Search Dental Tribune

Fig. 1: Panoramic radiograph of the initial situation. (All images: Dr Johnny Onori)

Thu. 30 November 2023

save

The aetiology of external cervical root resorption remains unclear, and it is probably a multifactorial problem, causing dentine exposure to the oral cavity in more than 10% of natural teeth and resulting in destruction of the tooth structure by osteoclastic cells. This article presents a clinical case treated with intentional surgical extrusion and periapical surgery for the preservation of a previously treated tooth with periapical periodontitis and Class III external cervical root resorption.

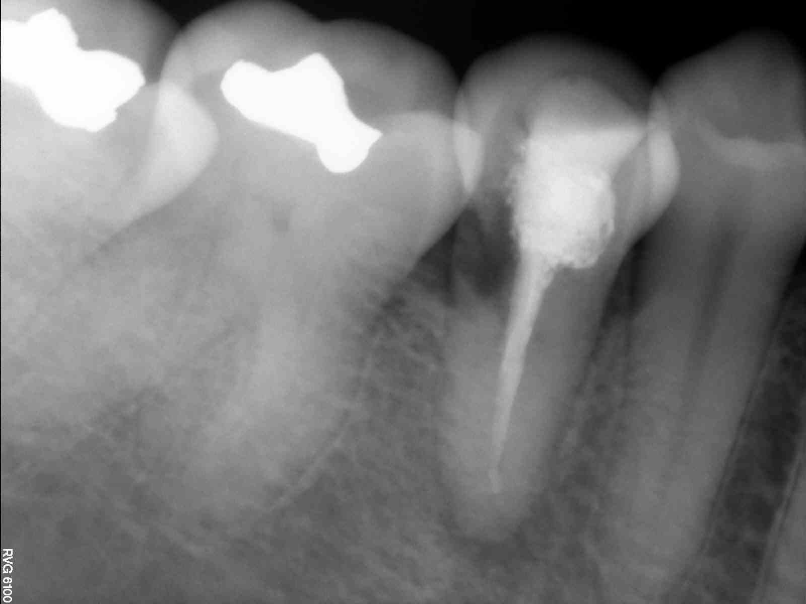
Fig. 2: Periapical radiograph of the initial situation.

Fig. 2: Periapical radiograph of the initial situation.

A 38-year-old woman presented to the dental practice complaining of discomfort in the area of tooth #45. Her symptoms worsened with chewing. The patient’s clinical history was not contributory. She reported that root canal therapy had been performed on tooth #45 owing to caries and that she had undergone orthodontic treatment seven years earlier. The clinical tests found pain on percussion and a distal probing pocket depth of more than 3 mm.

The radiographic examination showed periapical radiolucency and a radiolucent lesion in the cervical area of the tooth (Figs. 1 & 2). To determine the extent and depth of the lesion, a CBCT scan was performed (Fig. 3). Based on the CBCT images and 3D reconstructions, a diagnosis of Heithersay Class III external cervical invasive root resorption (ECIR) was determined in an endodontically treated tooth with symptomatic periapical periodontitis. The patient was informed of the diagnosis, treatment plan alternatives and prognosis of the case.

Figs. 3a–d: 3D reconstruction of axial section showing extension in mesial-distal direction (a). 3D reconstruction of a sagittal section showing the lesion extension, buccal-palatal direction (b). Coronal section of CBCT showing the extension of the periapical lesion and the resorptive defect (c). CBCT scan (d).

Figs. 3a–d: 3D reconstruction of axial section showing extension in mesial-distal direction (a). 3D reconstruction of a sagittal section showing the lesion extension, buccal-palatal direction (b). Coronal section of CBCT showing the extension of the periapical lesion and the resorptive defect (c). CBCT scan (d).

ECIR is a form of external cervical root resorption and still presents an enigma for endodontists regarding its nature and causes. In this case, it may have been due to the forces generated by orthodontic treatment or by previous periodontal treatment, as tooth #45 had been previously diagnosed with symptomatic chronic periapical periodontitis.

