Search Dental Tribune

Dental News

Dean of new US dental school resigns over expenses charges

NEW YORK, N.Y., USA: Students and staff of America’s newest dental school at the East Carolina University have been shocked by the sudden resignation ...

save

Dentists, pharmacists raise awareness of medication-induced dry mouth

CHICAGO, IL, USA: Leading dental and pharmacy organizations are teaming up to promote oral health and raise public awareness of dry mouth, a side effect ...

save

Oral bacteria attack children early

Champaign, Ill. & Lubbock, Texas, USA: U.S. researchers have found evidence of bacteria associated with early childhood caries in the saliva of infants ...

save

Bioengineers 'floss' bad gas from animal waste

COLLEGE STATION, Texas, USA: A material used in the production of dental floss has shown the potential to capture a large amount of hazardous gases before ...

save

Mydent’s new Nitrile gloves

Fri. 12. August 2011

Mydent International has released its latest addition to their glove line: DEFEND Powder-Free Textured Nitrile Exam Gloves (LITE). These latex free gloves are highly puncture resistant and are ...

save
advertisement

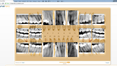
Curve Dental’s new Web-based digital imaging technology poised to change how dentists capture, store and access patient information

Curve Dental, developers of Web-based dental software, announced the completion of new digital imaging features, which allow doctors and staff to capture ...

save

Chinese and Indian markets for CAD/CAM systems to see double-digit growth through 2017

In 2010, the Chinese and Indian markets for dental prosthetics, which included crowns, bridges and dentures, were valued at over $652 million. The global ...

save

Does a dental practice need an employee handbook?

For a practicing dentist who aims to always deliver high-quality patient care, staff retention is an important value. Staff retention aids the dental ...

save

Scientists unlock secrets of enamel formation

PITTSBURGH & ANN HARBOR, Mich./CAMBRIDGE, Mass., USA: Enamel is known to be one of the hardest tissues in the human body. Researchers from the Forsyth ...

save

PreXion 3D Viewer

Wed. 10. August 2011

{{REQUEST}} Key Features of PreXion 3D Viewer - Realtime 3D Imaging
   After a short processing time, images are displayed in a real-time Volume Rendering mode. VolumePro rendering technology ...

save

Gift will fund children’s dental clinic at University of Minnesota

EAGAN, MN, USA: Delta Dental of Minnesota Trust recently announced a gift of $3.5 million to the University of Minnesota School of Dentistry to fund the ...

save
advertisement

gIDE offers hands-on implants and grafting training

Tue. 9. August 2011

Hands-On Training in Los Angeles: Implants and Grafting with Dr. Sascha A. Jovanovic October 25-28, 2011 Learn the latest implant techniques for successful soft tissue management, extraction site ...

save

Pro-fix Precision Fixation System simplifies membrane fixation for increasing number of surgeons

Tue. 9. August 2011

LUBBOCK, Texas — The Pro-fix™ Precision Fixation System, introduced by Osteogenics Biomedical last fall, is significantly increasing in popularity due to the product’s features that ...

save

‘New’ Pro-form Tie Dye Mouthguards

Tue. 9. August 2011

Pro-form has added some new Tie Dye designs to its extensive line 
of laminated mouthguards. They are all made using the same
 laminating procedure to insure the same Pro-form quality.
 Also ...

save

AGD announces 2011 Fellows and Masters

CHICAGO, IL, USA: The Academy of General Dentistry (AGD) recently announced that 435 dentists have earned the AGD’s Fellowship and Mastership awards, ...

save
advertisement

U.S. military closes another dental tech deal with Harris Corporation

MELBOURNE, Fla., USA/Washington, D.C., USA: The Harris Corporation in Melbourne, Florida, has been awarded a one-year recompete contract by the U.S. Army ...

save

Analysts maintain estimates for dental corps despite market crisis

NEW YORK, N.Y., USA/LEIPZIG, Germany: Uncertainty in worldwide stock markets has taken its toll on the dental industry as shares of many manufacturers ...

save

Analysts maintain estimates for dental corps despite market crisis

NEW YORK, N.Y., USA: Uncertainty in worldwide stock markets has taken its toll on the dental industry as shares of most manufacturers have plunged up ...

save

Office manager: A real position or merely a title?

It’s interesting how people tend to evolve into certain positions in the dental practice. One in particular is that of office manager. In our ...

save
advertisement

ADEAGies Foundation announces Gies Awards call for nominations

WASHINGTON, DC, USA: Nominations will be accepted through Nov. 1, 2011, for the 2012 William J. Gies Awards for Vision, Innovation and Achievement (the Gies...

save

Howard Gamble installed as president of AGD

CHICAGO, IL, USA: Howard Gamble, DMD, FAGD, of Sheffield, Ala., was installed as president of the Academy of General Dentistry (AGD) during the AGD 2011 ...

save
advertisement

Crest Oral-B announces second year of Pros In The Profession awards

CINCINNATI, OH, USA: Crest Oral-B will continue to recognize Registered Dental Hygienists who go above and beyond the call of duty every day with its second...

save

U.S. debt deal spares Medicaid, leaves cuts on table

NEW YORK, N.Y., USA: Health and dental care benefits for the poor will not see a reduction, as U.S. President Obama and members of Congress agreed to keep ...

save

U.S. debt deal spares Medicaid, leaves cuts on table

NEW YORK, N.Y., USA: Health and dental care benefits for the poor will not see a reduction, as U.S. President Obama and members of Congress agreed to keep ...

save

EQUIA Fil and EQUIA Coat

Mon. 1. August 2011

GC America is proud to announce the launch of EQUIA™ Fil and EQUIA™ Coat. By combining EQUIA Fil and EQUIA Coat, GC America created the EQUIA™ Rapid Restorative System. The ...

save
advertisement

California Dental Association Foundation names Cathy Mudge executive director

SACRAMENTO, CA, USA: The California Dental Association Foundation is pleased to announce Cathy Mudge as its new executive director. The foundation’s ...

save

Humanitarian group to provide care in Nicaragua

RANCHO MIRAGE, Calif., USA: IMAHelps has assembled a team of more than 80 doctors, surgeons, nurses, dentists and support personnel for a 10-day medical ...

save

Donald Tuttle named president and CEO of D4D Technologies

D4D Technologies LLC, the developer and manufacturer of the E4D Sky Network of products including E4D Dentist, E4D Labworks and E4D Studio Systems, has ...

save
advertisement
advertisement