricate detail. In this case, it is used to deliver to the clinician pre-hardened customised attachments. The fully polymerised, pre-hardened Clarity Precision Grip Attachments are delivered in a thermoformed attachment tray that relies on an intuitive bonding procedure (Fig. 5).
Figs. 5a & b: Clarity Aligners Precision Grip Attachments in the attachment tray.
Fig. 5b
The bonding procedure begins with the application of a bonding agent (3M Transbond XT Light Cure Adhesive Primer, Solventum) to the tooth-facing surfaces of the Clarity Precision Grip Attachments. The teeth are cleaned with a prophylaxis paste or etched and then prepared with a different bonding agent (3M Transbond Plus Self Etching Primer). The tray is fitted on to the teeth, and the bonding agents are polymerised by a 6-second exposure to an 3M Ortholux Luminous Curing Light or a 10-second exposure to a 3M Elipar curing light directly over each attachment. The tray is then removed from the mouth.
The attachments produced in this fashion are very well defined and free of composite flash after bonding (Figs. 6 & 7). The case shown demonstrates that the post-bonding results of Clarity Precision Grip Attachments closely mirror the precise shape and virtual placement in the digital plan (Fig. 8). To achieve optimal outcomes, it is crucial that the clinical reproduction of the attachments closely mirrors their virtual placement.
Fig. 6: Clarity Precision Grip Attachments bonded in the mouth.
Figs. 7a & b: Post-bonding scan of the Clarity Precision Grip Attachments in the case demonstrated.
Fig. 7b
Fig. 8: Plan (3D set-up) of the attachments and their placement for the case demonstrated.
A comparison between attachments created via a conventional attachment template and Clarity Precision Grip Attachments shows that the 3D-printed attachments are cleanly defined and have less flash than the conventional attachments (Fig. 9). A direct comparison between a Clarity Precision Grip Attachment and a conventional attachment of the same planned shape and position, placed in the same patient and bonded by the same clinician demonstrates the defined edges of the Clarity Precision Grip Attachment (Fig. 10).
Engagement between aligner and attachment is also improved with attachments that are more precise (Fig. 11). In a comparison between a Clarity Precision Grip Attachment and a conventionally moulded attachment, engagement was computed for each attachment through physics-based computational simulations. The gap between the aligner and the attachment is more pronounced and misaligned with the conventional attachment compared with the more precise fit of the Clarity Precision Grip Attachment. The improved engagement may lead to the option of reducing the size and number of attachments when planning treatment. With improved engagement, clinicians may see improved outcomes.
The prescribed bonding protocol provides additional benefits, specifically the elimination of composite flash. This is enabled by using unfilled bonding agents, which support an intimate fit between the Clarity Precision Grip Attachments and the teeth. 3D printing easily produces a tooth-facing side that matches the patient’s anatomy, allowing thin bonding agents to be used in securing Clarity Precision Grip Attachments to the teeth (Fig. 12).
Figs. 9a & b: (a) Scan of conventionally moulded attachments and (b) of Clarity Precision Grip Attachments. Both scans were taken prior to any flash removal.
Figs. 10a & b: Scans of individual teeth with bonded attachments. (a) Clarity Precision Grip Attachment and (b) conventionally moulded attachment.
Figs. 11a–d: Cross-sectional views of bonded attachments. (a & b) More precise fit of the Clarity Precision Grip Attachment and (c & d) more pronounced gap and misalignment of the conventionally moulded attachment.
Figs. 12a & b: 3D printing easily produces a tooth-facing side that matches the patient’s anatomy.
Fig. 12b
Engagement between aligner and attachment is also improved with attachments that are more precise (Fig. 11). In a comparison between a Clarity Precision Grip Attachment and a conventionally moulded attachment, engagement was computed for each attachment through physics-based computational simulations. The gap between the aligner and the attachment is more pronounced and misaligned with the conventional attachment compared with the more precise fit of the Clarity Precision Grip Attachment. The improved engagement may lead to the option of reducing the size and number of attachments when planning treatment. With improved engagement, clinicians may see improved outcomes.
The prescribed bonding protocol provides additional benefits, specifically the elimination of composite flash. This is enabled by using unfilled bonding agents, which support an intimate fit between the Clarity Precision Grip Attachments and the teeth. 3D printing easily produces a tooth-facing side that matches the patient’s anatomy, allowing thin bonding agents to be used in securing Clarity Precision Grip Attachments to the teeth (Fig. 12).
Fig. 13: Statistical comparison showing that the 3D-printed test samples of Clarity Precision Grip Attachment material achieved the lowest discoloration in the ketchup–mustard mixture, coffee and red wine staining tests compared with other restorative composites used for attachments.
Conclusion
Through Clarity Precision Grip Attachments, we aim to solve what matters to our customers and change the course of aligner treatment for good. We leverage our legacy of groundbreaking innovation as a driver to find solutions for our customers and support them in creating beautiful, healthy smiles for patients. This latest innovation is a testament to the future of Solventum, addressing important healthcare challenges through the application of materials science, mechanical design and 3D-printing techniques. At Solventum, we are leaning into a future focused on enabling better, smarter, safer healthcare.
For over a century, the field of dentistry has evolved, driven by innovations that have reshaped how dentists care for patients. We believe we are now ...
As we gather at the Academy of Osseointegration, conversations center around precision, predictability and expanding what’s possible in modern implant and...
ANAHEIM, CA, USA: In an interview with Dental Tribune at the recent California Dental Association meeting (15 to 17 May), C. Brian Melonakos, president and ...
Internal marketing is the most predictable and least expensive form of marketing for dental practices. While there are many types of marketing, ranging from...
Every ortho practice should have clear and challenging performance goals. This is the first step in improving the practice and reaching the office’s ...
Osteogenics Biomedical, the Lubbock, TX-based manufacturer of Cytoplast barrier membranes and PTFE suture, has announced the addition of a new fixation ...
CZĘSTOCHOWA, Poland: Digital transformation in orthodontics is accelerating, and the diagnostic models generated by the orthodontic software DDP AI from ...
NEW YORK, N.Y., USA: In an advance toward solving a 50-year-old mystery, scientists are reporting new evidence on how the fluoride in drinking water, ...
Education
Live webinar Tue. 12 May 2026 1:00 PM EST (New York)
ANN ARBOR, Mich., US: Opioid overprescription remains a major concern in dentistry. Although the prescription of opioids by dentists in the US has decreased...
AURORA, Colo., US: Multi-material 3D-printing of monolithic dentures in a single build has been a significant advance in digital denture fabrication. ...
DALLAS, US: As artificial intelligence (AI) tools are increasingly explored in dental education and clinical learning, questions remain about how reliably ...
To post a reply please login or register