Fig. 1: Sodium hypochlorite accident post operatively, extra oral. (All images provided by Brett Gilbert, DDS, and Richard Mounce, DDS)
Fig. 2: Sodium hypochlorite accident approximately five months post op, intra oral (different case than that shown in Fig. 1).
Fig. 3: Calcium hydroxide extruded into the mandibular canal through a perforation.
Fig. 4: Cleared tooth showing the true complexity of the anatomy within this molar tooth. (Courtesy of Dr. Sergio Rosler)
Fig. 5: Chlor-Xtra (Vista Dental)
Fig. 7: SmearOFF (Vista Dental)
Fig. 8: Voyager Tip (Vista Dental)
Fig. 9: AutoSyringe (Vista)
Fig. 10: Negative pressure irrigation (EndoVac, Kavo/Kerr, image courtesy of Dr. Gary Glassman)
Fig. 11: EndoUltra (Vista Dental)
Fig. 12: Finishing File (Tun Ultrasonics)
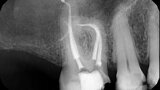
Fig. 13a: Case treated with Chlor-Xtra, SmearOFF with EndoUltra activation. Note the excellent cone fit and apical control of obturation. (Courtesy of Dr. Sam Alborz)
Fig. 13b: Case treated with Chlor-Xtra, SmearOFF with EndoUltra activation. Note the excellent cone fit and apical control of obturation. (Courtesy of Dr. Sam Alborz)
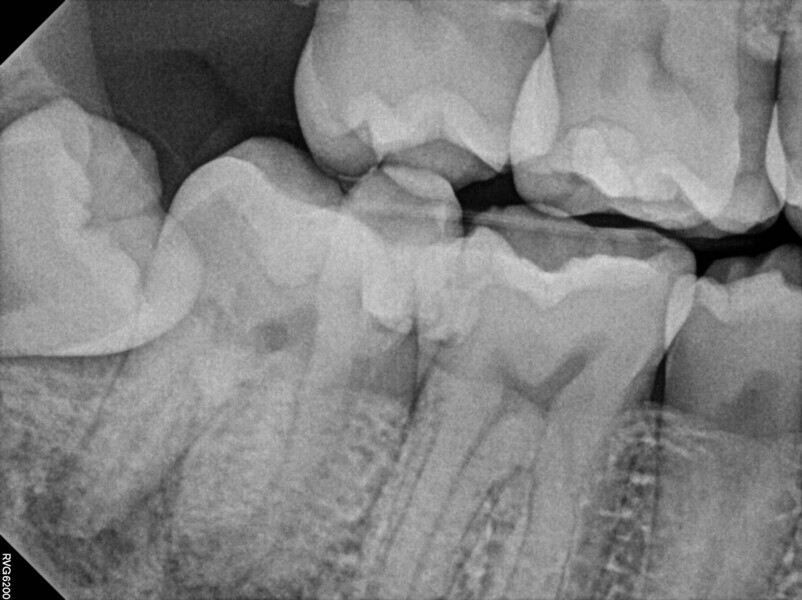
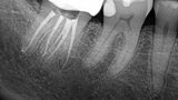
Fig. 14a: Case treated with Bassi Logic controlled memory nickel titanium files. Note the visualization of the third root on this lower molar and conservative canal preparation shape. (Courtesy of Dr. Alex Chan)
Fig. 14b: Case treated with Bassi Logic controlled memory nickel titanium files. Note the visualization of the third root on this lower molar and conservative canal preparation shape. (Courtesy of Dr. Alex Chan)
Fig. 15a: Cased treated with PIPs (Photon Induced Photoacoustic Streaming). Note the orifice barrier placed in composite to protect the endodontic treatment from coronal leakage. (Courtesy of Dr. Paula Elmi)
Fig. 15b: Cased treated with PIPs (Photon Induced Photoacoustic Streaming). Note the orifice barrier placed in composite to protect the endodontic treatment from coronal leakage. (Courtesy of Dr. Paula Elmi)
Fig. 15c: Cased treated with PIPs (Photon Induced Photoacoustic Streaming). Note the orifice barrier placed in composite to protect the endodontic treatment from coronal leakage. (Courtesy of Dr. Paula Elmi)
Fig. 15d: Cased treated with PIPs (Photon Induced Photoacoustic Streaming). Note the orifice barrier placed in composite to protect the endodontic treatment from coronal leakage. (Courtesy of Dr. Paula Elmi)
Fig. 15e: Cased treated with PIPs (Photon Induced Photoacoustic Streaming). Note the orifice barrier placed in composite to protect the endodontic treatment from coronal leakage. (Courtesy of Dr. Paula Elmi)
Fig. 15f: Cased treated with PIPs (Photon Induced Photoacoustic Streaming). Note the orifice barrier placed in composite to protect the endodontic treatment from coronal leakage. (Courtesy of Dr. Paula Elmi)
Fig. 15g: Cased treated with PIPs (photon-induced photoacoustic streaming). Note the orifice barrier placed in composite to protect the endodontic treatment from coronal leakage (courtesy of Dr. Paula Elmi).