The resorption defect caused by ECIR is treated, as proposed by Heithersay, using a new treatment alternative, such as intentional surgical extrusion and periapical surgery.1 Heithersay categorised ECIR into four clinical types. In Class I and II, the treatment usually has a success rate of 100%, but the treatment success rate drops to 77% in Class III and to only 12% in Class IV. The more advanced the resorption is, the worse the prognosis is and the treatment much more complex.1

CBCT is a useful tool in endodontics, being used to assess the extent of an external cervical resorption defect, to detect and classify periapical periodontitis and to assess anatomical references with greater accuracy. Various studies have proved that CBCT is very helpful in diagnosis of this type of resorption.2–4 In the clinical case presented, an apical lesion and ECIR were observed, and CBCT was used to observe the size of the periapical lesion and the size and location of the resorption defect at the three spatial levels.

Various factors are involved in the healing of periapical periodontitis after performing periapical surgery, such as the depth of the apical retro-preparation, which must be a minimum of 3 mm, and the material chosen for the retro-filling and the follow-up time. Further CBCT scans were necessary in this case to confirm complete healing of the lesion.

Intentional surgical extrusion was attempted in the same minimally invasive surgical treatment.5, 6 The granulation tissue of the resorption defect was removed, and the area was sealed with 90% trichloracetic acid and filled with a dual-polymerising nano-hybrid hydrophilic resin ionomer cement (Geristore, DenMat; Fig. 4).

Fig. 4a: Surgical extrusion and sealing of the resorption. Trichloracetic acid was applied with a cotton pellet in order to remove all the resorptive tissue.

Fig. 4a: Surgical extrusion and sealing of the resorption. Trichloracetic acid was applied with a cotton pellet in order to remove all the resorptive tissue.

Fig. 4b: Finally, the cavity was filled with Geristore (DenMat).

Fig. 4b: Finally, the cavity was filled with Geristore (DenMat).

Figs. 5a–d: Apical surgery. Retro-preparation with ultrasonic tips (a & b) and retro-obturation with CeraPutty (Meta Biomed; c & d).

Figs. 5a–d: Apical surgery. Retro-preparation with ultrasonic tips (a & b) and retro-obturation with CeraPutty (Meta Biomed; c & d).

Fig. 5b

Fig. 5b

Fig. 5c

Fig. 5c

Fig. 5d

Fig. 5d

Apical surgery was then performed to 3 mm using ultrasonic tips of the EndoSuccess apical surgery kit (ACTEON). Retro-obturation was done with a mineral trioxide aggregate cement (CeraPutty, Meta Biomed), and the tooth was repositioned within the alveolus, splinting it with semi-flexible braided wire for four weeks (Fig. 5).7, 8

