Anterior open bites present orthodontists with a unique challenge: achieving successful and timely treatment while minimizing patient inconvenience. Depending on the diagnosis, treatment plans often include orthognathic surgery, four bicuspid extractions or TAD-assisted intrusion of posterior teeth.
These modalities can be invasive, inconvenient for the patient and increase the orthodontist's case complexity.
In this case report, I will demonstrate a noninvasive and efficient approach for treating an adult patient with a Class III, crowded, anterior open bite malocclusion. Using the Spark Clear Aligners System, treatment was completed in five appointments over a 7.75-month duration.
Diagnosis
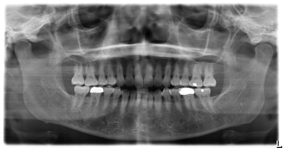
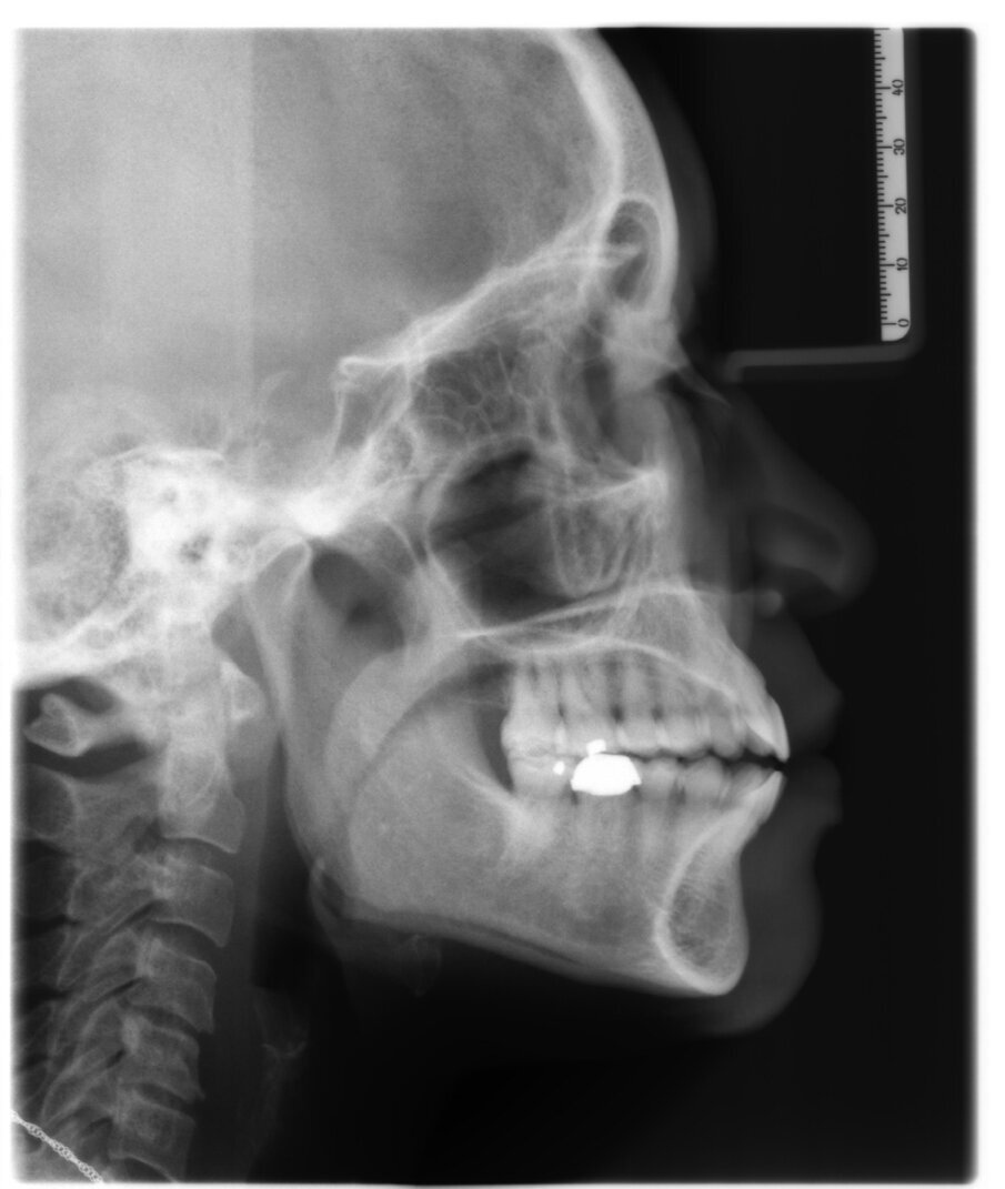
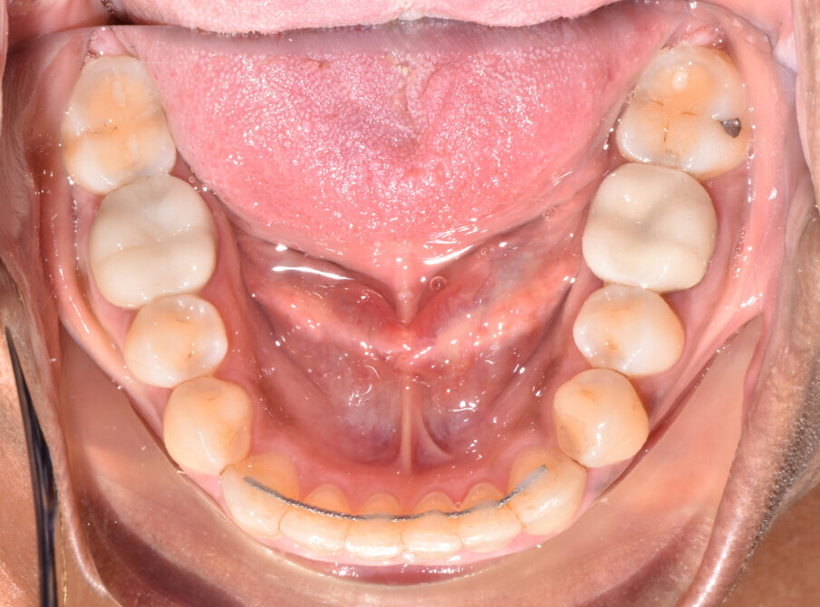
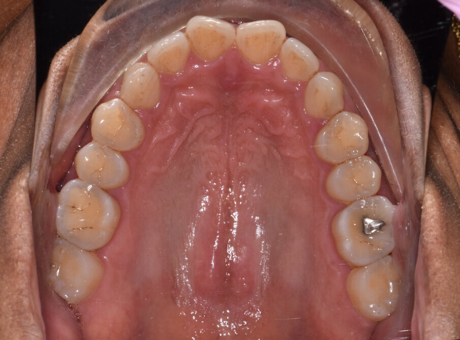
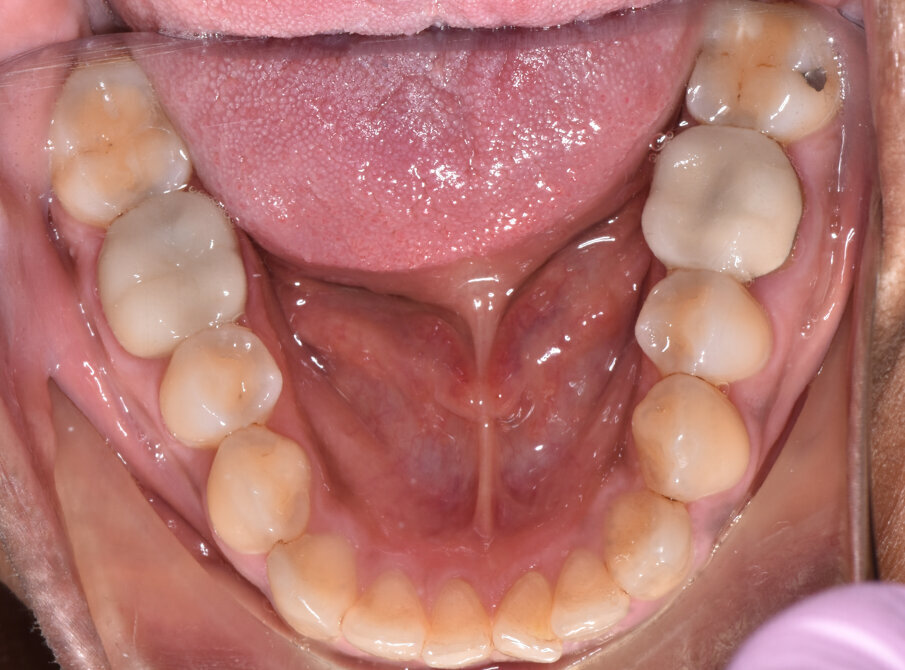
A 56-year-old female patient presented with a Class III malocclusion, anterior crowding and a 2-3 mm anterior open bite. Clinical photographs showed an ideal incisor display upon smiling. The panoramic film was unremarkable, and the lateral cephalometric film revealed a negative 1 mm overjet. (Figs. 1 to 10)
The patient’s chief complaint was the anterior open bite, which she stated caused difficulty in chewing. She expressed unwillingness to wear braces or have TADS placed.
Treatment goals
