One of the major goals orthodontists try to achieve with every patient is to obtain ideal angulations and positions of all teeth at the end of active treatment. In order to accomplish this, two-dimensional (2-D) panoramic radiographs have conventionally been used to visualize both the maxillary and mandibular arches as well as root angulations.
However, because of inherent flaws in panoramic imaging, three-dimensional cone-beam computed tomography (CBCT) has been recommended to provide a more accurate and less distorted image of the dentition.
Literature review
Orthodontics is a specialty of dentistry that is concerned with the study and treatment of malocclusions, which may be a result of tooth position irregularity, disproportionate jaw relationships or both. The specialty of orthodontics has continued to evolve since its advent in the early 20th century. In the 1890s, Dr. Edward H. Angle, regarded as the “Father of Modern Orthodontics,” published his classification of malocclusion based on the occlusal relationships of the first molars (Angle, 1899).
embedImagecenter("Imagecenter_1_861",861, "large");
This was a major step toward the development of orthodontics because his classification defined “normal occlusion.” He believed that if all of the teeth were properly aligned, then no deviation from an ideal occlusion would exist (Angle). His theories suggested that achieving the correct tooth position within the dental arch was critical for ideal angulation, occlusion and esthetics. With the advent of modern imaging technology and improved software in the field of orthodontics, Angle’s principles of proper alignment and positioning have become easier to apply.
Although there have been constant changes in diagnosis, treatment philosophy, mechanics and appliances, core orthodontic treatment principles have generally remained the same over time. The main treatment objectives of orthodontics include obtaining (a) proper esthetics and alignment, (b) ideal functional occlusion and (c) long-term stability. In order to achieve these goals, it is critical to have ideal angulations of all teeth in all three planes of space at the end of active treatment (Andrews, 1972). Proper mesiodistal angulations (tip) are necessary for distributing occlusal forces through tight interproximal contacts and are an important factor in maintaining a stable treatment result (McKee et al., 2001; McKee et al., 2002).
For decades, the norm in orthodontic imaging has been using 2-D panoramic radiographs to visualize the entire tooth including the root to judge the angulation of teeth.
Most orthodontists use panoramic radiographs at the start, in the middle and at the end of treatment in order to judge root parallelism to reposition brackets if necessary. This imaging technique produces a single tomographic image of the facial structures that includes both the maxillary and mandibular dental arches as well as their supporting structures.
The principal advantages of panoramic radiography are the (a) broad anatomic areas, (b) relatively low patient radiation, (c) convenience, (d) ease and (e) speed of the procedure (Sakai, 2011). Additionally, panoramic radiography is recommended by the American Board of Orthodontists to assess root angulation and parallelism as a part of the objective grading system for an orthodontist to become board certified.
However, the use of panoramic radiographs to check mesiodistal tooth angulation is fundamentally flawed primarily due to dimensional and angular distortions as a result of image layer (focal trough) discrepancy. Investigators have also attributed the inaccuracy of panoramic images to projection geometry, variable vertical and horizontal magnification factors and patient positioning errors (Bouwens, Cevidanes, Ludlow and Phillips, 2011). Part of the reason why traditional panoramic radiographs are inaccurate in capturing the angulations of teeth may be attributed to the in-orthogonal nature of the X-ray beams as the X -ray tube and the sensor move around the target, as well as the large variations in the size and shape of the dental arches (Sakai, 2011).
To overcome these problems, panoramic-like images constructed from 3-D CBCT volumetric images have been recommended. Three-dimensional CBCT images have been shown to capture the target at a 1:1 ratio with very little dimensional and angular distortions and the trough used to generate the panoramic-like images can be customized to closely follow the dental arch size and shape (Sakai, 2011).
Research has also shown that linear and angular dimensions are more accurate using a CBCT-derived panoramic radiograph compared to traditional panoramic radiographs (Hutchinson, 2005).
