The majority of children today exhibit some degree of malocclusion,[1,2] and it has been well documented that this is related to soft-tissue dysfunction.[3,4] In fact, it is now so well accepted that the muscles of the tongue, lips and cheeks play a major role in tooth position and jaw development[5,6] there are contemporary pre-orthodontic clinics around the world using myofunctional philosophy to treat children between the ages of 5 and 15 (Myobrace Pre-Orthodontic Center).
However, despite these evolutionary myofunctional treatment systems achieving outstanding results, a small percentage of cases that prove difficult to treat remains. This raises questions regarding what is causing these stubborn cases as well as how best to treat them when all obvious poor myofunctional habits, such as digit sucking, tongue postural issues and dysfunctional swallowing patterns, have all been addressed in the myofunctional sense. It appears that answers may be uncovered by examining the child’s airways and breathing patterns.
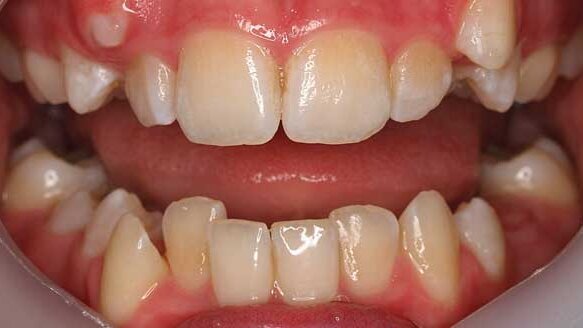
embedImagecenter("Imagecenter_1_1361",1361, "large");
Relevant literature explains how mouth breathing is a significant factor in the aetiology of malocclusion.[7,8,9,10,11,12] In short, when mouth breathing occurs, the tongue moves down in the mouth to allow the passage of air above it. Furthermore, an open-mouthed posture can affect the direction of growth as the muscles pulling on the jaws are affected. However, the real details of why children habitually mouth breath are not so well documented.
Breathing dysfunction factors
Factor 1: Tongue and head posture. Breathing through the mouth causes the tongue to lower and also alters the head posture. This low tongue posture then leads to reduced maxillary growth13,14 and increases in vertical growth (Figs. 1a, b).
Factor 2: The Bohr effect and cellular hypoxia. It is important to be mindful that breathing dysfunction includes more than just mouth breathing. It also includes habitual hyperventilation, which means the patient will constantly be breathing an excess of air. This will then cause the bond between haemoglobin and oxygen to be strengthened (Bohr effect), and while blood oxygen saturation can be normal, oxygenation at a cellular level may be reduced due to poor oxygen release from haemoglobin. As a result, cells become stressed, and this cellular hypoxia can lead to dysfunction on a cellular level (see Fig. 2: The central proposition of the Bohr Effect states oxygen affinity to hemoglobin depends on absolute CO2 concentrations, and reduced CO2 values decrease oxygen delivery to body cells. Habitual hyperventilation leads to reduced arterial CO2 and, therefore, less oxygen released to cells.).
My observations as a breathing educator and dentist practicing myofunctional orthodontics is that in addition to maloclussions, patients with poor breathing patterns also tend to have sinus congestion, asthma, hay-fever, enlarged adenoids or tonsils as well as ADD, Asperger’s and other syndromes on the autism spectrum.
Factor 3: Becoming locked into a cycle of habitual hyperventilation. Patients who habitually hyperventilate become accustomed to breathing greater than the physiological norm (> 4-5L/min at rest). It is hypothesised that habitual hyperventilation causes the trigger point at which the brain detects a level of CO2 sufficient to prompt the breathing reflex to become too low, and patients become sensitive to healthy CO2 levels, causing them to breathe an excess of air. Because such patients can get locked into this cycle of habitual hyperventilation, they may need extra help breaking the mouth-breathing habit.
What can help these patients?
An increasing number of dental professionals are focusing on innovative techniques to help patients break their cycle of habitual hyperventilation. These techniques involve a combination of breathing and airway awareness exercises intended to assist the patient to become accustomed to breathing smaller, healthier volumes of air. As a result, these patients learn to breathe less (retain more CO2), and more O2 is released to their cells and tissues. Additionally, airways remain clearer, patients often become healthier, and tongue posture improves when mouths remain closed.
These techniques are used by Myobrace Pre-Orthodontic Centers to treat the difficult 5 percent of cases where the patient does not adapt to a better breathing habit using Myobrace appliances along with myofunctional and breathing activities alone.
To predict which patients may require help correcting their airway dysfunction, they can be divided into three groups during treatment planning. It is important to note that the groups remain flexible.
Group 1 — Unlikely to require assistance (5 percent of patients): no asthma; no Hx of ENT; no medications; no regular illness.
Group 2 — May possibly require assistance (90 percent of patients): previous asthma; previous ENT; medications; regular illness.
Group 3 — Likely to require assistance (5 percent of patients): current asthma; current ENT; multiple/several medications; constant illness.
