Search Dental Tribune

Kuraray Noritake articles

Stay up to date to find out more about Kuraray Noritake. This section includes the latest news about the company, along with previews and reviews from past and upcoming events and congresses.

Addressing the need for universal flowable composites

TOKYO, Japan: In modern dental practice, there is a great need for materials that combine convenient handling and procedural efficiency with aesthetic, ...

save

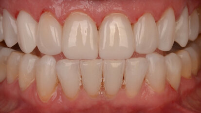
Micro‑layering for implant‑supported zirconia prostheses

IOANNINA, Greece: Numerous finishing techniques are available for zirconia-based screw-retained implant-supported prostheses; however, most of them are ...

save

Dentist and dental technician communication in prosthodontic workflows

No matter whether you are a dental practitioner or a dental technician, there is one thing you surely want to avoid: failure of restorations. While it is ...

save

Opt for a trustworthy ceramic and metal primer

HATTERSHEIM AM MAIN, Germany: Contrary to the uniformity suggested by the name, ceramic primers vary widely in composition and efficacy. Most common primers...

save

Simplifying the bonding process without compromising on quality

TOKYO, Japan: Efficiency and reliability are key requirements of products used in the modern dental practice. CLEARFIL Universal Bond Quick 2 (Kuraray ...

save

Flowable injection technique: An innovative minimally invasive tool

In many clinical situations, composite restorations offer advantages over ceramic restorations. The treatment is less costly and usually less invasive, and ...

save

Individualisation of monolithic zirconia restorations

HILDEN, Germany: By providing a natural colour gradient and high translucency, the modern multilayered zirconia KATANA Zirconia STML (Kuraray Noritake ...

save

Optimising intra‑ and extra‑oral substrates for maximal adhesive potential  

Achieving an optimal prognosis in the everyday practice of adhesive restorative dentistry requires ideal environmental conditions. Regardless of whether ...

save

Digital workflows in dentistry and the future of oral care

In March last year, Dr Ahmad al-Hassiny, director of the Institute of Digital Dentistry, noted that over 90% of US dental laboratories and nearly 50% of ...

save

Same-day dentistry: Replacement of two PFM crowns with zirconia restorations

The advancements in zirconia in contemporary dentistry allow for a wider range of applications, including in the anterior region, and for chairside ...

save

Tips and tricks for bonding in minimally invasive repair procedures

Resin composites are wonderful restorative materials. Besides allowing for minimally invasive, defect-oriented tooth preparation, they can be modelled as ...

save

CLEARFIL MAJESTY ES Flow receives “NIOM TESTED” quality seal

Prior to marketing the CLEARFIL MAJESTY ES Flow series, Kuraray Noritake Dental had to prove that the material meets the standards of ISO 4049:2019 for ...

save

Amalgam replacement: When and why are hybrid ceramics a great option?

LAMEZIA TERME, Italy: The selection of the restorative material is a crucial step in prosthodontics. Hybrid ceramics offer a range of properties well suited...

save

Monolithic multilayer zirconia crowns in the aesthetic zone

During the last decade, zirconia has increasingly become established as the material of choice in prosthodontics. Its excellent mechanical and inert ...

save

Anterior crowns on teeth and an implant

Dental technicians have so many different restorative materials and design and finishing concepts available to them that it can seem difficult to select the...

save
advertisement
advertisement