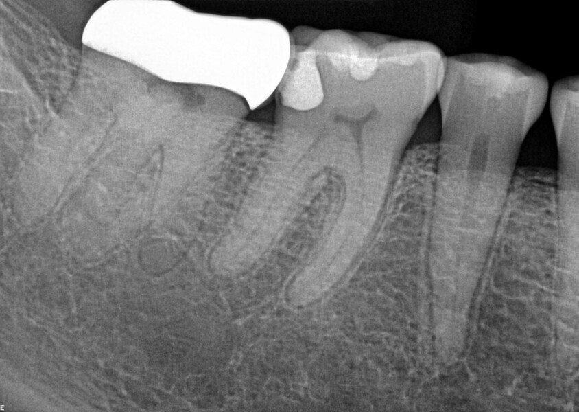
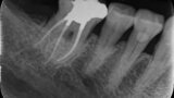
Fig. 16a: Case treated with a Bioceramic master cone, sealer and putty. Note the excellent apical control in this blunderbuss apex. (Courtesy of Dr. Rico Short)
Fig. 16b: Case treated with a Bioceramic master cone, sealer and putty. Note the excellent apical control in this blunderbuss apex. (Courtesy of Dr. Rico Short)
Fig. 17a: Case assisted with CBCT to determine anatomy pre-operatively. Note the multiple cross sections moving apically and the correlation to the 2-D view. Note also the conservative taper in relation to the root width. (Courtesy of Dr. Brett Gilbert)
Fig. 17b: Case assisted with CBCT to determine anatomy pre-operatively. Note the multiple cross sections moving apically and the correlation to the 2-D view. Note also the conservative taper in relation to the root width. (Courtesy of Dr. Brett Gilbert)
Fig. 17c: Case assisted with CBCT to determine anatomy pre-operatively. Note the multiple cross sections moving apically and the correlation to the 2-D view. Note also the conservative taper in relation to the root width. (Courtesy of Dr. Brett Gilbert)
Fig. 17d: Case assisted with CBCT to determine anatomy pre-operatively. Note the multiple cross sections moving apically and the correlation to the 2-D view. Note also the conservative taper in relation to the root width. (Courtesy of Dr. Brett Gilbert)
Fig. 17e: Case assisted with CBCT to determine anatomy pre-operatively. Note the multiple cross sections moving apically and the correlation to the 2-D view. Note also the conservative taper in relation to the root width. (Courtesy of Dr. Brett Gilbert)
Fig. 17f: Case assisted with CBCT to determine anatomy pre-operatively. Note the multiple cross sections moving apically and the correlation to the 2-D view. Note also the conservative taper in relation to the root width. (Courtesy of Dr. Brett Gilbert)
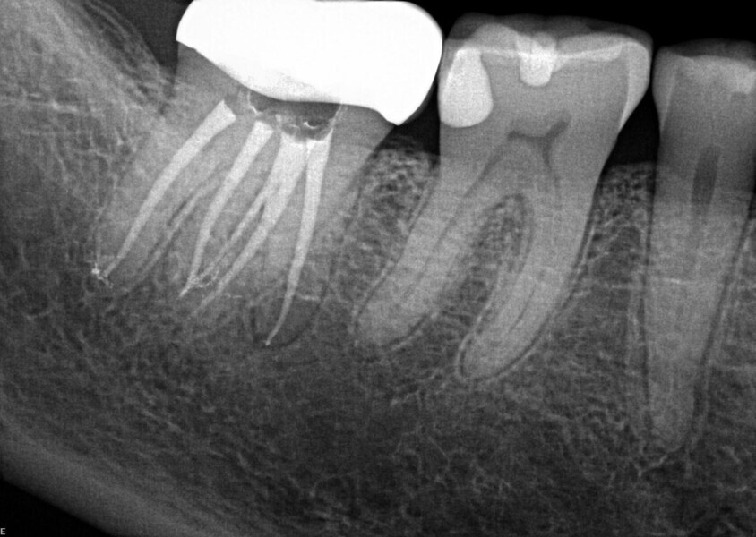
Fig. 18a: Note the expert management of the apical constriction and the acute curvature of the MB root. (Courtesy of Dr. Nestor Cohenca)
Fig. 18b: Note the expert management of the apical constriction and the acute curvature of the MB root. (Courtesy of Dr. Nestor Cohenca)
Fig. 18c: Note the expert management of the apical constriction and the acute curvature of the MB root (courtesy of Dr. Nestor Cohenca).
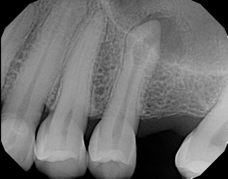
Fig. 19: Note the degree of penetration of sealer and gutta-percha between the primary canals. Obturation of this space demonstrates both the ‘macro’ and ‘micro’ cleaning referred to in the article. (Courtesy of Dr. Nestor Cohenca)
Fig. 20a: Note the attention to detail required to locate all of the canals in this exceptional case done under the surgical microscope. (Courtesy of Dr. Adrian Silberman)
Fig. 20b: Note the attention to detail required to locate all of the canals in this exceptional case done under the surgical microscope. (Courtesy of Dr. Adrian Silberman)