BruxZir Solid Zirconia crowns and bridges were originally designed by Glidewell Laboratories as an esthetic alternative to posterior cast gold or metal occlusals. As dentists began placing BruxZir restorations and were satisfied with the results, they started to prescribe BruxZir for bicuspids. The lab realized it needed to increase the translucency of the material if dentists wanted to prescribe BruxZir in the anterior.
When Glidewell R&D was ready to test the material, I gave them an esthetic challenge we all face: the single-unit central incisor crown adjacent to a natural tooth. This article highlights the clinical steps for placing an anterior BruxZir restoration. For a crown that is 100 percent zirconia with no ceramic facing, I think the lab pretty much nailed it.
embedImagecenter("Imagecenter_1_360",360, "large");
Figure 1
Tooth #9 is going to be prepped for a BruxZir crown. I chose this case because tooth #8 is a natural tooth, tooth #7 is an all-ceramic crown and teeth #10 and #11 are a PFM cantilever bridge. It will be a good test of how this light interacts with the BruxZir crown versus the natural tooth and two restorations.
After anesthetizing the patient with the STA System, I break the proximal contacts just enough to place the first of two retraction cords into the sulcus (Ultrapak Cord #00). Then I use the 801-021 bur to trace around the gingival margin before making my depth cuts: 2 mm at the incisal edge, 1.5 mm at the junction of the incisal and middle thirds and a 1 mm half-circle reduction at the gingival margin.
Depth cuts ensure that we get enough facial reduction to have an esthetically pleasing crown that is the same size as the adjacent natural tooth. This is difficult to achieve.
Figure 2
My depth cuts are now finished, which allows me to fly through the rest of the prep because the gingival is essentially done. The incisal edge takes about 15 seconds, and the facial reduction is marked with a depth cut. I turn my handpiece speed to 5,000 RPM and shut the water off to dial in and smooth the margins.
Figure 3
At this point, the prep is essentially done. After I place the top cord (Ultrapak #2E), I have a final opportunity to get a great look at the prep. Typically, I spend about 45 seconds polishing the prep, especially the gingival margin. Once again, I turn the handpiece down to 5,000 RPM and the water off, using a red-striped fine grit 856-025 bur to give the prep a mirror-like finish.
Figure 4
I place on the prep a ROEKO Comprecap anatomic, which helps keep the retraction cord in place. Slightly wetting the inside before placing it keeps the tooth moist. I ask the patient to bite down for 8–10 minutes. The result is a sulcus that cannot be missed with an intraoral tip. (When your assistant pulls the top cord, look down from the incisal with a mirror to see what I mean.) The impression material flows into the sulcus. This level of detail enables the dental technician to build a proper emergence profile into the restoration.
Figure 5
I try in the BruxZir crown and find the fit to be acceptable. I decide to cement the restoration rather than bond it into place because I have sufficient prep length and it is not over-tapered. I use RelyX Luting Plus Cement because of its natural bond to dentin and simple cleanup. The inside of the crown is coated with Z-Prime Plus from Bisco to enhance the bond of the cement to the zirconia crown. A pinewood stick provides pressure while the cement sets.
Figure 6
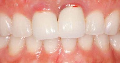
This is the final BruxZir Solid Zirconia crown (tooth #9) on the day of cementation. It probably won’t be mistaken for a natural tooth, but it blends well with the adjacent natural tooth (tooth #8).
When I compare it to the existing crowns in the anterior segment, I think the BruxZir crown looks better.
While I don’t recommend that you jump into prescribing BruxZir for single-unit central incisors, this clinical anterior BruxZir Solid Zirconia crown cases demonstrates that this material is one step closer to being as well-suited for anterior restorations as it is for posterior restorations.
Editorial note: This article was originally published in Dental Tribune U.S., Vol. 6 No. 12, July 2011.
Glidewell Laboratories’ weekly web series “Chairside Live” has given us a great opportunity to communicate with clinicians across the ...
BruxZir Solid Zirconia is a monolithic zirconia restoration with no porcelain overlay. You’ll be impressed by its esthetics when prescribed instead of...
IRVINE, Calif., USA: Glidewell has launched the BruxZir Zirconia Shade Guide, described as the world’s first shade-taking system designed specifically for...
This article illustrates recent advancements by Glidewell Laboratories to improve the esthetic properties of BruxZir Solid Zirconia restorations. As the ...
Fixed hybrid dentures have been used to successfully restore fully edentulous patients for decades. Their durability, however, leaves room for improvement. ...
Single-unit and short-span restorations present clinicians with an excellent opportunity to utilise digital workflows. These high-accuracy appliances ...
Dr. Robert A. Lowe will present a live webinar, “Laser Assisted Crown Lengthening – Gingival and Bony Corrections for Better Restorative Outcomes,” on...
A smile that is perceived as unattractive mars confidence, sociability and self-regard. For some patients, the lack of visual appeal stems in large part ...
“The trend in dentistry today is clearly toward more esthetic and less invasive. Indirect resin and ceramic inlays and onlays are not only compatible ...
Fixed hybrid dentures have been used to successfully restore fully edentulous patients for decades. Their durability, however, leaves room for improvement. ...
Live webinar
Thu. 9 April 2026
1:00 PM EST (New York)
Live webinar
Thu. 9 April 2026
2:00 PM EST (New York)
Prof. Moritz Kebschull, Cat Edney
Live webinar
Fri. 10 April 2026
10:00 AM EST (New York)
Live webinar
Fri. 10 April 2026
11:00 AM EST (New York)
Dr. med. dent. Henrik-Christian Carl Hollay
Live webinar
Fri. 10 April 2026
12:00 PM EST (New York)
Prof. Dr. Ali Murat Kökat
Live webinar
Fri. 10 April 2026
1:00 PM EST (New York)
Dr. medic. stom. Henriette Lerner
Live webinar
Fri. 10 April 2026
2:00 PM EST (New York)
To post a reply please login or register