The introduction of CBCT specifically dedicated to imaging the maxillofacial region heralds a true paradigm shift from a 2-D to a 3-D approach in data acquisition and image reconstruction. Utilizing this new technology, orthodontists can now visualize the dentition in all three planes of space. CBCT has opened up a new horizon for 3-D diagnosis and treatment planning in dentistry, particularly in orthodontics where shape, form, structure and position are of critical importance.
Purpose
The short-term goal of this research was to prove that using CBCT is a valid method in orthodontic treatment planning and can aid in the visualization and proper alignment of roots within the dental arch. With these 3-D images, it is finally possible to see how far root apices have moved during treatment. Additionally, placing the root in the right position will facilitate and maximize tooth stability and retention resulting in better treatment outcomes.
Although there have been many studies describing the distortions in 2-D panoramic images, there has not been a study that has looked at a trend in the distortions and compared it to an ideal coordinate system such as a 3-D CBCT. An orthodontic research study was carried out at the Herman Ostrow School of Dentistry of University of Southern California (USC) from February 2012 to January 2013 to investigate this subject matter. The objective was to determine if there are differences in tooth mesiodistal angulation measurements between 2-D panoramic-like images (constructed from CBCT scans) versus measurements obtained directly from 3-D CBCT
volumetric images.
Materials and methods
The study was conducted under chief investigator Dr. Hongsheng Tong along with a team of residents and a pre-doctoral student at the Graduate Orthodontic Department of USC.
The research design aimed at recording mesiodistal angulation measurements for both the 2-D panoramic-like images as well as the 3-D CBCT scans using Dolphin imaging software. The patients of this research were a subset (59 patients) from another related USC orthodontic imaging study, which was designed to obtain the standard tip and torque values for each tooth from 76 patients with near normal occlusions. Three-dimensional images were generated with a NewTom 3G volumetric scanner at the Redmond Imaging Center at USC. Images were rendered using Dolphin 3D and tip and torque were measured with a custom USC Root Vector Analysis program (Tong et al., 2012). The 3-D measurements data were made available for the current study.
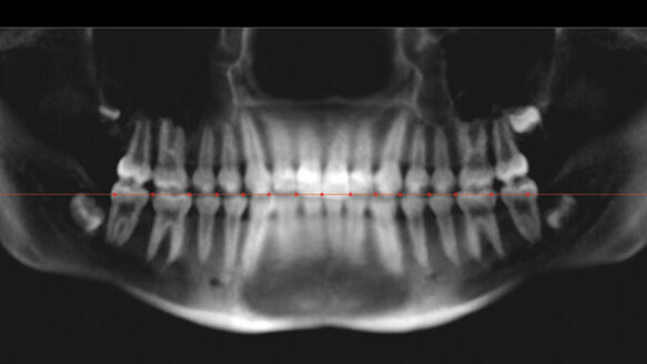
For the construction of 2-D images, the head orientation was set to the same orientation that was used in the 3-D coordinate system with the sagittal plane equally dividing left and right, coronal plane at the maxillary molar buccal grooves and the transverse plane set at the functional occlusal plane bisecting the anterior overbite and the posterior (maxillary first molar) overbite. Two different panoramic-like images, one for the maxilla and one for the mandible were constructed for each patient (Fig. 1). The long axis was drawn through each tooth and the angle was measured against the occlusal plane using a three-point line angle tool within the Dolphin software (Fig. 2).
All 59 cases were measured twice (one week apart) by the same investigator and an intra-class correlation coefficient (ICC) was calculated to check for reproducibility of the data.
The averages of the two-time 2-D measurements were compared with the average of the two-time 3-D measurements available from the previous study (Tong et al. 2012). All data were entered into a spreadsheet and analyzed using Microsoft Excel and Statistical Package for Social Sciences (SPSS).
The data were tested for normality using the Kolmogorov-Smirnov-test. To compare the 2-D and 3-D measurements, paired t-tests were performed for normal data and Wilcoxon Signed Rank tests were performed for non-normal data. Significance was established at p< 0.05/7=0.0071 based on the Bonferroni adjustment.
