NEW YORK, USA; At the 2016 Nobel Biocare Global Symposium, attendees have the opportunity to step into the future of implant dentistry by taking a guided tour of a digitally enabled practice. Everything is covered—from the waiting room to the surgery theater to the dental laboratory.
The tour begins in the consultation area, where a patient’s treatment plan is developed. In a reading area, education materials are presented to the patient, so that he or she can understand the complete process. Next comes the acquisition of data, where a patient’s digital record is taken using the latest and most technologically advanced imaging systems. For the surgery itself, both fully and partially edentulous patients can be treated, and tour participants can view operatories and ask questions of experts about the digital tools. In the laboratory area, participants can learn more about the benefi ts of the new NobelDesign software.
The ultimate goal is to increase the effciency and accuracy of diagnostics, treatment planning and guided surgery.
In addition to the current technology, potential future innovations designed to increase integration, collaboration and efficiency are also discussed. Participants see how Nobel Biocare’s leading integrated workflow can accelerate, combine or even eliminate treatment steps.
Nobel Biocare is also advancing the restorative workfl ow in terms of componentry. An important new addition to its assortment of components is the On1 concept. This innovative modular solution bridges the gap between the surgical and prosthetic workflows. The On1 Base connects to the implant at surgery and then remains in place throughout the healing process, prosthetic work and then the lifetime of the restoration. This leaves the soft tissue undisturbed without compromising on restorative flexibility, leaving the biological seal it creates in place for optimized healing.
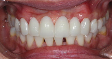
Full-arch implant-supported reconstruction continues to provide viable solutions to restore and improve function, enhance aesthetics and change quality of ...
Inside any orthodontic practice today, you’ll see a familiar dance: patients moving between chairs, assistants shifting from scans to photos and ...
Quakertown, Penn. – DEXIS, a global leader in digital diagnostic imaging and intraoral scanning solutions, has announced significant advancements to its ...
Single-unit and short-span restorations present clinicians with an excellent opportunity to utilise digital workflows. These high-accuracy appliances ...
For years, orthodontic practices like mine had to rely on different providers for the latest digital technology. One company provided the scanner, another ...
QUAKERTOWN, Penn., US: DEXIS has announced that clinicians will be able to advance their practice and consequently improve their patient experience thanks ...
LEIPZIG, Germany: The combination of digital media makes dental treatment processes not only easier, safer and more standardised, but also provides a high ...
Today’s digital impression technology enables dentists to create a virtual, computer generated replica of the hard and soft tissues in the mouth ...
NEW YORK, N.Y., USA: During its Global Symposium at the Waldorf Astoria in New York, Nobel Biocare unveiled a new, fully integrated digital workflow and a...
3D Systems’ NextDent Jetted Denture Solution is the industry’s first digital workflow for producing multi-material monolithic dentures. Using two ...
Live webinar
Thu. 14 May 2026
12:00 PM EST (New York)
Live webinar
Thu. 14 May 2026
2:00 PM EST (New York)
Prof. Hani Ounsi DDS PhD FICD
Live webinar
Tue. 19 May 2026
11:00 AM EST (New York)
Live webinar
Tue. 19 May 2026
1:00 PM EST (New York)
Prof. Dr. med. dent. Ivo Krejci
Live webinar
Wed. 20 May 2026
7:00 AM EST (New York)
Dr. Graham Carmichael BDSc (Hons), DClinDent (Pros), FRACDS, Dr. Robert Gottlander DDS
Live webinar
Wed. 20 May 2026
9:00 AM EST (New York)
Live webinar
Wed. 20 May 2026
1:00 PM EST (New York)
Prof. Dr. med. dent. Tim Joda PhD, MSc, eMBA
To post a reply please login or register