Patients classified into Groups 1 and 2 are likely to change their airway dysfunction after treatment with the Myobrace System, which encourages correct breathing. However, patients classified into Group 3, and in some instances those in Groups 1 and 2, are likely to require additional assistance.
Identifying habitual hyperventilators
Generally, habitual hyperventilators show:
- Mouth breathing, lips apart at rest.
- Shoulder/upper chest breathing at rest.
- Audible breathing at rest.
- Medical history of enlarged tonsils and/or adenoids, asthma, hay-fever, recurrent respiratory infections, snoring, teeth grinding or sleep apnea.
- Narrow upper arch form.
- Forward head/shoulder posture.
- Venous pooling. Typically, mouth breathers will exhibit venous pooling, which occurs as a result of the inferior orbital becoming constricted due to low levels of CO2, which usually has a vasodilatory effect. Additionally, this causes a reduction in N2O (found in the paranasal sinuses),15 which is also vasodilatory and mixes with air when nasal breathing is predominate. Patients with narrow maxillae can be expected to have a smaller than average pterygomaxillary fissure. As a result of these two factors, there is less venous drainage from the inferior orbital vein, which has to pass through the narrowed pterygomaxillary fissure. Deoxygenated or venous blood then pools beneath the eyes. When patients habitually breathe through their mouth and have a narrow maxilla, they will show symptoms of venous pooling.
Summary of factors associated with venous pooling: low blood CO2 caused by habitual hyperventilation; low N2O caused by a lack of nasal breathing; reduced vasodilation caused by low CO2 and N2O; small pterygomaxillary fissure as a result of constricted maxilla; and low tongue posture.
Conclusions
It is clear a correctly functioning tongue acts as a natural retainer, but when a patient habitually breathes through his or her mouth, the tongue is prevented from functioning in this correct way. In contrast, when the mouth remains closed and the tongue sits correctly, increased orthodontic stability can be expected.
Furthermore, when a patient maintains a closed-mouth posture and high-tongue posture, treatment time can be expected to lessen as forces exerted on the teeth and jaws will work favorably. Finally, it has been well-documented mouth breathing is not in the best interests of health, growth and correct development.16,17 Therefore, it is reasonable to assume encouraging correct functional breathing patterns will have a much more far-reaching effect than just correcting crooked teeth and jaws. Simply fixing the teeth and jaws is potentially missing a huge piece of the puzzle at the expense of possible health gains and future orthodontic stability.
Note: This article was published in Dental Tribune U.S. Edition, Vol. 9, No. 8, August 2014 issue. A complete list of references is available from the publisher.
Dentists are wonderful technicians. Those who are also good communicators often rise to the top in terms of both practice success and industry leadership. ...
More than any other specialty, general dentists refer their patients to specialists for orthodontic treatment. In Australia, the options given to these ...
NEW YORK, N.Y., USA: Pike Place Market, The Space Needle, the EMP Museum and some of the top thought leaders in pediatric dentistry are among the reasons to...
Adjustment-free appointments are actually possible and can be routine. Delivering veneers, inlays, onlays, crowns, bridges and partial dentures with very ...
NEW YORK, USA/LEIPZIG, Germany: According to the US website Asbestos.net, dentist should be more aware of the hazards arising from asbestos. High ...
NEW YORK, N.Y., USA: Image Orthodontics has chosen its first three children to receive full orthodontic scholarships through Smile for a Lifetime. Smile for...
NEW YORK, NY, USA: Do you have patients who complain about sensitive teeth, sharp pains or discomfort triggered by hot or cold? The culprit, according to ...
Clear aligner treatment has evolved beyond simply straightening teeth. Today’s patients want comfort, convenience and confidence that their results will ...
NEW YORK, NY, USA: The New York University College of Dentistry (NYUCD) will name the Dr. Elliott M. Moskowitz Orthodontic Wing in recognition of a $1.2 ...
For decades, implant evaluations have relied on visual assessments and patient symptoms. However, these traditional methods often fail to detect early-stage...
Live webinar
Thu. 14 May 2026
12:00 PM EST (New York)
Live webinar
Thu. 14 May 2026
2:00 PM EST (New York)
Prof. Hani Ounsi DDS PhD FICD
Live webinar
Tue. 19 May 2026
11:00 AM EST (New York)
Live webinar
Tue. 19 May 2026
1:00 PM EST (New York)
Prof. Dr. med. dent. Ivo Krejci
Live webinar
Wed. 20 May 2026
7:00 AM EST (New York)
Dr. Graham Carmichael BDSc (Hons), DClinDent (Pros), FRACDS, Dr. Robert Gottlander DDS
Live webinar
Wed. 20 May 2026
9:00 AM EST (New York)
Live webinar
Wed. 20 May 2026
1:00 PM EST (New York)
Prof. Dr. med. dent. Tim Joda PhD, MSc, eMBA
To post a reply please login or register