As an endodontist, I was trained to get to the root of the problem. While this is literally my job and my passion, in the past it has also been a source of frustration. Conventional 2-D images did not provide enough data to make scientific decisions regarding diagnosis and treatment planning.
With some 2-D images, rather than diagnosing, it felt like I was just guessing. My recent investment in a 3-D medium field-of-view cone-beam scanner (Gendex GXCB-500) has changed my frustration into realization and enabled me to become a more conscientious practitioner.
An endodontic diagnosis depends upon many factors, such as the experience of the clinician, anatomical limitations such as thickness of the cortical bone, positioning of the apical abscess to the cortical bone, zygomatic bone and sinus and proximity of neighboring teeth. With 2-D X-rays, often these structures are superimposed on one surface.
Research in the endodontic field indicates that CBCT showed significantly more lesions (34 percent) than periapical radiography. In some infection cases, general dentists often delayed treatment due to lack of supporting evidence on a 2-D X-ray. With 3-D views, we can make an immediate scientific decision. For example, many endodontic patients who suffer from chronic sinusitis find that the ideology is really related to the teeth. Sadly, many have already given up on treating the problem and have learned to live with their post-nasal drip forever.
After implementing the cone-beam system, not a day passes when I take a scan that I don’t find other, less obvious contributing factors. I find canals that were left untreated by previous practitioners; complicated canal systems and unusual anatomy; and other teeth or structures that need immediate attention outside of the field of interest.
Deciding whether resorption cases are interior or exterior sometimes became a guessing game that took several X-rays to determine if the damage was even repairable.
With software, such as Anatomage’s Invivo5, it is much easier to establish if a tooth is cracked. The ability to colorize in this software makes detecting the crack, although still tricky, much easier. In trauma cases or root fractures, the 3-D scan clearly shows displacement or a bony fracture. In the case of calcified canals, I can acquire a mid treatment image with the CBCT and define the exact direction of the canal.
After diagnosis, all of the scientific evidence is vital for surgical confidence. Now, I feel more assured about my patients’ safety. With the guesswork involved with 2-D X-rays, I endured the uncertainty of not knowing the proximity of anatomical structures. In the case of separated instruments, I can locate the exact position of the instrument for a less stressful surgery.
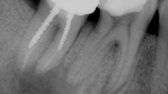
Cone-beam radiography helps me to avoid potential unwelcomed surprises during surgery. For example, one patient came to me with persistent swelling. While the post-op 2-D PA image showed healing (Figs. 1a and 1b), the cone-beam scan showed an area of very large infection extending to the inferior alveolar nerve with extensive cortical bone destruction (Fig. 2). This was vital pre-surgical information.
With another patient who was suffering from intense pain from a tooth that was heavily restored with a very large periapical rarification, I decided to do an apicoectomy to provide immediate relief. On a 2-D X-ray, all appeared to be simple (Fig. 3); however, because the problem was on a posterior tooth, I decided for safety sake to acquire a CBCT scan.
The 3-D view showed that the infection was so far in lingually (Fig. 4) that a very thick layer of cortical bone had to be removed, and the positioning of the inferior alveolar nerve was so coronal that paresthesia could also have resulted in this case.
Because of the scientific data gathered from the cone beam, I have begun to get referrals from forward-thinking colleagues. I put scans on CD and print out reports, so they, too, can have as much information as they need to provide the best care for their patients.
My scientific mind doesn’t like to make guesses, even educated ones. Cone beam gives me the facts, so that I can accomplish my ultimate goal — getting to the root of the matter, not by trial and error, but by using science and facts.
embedImagecenter("Imagecenter146",146);
About the author
Dr Harout Barsemian attended the University of Montreal for his dental degree and obtained his endodontic training at the University of Medicine and Dentistry of New Jersey. He has lectured and was a part time instructor at the University of Pennsylvania-Department of Endodontics and is on the teaching staff of Morristown Memorial Hospital Dental Clinic. Barsemian is in private practice in Morristown and Westfield, N.J.
BUFFALO, N.Y., USA: Researchers at the University at Buffalo have received a $239,000 grant from the National Institute of Dental and Craniofacial Research ...
CHICAGO, USA: 3-D has gone ‘high def,’ thanks to Gendex’s recent launch of the GXCB-500 HD. “Our GXCB-500 HD is the newest ...
Tooth bleaching now plays a central role in esthetic demands at the dental practice. Yet its progression often remains difficult to predict and its ...
Studies on learning have shown that visual images provide 80 to 90 per cent of the information that the brain receives. So it makes sense that in the dental...
For nearly 100 years, dentists have relied on 2-D radiographic imaging for diagnosis and treatment planning. With the 1999 introduction of cone-beam ...
Imagine walking down a dark pathway at night. You turn on a flashlight and suddenly you are alerted to things you couldn’t see before that could trip you ...
Once only a solution for the rich and famous, dental implants have become a popular option for people across all economic categories. Along with the ...
CHARLOTTE, N.C., US: With a heritage of more than 150 years in dentistry, Dentsply Sirona is highlighting trust as a central theme in its endodontic ...
Intraoral tomosynthesis is now available to dentists nationwide. The PORTRAY System is the first stationary intraoral tomosynthesis X-ray imaging device to ...
DENVER, Colo., USA: The Sixth International Congress on 3D Dental Imaging will be held Oct. 25-27 at the Inverness Hotel & Conference Center. The theme ...
Live webinar
Thu. 14 May 2026
12:00 PM EST (New York)
Live webinar
Thu. 14 May 2026
2:00 PM EST (New York)
Prof. Hani Ounsi DDS PhD FICD
Live webinar
Tue. 19 May 2026
11:00 AM EST (New York)
Live webinar
Tue. 19 May 2026
1:00 PM EST (New York)
Prof. Dr. med. dent. Ivo Krejci
Live webinar
Wed. 20 May 2026
7:00 AM EST (New York)
Dr. Graham Carmichael BDSc (Hons), DClinDent (Pros), FRACDS, Dr. Robert Gottlander DDS
Live webinar
Wed. 20 May 2026
9:00 AM EST (New York)
Live webinar
Wed. 20 May 2026
1:00 PM EST (New York)
Prof. Dr. med. dent. Tim Joda PhD, MSc, eMBA
To post a reply please login or register