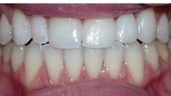
NEW YORK, USA: The average price dentists charge their patients for porcelain veneers is about US$1,100 per tooth, according to a survey conducted by The Wealthy Dentist, a website offering continuing education and marketing resources to dental professionals.
In the survey, dentists were also asked to share their thoughts about offering veneers.
Responses included the following:
- “I wish I could do them cheaper, but good lab work and planning takes time and money,” said a Michigan dentist who responded to the survey.
- “The fee is not enough for the time it takes,” said another dentist, from Mississippi. “It is a lot more complicated than a dental crown.”
- “Depending upon the number of teeth to be done, I will discount my per-tooth fee,” said an Oklahoma dentist who responded to the survey.
- “Veneers are almost always placed as multiple units of eight to 10 veneers, making a small discount per unit reasonable and still profitable,” said a North Carolina dentist.
The survey noted that porcelain veneers cost about the same as Lumineers, a brand of teeth veneers that have become a popular part of cosmetic dentistry. Yet some dentists charge significantly more for Lumineers veneers, while others charge significantly less.
Prosthodontists in the survey reported charging several hundred dollars more per tooth veneer than general dentists.
“We never say ‘crown’ in our prosthodontic practice. Our patients come back and say they ‘just love their new veneers.’ Think about it, crowns are really full veneers,” said a Tennessee prosthodontist.
“Veneers are the best tool available for doing an extreme dental makeover,” said Jim Du Molin, founder of The Wealthy Dentist. “With veneers, patients can change the size, shape and color of their teeth, giving them the smile of their dreams.”
Who would dentists dream to see in their chair? The world’s best known personalities have dental needs too. But what could modern dental treatments do...
The COVID-19 crisis has caused a significant financial impact on dental practices, with collections for the vast majority of dentists less than 5 percent of...
WEST LONG BRANCH, N.J., USA: Lanmark360’s “Shave the Shore” campaign recently exceeded its fundraising goal by raising more than $20,000 ...
Dental practice management consulting company Levin Group is celebrating its 25th anniversary this year. Founded in 1985 by Dr Roger P. Levin, a ...
ORANGE COUNTY, CA, USA: An Orange County-based charity that puts smiles back on the faces of underprivileged kids in need of major orthodontic care is the ...
NEW YORK, N.Y., USA: I believe the reason we have as many hurricanes as we have had in recent years is because of the 24-hour weather channel. Jerry Della ...
NEW YORK, N.Y., USA: Charles Braga, DMD, having just completed his fourth live-dentistry demonstration at a major U.S. dental meeting, is quick to sum up ...
COPENHAGEN, Denmark: Digital dental technologies are changing daily dental practice. On 6 June, dental technology specialist 3Shape hosted 3Shape Discover,...
It all started when Chip Rich, the creative director at a New York advertising agency, was asked by his brother-in-law to create an ad campaign for his ...
NEW YORK, NY, USA: When it comes to stimulating dinner conversation, root canal therapy is not typically considered the most appetizing topic. That is ...
Live webinar
Tue. 19 May 2026
11:00 AM EST (New York)
Live webinar
Tue. 19 May 2026
1:00 PM EST (New York)
Prof. Dr. med. dent. Ivo Krejci
Live webinar
Wed. 20 May 2026
7:00 AM EST (New York)
Dr. Graham Carmichael BDSc (Hons), DClinDent (Pros), FRACDS, Dr. Robert Gottlander DDS
Live webinar
Wed. 20 May 2026
9:00 AM EST (New York)
Live webinar
Wed. 20 May 2026
11:00 AM EST (New York)
Live webinar
Wed. 20 May 2026
1:00 PM EST (New York)
Prof. Dr. med. dent. Tim Joda PhD, MSc, eMBA
Live webinar
Thu. 21 May 2026
12:00 PM EST (New York)
Dr. Leonardo Muniz DDS, MSC
To post a reply please login or register