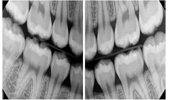
Carestream Dental, manufacturer of the KODAK RVG 6500 System, has been recognized as one of 16 companies to receive the Pride Institute’s Best of Class Technology Award for 2011. Carestream Dental was an honoree in the “Emerging” category. The RVG 6500 System is Carestream Dental’s most recent addition to the line of high-performance RVG Digital Radiography Systems.
Featuring film-quality intraoral radiographs and rapid image acquisition, the wireless RVG 6500 System delivers powerful clinical benefits in a convenient design.
“We were thrilled to be recognized by the Pride Institute,” said Edward Shellard, DMD, chief marketing officer and director of business development for Carestream Dental. “We design all our products to deliver exceptional performance and sincerely appreciate the opportunity to have them tested by such a highly-regarded and experienced panel.” A panel of dental technology experts, organized by the Pride Institute, a dental practice management consulting firm based in Novato, Calif., selected this year’s winning products through an unbiased, rigorous assessment process.
The winning technologies were selected by majority vote and divided into four categories: Foundational, Diagnostic, Therapeutic and Emerging.
The Pride Institute Best of Class Technology awards were launched in 2009 as a new concept to provide an unbiased, nonprofit assessment of available technologies in the dental space. Winners of the award are invited to participate in a technology fair showcased at the American Dental Association’s annual meeting.
“We deeply felt a gap in the area of technology education and integration,” said Lou Shuman, DMD., CAGS, president of the Pride Institute. “We feel the technology awards and fair were an ideal model to fill that gap. Pride Institute’s commitment is to provide the finest information and counsel in all areas of practice management.”
The panel consists of seven dentists with significant knowledge of and experience in dental technology,
Carestream Dental LLC, the exclusive manufacturer of KODAK Dental Systems, provides industry-leading imaging, software and practice management solutions for dental and oral health professionals.
With more than 100 years of industry experience, Carestream Dental products are used by seven out of 10 practitioners globally and deliver more precise diagnoses, improved workflows and superior patient care.
(Source: Carestream Dental)
The look and feel of the modern dental practice has changed dramatically over the past 10 years. Systems that were once paper-based have now moved into the ...
NEW YORK, N.Y., USA: Leading nearly 200 mission trips in 56 countries during his career, from Mexico to Africa, Southeast Asia and the Amazon jungle, Dr. ...
Are you in love with your dark room? Does the team fight over who ‘gets to clean’ the processor? Will it break their hearts when they learn that...
Is there a technology you’ve come to rely on so much that you can’t imagine how you ever got along without it? For me, that technology is ...
The October 2020 issue of the Journal of the California Dental Association, which explores COVID-19 connections in oral health care and dentistry, has been ...
The Pride Institute has recognized the Gendex GXCB-500 HD for Best in Class, singling it out from all other cone beam systems. From its flexibility in 3-D ...
ST. PAUL, MN, USA: After debuting with a regional rollout, the 3M ESPE Lava Chairside Oral Scanner C.O.S. is now available to dentists nationwide. ...
Money isn’t everything … but in these days of belt tightening and careful budgeting, people are curbing the urge to splurge at both home and ...
BOSTON, US: VideaHealth, a provider of artificial intelligence (AI)-powered dental technology, has introduced OrthoAI and ImplantAI—new features within ...
TORONTO, CANADA: Quantum Dental Technologies (QDT), a medical device company, became the first Canadian business to win the National Instruments (NI) ...
Live webinar
Tue. 19 May 2026
11:00 AM EST (New York)
Live webinar
Tue. 19 May 2026
1:00 PM EST (New York)
Prof. Dr. med. dent. Ivo Krejci
Live webinar
Wed. 20 May 2026
7:00 AM EST (New York)
Dr. Graham Carmichael BDSc (Hons), DClinDent (Pros), FRACDS, Dr. Robert Gottlander DDS
Live webinar
Wed. 20 May 2026
9:00 AM EST (New York)
Live webinar
Wed. 20 May 2026
11:00 AM EST (New York)
Live webinar
Wed. 20 May 2026
1:00 PM EST (New York)
Prof. Dr. med. dent. Tim Joda PhD, MSc, eMBA
Live webinar
Thu. 21 May 2026
12:00 PM EST (New York)
Dr. Leonardo Muniz DDS, MSC
To post a reply please login or register