The treatment plan for this patient involved upper molar intrusion without the use of TADS in order to achieve counterclockwise rotation of the mandible and closure of the anterior open bite. Class III inter-arch elastics were prescribed to establish Class I molar and canine relationships and achieve proper overjet.
Additionally, IPR on the lower incisors was planned to allow retraction, aid in correcting the negative overjet, and provide relative extrusion to assist with the closure of the anterior open bite.
Treatment plan
The patient began treatment on May 26, 2020, and completed treatment on Jan. 14, 2021. The Spark digital treatment plan consisted of 31 aligners. She was instructed to wear the aligners and Class III elastics for a minimum of 22 hours per day and to change aligners every seven days. If gapping was observed, the patient was directed to use the foam chewies at least three times per day for 10 minutes to assist aligner seating.
Ten aligners were given at a time, and the patient was appointed at 10-week intervals. The patient was instructed to schedule a virtual appointment if aligners were not seating or if she had questions or concerns.
The treatment plan was designed using Spark Approver Software on its digital platform. This platform gives doctors greater control from start to finish and more efficient and predictable treatment planning1.
Specifically, the plan prescribed upper arch expansion and bilateral molar and second premolar intrusion of 3 mm. To support intrusion and prevent reciprocal lifting of the aligners, 4 mm wide occlusally beveled retentive attachments were designed and placed on the premolars. (Fig. 11)
Button cut-outs were prescribed on the upper first molars, and elastic hooks on the lower canines to attach 5/16, 4.5-ounce Class III inter-arch elastics. (Fig. 12)
Lower arch expansion and interproximal reduction of 0.5 mm were prescribed on all of the lower incisors from mesial of canine to mesial of canine before the 19th aligner. (Fig. 13) IPR would allow retraction to assist the Class III elastic correction of the negative overjet. Additionally, since counterclockwise autorotation of the mandible would project the lower incisors anteriorly, retraction would also assist in mitigating this effect.
Retraction and uprighting of the lower incisors would also achieve relative extrusion, further assisting in the closure of the anterior open bite. (Figs. 14,15)
Treatment results
The 31-aligner Spark treatment concluded in five appointments over 7.75 months of active treatment without the need for TADS or refinement aligners. The patient’s excellent compliance was an important factor in the results achieved. Post-treatment photographs demonstrate correction of her Class III, crowded, anterior open bite malocclusion. (Figs. 16-23)
Conclusion
The actual tooth movement closely matched the predicted movement of the digital treatment plan. (Fig. 24) The 31 aligners used with no refinements and the 7.75-month treatment duration are significant.