Results
For the nine cases used for calibration, the average ICC for the two-time measurements for all the teeth was 0.939, indicating reproducibility in measurements obtained in two different trials by the same investigator. Paired-t test revealed significant differences in 17 of 28 teeth between measurements from 2-D constructed panoramic-like images and 3-D images as evidenced by Table 1.
Discussion
Although it was hypothesized that there would be no differences between constructed 2-D and direct 3-D mesiodistal measurements for each tooth, statistically significant differences were found in approximately 60 percent of the teeth. This indicates that the panoramic X-rays derived from CBCT scans currently may not be the optimal choice of imaging for obtaining precise mesiodistal tooth angulations.
Two-dimensional constructed panoramic images have been shown to have less distortion compared to 2-D conventional panoramic radiographs (McKee, 2002). However, the accuracy of the constructed images may be compromised due to one or more of the following reasons: (a) the position of the tooth in the dental arch (curved or straight), (b) 3-D torque, (c) 3-D tip, (d) tooth size, (e) center trough location and other variables (Sakai, 2011). With the increasing body of evidence showing distortion on 2-D radiographs with no clear trend in those differences, more studies are likely to arise to determine if the distortions can be quantified.
Measuring mesiodistal angulation directly from 3-D volumetric images, although probably the most accurate method so far, may suffer from a number of limitations: (a) the resolution and image quality of CBCT scans, (b) subjective nature of identifying the long axes of teeth and (c) time and effort involved in digitizing center points for each root and crown in 3-D images.
An alternative to the method used for digitizing each tooth would be to define the tooth long axis mathematically, allowing the software to find the crown and root centers automatically and objectively. Once the digitizations are made, the tooth-specific coordinate system for measuring individual tooth tip and torque would be done mathematically and the errors kept to a minimum. This would require very complicated algorithms but may be a possibility in the future.
In a clinical setting, there are also a couple of drawbacks to the use of CBCT imaging, one being the high cost of owning the unit (approximately $100,000-$200,000) and the other being the elevated dose of patient radiation exposure. The effective radiation dosage is 3-11 uSv for panoramic radiographs and 5-7 uSv for cephalograms. For a CBCT scan, the radiation dosage can be 40-135 uSv (Sakai, 2011). Therefore, the selection of CBCT for dental and maxillofacial imaging should be based on professional judgment of patient needs for diagnosis and treatment.
This must be in accordance with the best available scientific evidence, weighing potential patient benefits against the risks associated with the level of radiation dose.
Overall, this study on panoramic X-rays and CBCT is still ongoing and will require further investigation in order to achieve definitive results. This is in part due to the need for multiple trials and sample sizes in order to confirm trends and discrepancies in the data. The results of this study should be interpreted with the knowledge that they may only be relevant to the patients selected in this specific sample group and caution should be used when applying it to all orthodontic patients.
The current study used a small sample size of patients with near-normal occlusion and provided a foundation but continued data collection and interpretation is necessary to reach conclusive evidence with regards to panoramic imaging versus CBCT in the field of orthodontics.
Conclusion
This study demonstrated that 2-D mesiodistal angulation measurements from the constructed panoramic-like images may not be as accurate as direct measurements from 3-D volumetric images derived from the USC Root Vector Analysis Program inside Dolphin 3D software.
Presently, the most accurate method available to orthodontists clinically may be using direct 3-D CBCT data to find the appropriate mesiodistal angulations of the teeth. According to Tong, CBCT may eventually replace panoramic radiographs in orthodontic diagnosis and treatment planning because of its ability to provide detail and precise 3-D information without distortion (H. Tong, personal communication, January 11, 2013). Having different views in one scan, such as frontal, right and left lateral, 45-degree views and sub-mental, also adds to the many advantages of CBCT. Coupled with advanced imaging programs that allow for digital models, CBCT not only can provide a great diagnostic tool but also can eliminate the need for taking impressions and fabricating stone models in the near future.