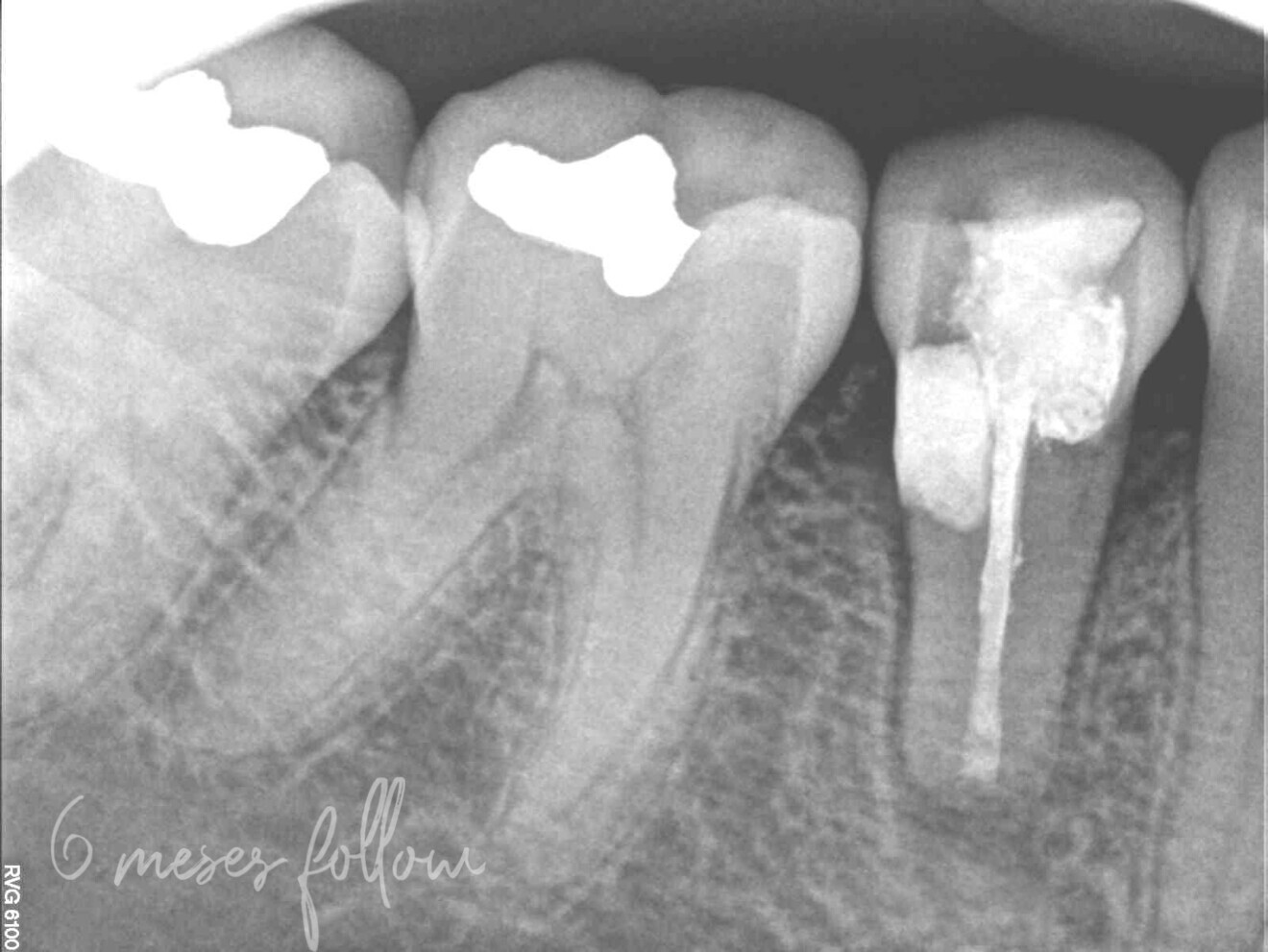
After six months, another CBCT scan was performed to evaluate healing. Almost complete resolution of the periapical lesion was observed (Fig. 6). The intra-oral situation also looked good, and there were no signs of apical pathosis on the periapical radiograph, which also showed almost complete healing (Fig. 7). The tooth remained asymptomatic.

Fig. 6: Sagittal section of the CBCT scan six months after treatment showing almost complete healing of the periapical lesion.

Fig. 6: Sagittal section of the CBCT scan six months after treatment showing almost complete healing of the periapical lesion.

Fig. 7: The periapical radiograph at six months showed almost complete healing and no signs of apical pathosis.

Fig. 7: The periapical radiograph at six months showed almost complete healing and no signs of apical pathosis.

Patient’s perspective

At the time of diagnosis, the patient was concerned about the possible loss of the remaining tooth structure. The steps to be followed during treatment were explained clearly to her, but ultimately success depended on the biology of the tooth and its stem cells to be able to preserve and maintain the natural tooth so that we could meet the patient’s expectation and wish to retain her natural tooth rather than have an implant placed.

It was explained to her that, although we have achieved a high success rate for intentional reimplantation of around 90% and a success rate of around 80% for apical surgeries, these are treatments in which we depend on the stem cells of the periodontal ligament and on the material used and its bioactive properties.

Conclusion

The material used to seal the cavity caused by resorption remains controversial. In terms of biocompatibility with gingival tissue and biological properties the use of materials such as root repair material CeraPutty and Geristore ionomer hydrophilic nanohybrid resin, shows that they are valid materials and give good outcomes. Geristore has the ability to form a long junctional epithelium. In addition, the roughness of the surface of Geristore ionomer resin does not seem to favour plaque retention like others. Thus, performed in a controlled manner, intentional surgical extrusion in combination with periapical surgery increases the success rate of treatment and proves to be a valid clinical alternative in order to maintain previously endodontically treated anterior teeth with associated periapical findings that may be compromised by cervical resorption.

Editorial note:

This article was published in roots – international magazine of endodontics vol. 19issue 1/2023. A list of references can be found here.

Tags:
To post a reply please login or register
advertisement
advertisement