In comparison, a benchmark for the average duration of clear aligner treatment, as reported in a retrospective clinical study by Kravitz et al., is 22.8 months using the leading brand of aligners.2 After studying 500 patients with an average age of 33.6 years, they concluded:
- One in every six patients needed to switch from the leading aligner brand to braces to finish treatment.
- Treatment with the leading aligner brand required an average of 2.5 refinements.
- Only 6 percent of the patients studied completed their treatment with the leading aligner brand without a refinement.
- The average total number of aligners required was 64.1.
The treatment efficiency observed with the Spark Clear Aligners system appears to be related to the performance of the TruGen1 aligner material. Data from Ormco1 shows that TruGEN possesses greater sustained force retention than the leading aligner brand. Furthermore, the Ormco data shows that the 80 percent greater printing resolution of Spark TruGEN material provides a 19 percent improvement in the surface area contact between the aligner and the teeth compared to the leading brand. Greater contact can lead to fewer refinements and a more predictable outcome.
The results presented in this case report demonstrate the potential for noninvasive, efficient, precision treatment with Spark Clear Aligners. Since treating this case, Spark has designed integrated occlusal intrusion turbos to enhance intrusion efficiency. (Fig. 25) These intrusion turbos, along with biting exercises, have the potential to further reduce the number of aligners required for treatment.
The Spark Clear Aligners system is one of Ormco’s best-in-class solutions for providing orthodontists with clinical freedom and workflow efficiency. Furthermore, the proprietary Spark digital platform can also be used for indirect bonding set-up and fabrication for fixed appliances when hybrid treatment is required for complex or non-compliant cases. This flexibility provides clinicians with added confidence in treatment outcomes.
Non-invasive treatment with shorter durations appeals to prospective patients who seek practices that consistently provide this type of orthodontic care. My patient was pleased with her final results.
References
- Data on File with Ormco Corporation.
- Kravitz, N.D.; Dalloul, B.; Zaid, Y.A.; Shah, C.; Vaid, N.R.: What percentage of patients switch from Invisalign to braces? A retrospective study evaluating the conversion rate, number of refinement scans, and length of treatment, Am J Orthod Dentofacial Orthop 2023;163: 526-530.
Editorial note:
Dr. Tom Barron has a private orthodontic practice in Timonium, Md. He received a DMD from Tufts School of Dental Medicine and completed orthodontic specialty training and a master of science degree in oral biology at the University of Maryland Dental School. He is a member of the Dean’s Faculty in the Department of Orthodontics at the University of Maryland and is a paid consultant and speaker for the Ormco Corp. of Brea, Calif.
Topics:
Tags:
Delivery of dental care falls into two categories: single provider care (uni-disciplinary) and collaborative care. The structure of a practice—that is, ...
Ormco Corp., a leading provider of innovative orthodontic solutions for more than 60 years, is excited to announce the official launch of Spark Retainers ...
Ormco Corp., a global leader in orthodontic solutions for more than 60 years, is thrilled to announce the modernization of the commonplace adhesive and ...
Live webinar
Sun. 3 May 2026
12:00 PM EST (New York)
Dr. Rickard Brånemark MSc, MD, PhD, Dr. Robert Gottlander DDS
Live webinar
Sun. 3 May 2026
8:00 PM EST (New York)
Live webinar
Tue. 5 May 2026
10:00 AM EST (New York)
Live webinar
Tue. 5 May 2026
12:00 PM EST (New York)
Live webinar
Tue. 5 May 2026
1:00 PM EST (New York)
Dr. Maximilian Dobbertin M.Sc
Live webinar
Tue. 5 May 2026
3:00 PM EST (New York)
Live webinar
Wed. 6 May 2026
1:00 PM EST (New York)
To post a reply please login or register