The visualization of all roots and crowns in ideal occlusion in addition to the maxillofacial complex also has implications in other areas of dentistry such as implantology, oral surgery and restorative dentistry. For example, CBCT is largely used in orthognathic surgery planning, the assessment of impacted teeth and visualization of supernumerary teeth. (Alshehri, Alamri and Alshalhoob, 2010).
With increased demand for replacing missing teeth with dental implants, accurate measurements are needed to avoid damage to vital structures. This can be achieved with conventional CT scans, but with CBCT providing more accurate images at lower dosages, it is the preferred option in implant dentistry today (Alshehri, et al., 2010).
Further studies on this topic will help to determine if similar results can be obtained when different variables are introduced into the study such as patients with non-normal occlusion, patients that have undergone extraction treatment, and patients with conventional panoramic radiographs (Sakai, 2011).
Ultimately, the goal of future research is to use modern imaging technology to establish norms in measurements of both mesiodistal angulation (tip) and buccolingual inclination (torque) so that orthodontists have an ideal guide that can be used for accurate diagnosis and treatment planning.
The accuracy of a CBCT volume is limited only by resolution and/or pixel size (Sakai, 2011). However, as the resolution of images are improved by (a) emerging technology, (b) new data processing software and (c) avoidance of patient movement during scanning, more precise results will arise. This could lead to improved, exact and realistic visions of virtual three dimensions for records, treatment planning and treatment outcome evaluation in orthodontics.
Note: This article was published in Ortho Tribune U.S. Edition, Vol. 8 No. 2, AAO Preview 2013 issue. A complete list of references is available from the publisher.
PHOENIX, US: As more practices bring 3D printing in-house, understanding how technical settings affect both accuracy and turnaround time is becoming a ...
NEW YORK, N.Y., USA: Preoperative planning and positioning are essential steps to avoid complications for the dental implant patients, such as damage to the...
MIAMI, FL, USA: The principal oral care researcher worldwide for Procter&Gamble, Dr Robert Gerlach, gave a conference at the IADR 87th Session in Miami ...
Bluestone Center for Clinical Research at the New York University College of Dentistry recently released the results of several projects that evaluated the ...
WESTCHESTER, IL, USA: According to new research that received the Graduate Student Research Award at the 19th Annual Meeting of the American Academy of ...
Success of a dental implant can be affected by the width of the alveolar ridge — an indication of the amount of bone available to hold the implant. A ...
By far the most frequently asked question in every orthodontic office is, “When are my braces coming off?” In the fast-paced, busy lives of ...
According to Vident, the VITA Easyshade Compact, the second generation of the VITA Easyshade device, delivers instant, accurate shades in both VITA ...
With his high-definition photography of complex root canal systems, Dr. Craig Barrington, who practices dentistry in Waxahachie, Texas, is developing quite ...
A hallmark of the most successful modern clinicians is the ability to strike a balance between a daily load of 12 to 16 patients and maintaining the same ...
Live webinar
Thu. 14 May 2026
12:00 PM EST (New York)
Live webinar
Thu. 14 May 2026
2:00 PM EST (New York)
Prof. Hani Ounsi DDS PhD FICD
Live webinar
Tue. 19 May 2026
11:00 AM EST (New York)
Live webinar
Tue. 19 May 2026
1:00 PM EST (New York)
Prof. Dr. med. dent. Ivo Krejci
Live webinar
Wed. 20 May 2026
7:00 AM EST (New York)
Dr. Graham Carmichael BDSc (Hons), DClinDent (Pros), FRACDS, Dr. Robert Gottlander DDS
Live webinar
Wed. 20 May 2026
9:00 AM EST (New York)
Live webinar
Wed. 20 May 2026
1:00 PM EST (New York)
Prof. Dr. med. dent. Tim Joda PhD, MSc, eMBA
To post a reply please login or register