Fig. 1: Finite element analysis when the tooth is loaded under function by either longitudinal or off-axis forces leads to concentration of those forces in the cervical region of the tooth. Image courtesy of Dr. Gene McCoy. (Photo provided by Dr. Gregori M. Kurtzman)
Fig. 2: Traditional endodontic access with an attempt at straight line entrance into the canal orifice typically follows a vertical path necessitating more coronal tooth structure removal.
Fig. 3: An orifice-directed access conserves more tooth structure as it follows the direction of the canal, resulting in a smaller access opening and preservation of critical tooth.
Fig. 4: Orifice-directed access in a molar utilizing Endoguide burs to conserve tooth structure while giving straight line access into the canals.
Fig. 5: In anterior teeth, the canal orifice is typically located just lingual to the incisal edge in incisors and the cusp tip in canines (middle) or directly under the incisal edge or cusp tip (right).
Fig. 6: A potential problem when attempting to access the orifice in anterior teeth is an approach at the middle of the lingual surface with an angle not following the root’s long axis that can lead to perforation of the tooth on the facial cervical (A), and the bur being used for access should be kept parallel to the roots long axis which often places the orifice under the incisal edge (B).
Fig. 7: Taper comparison of a size 25 file with a 08 taper between the ExactTaperH DC file and competitive files (WaveOne, ProTaper Gold and ProTaper Next) with relation to how much root structure would be removed in a coronal direction from the apex.
Fig. 8: Width of the different ExactTaperH DC files at different distances from the instruments apical tip on these variable taper files.
Fig. 9: File sequence utilizing the ExactTaperH DC files.
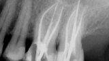
Fig. 10: Tooth 7 presented with large portion of the MBLI missing on tooth with pulpal involvement as evidenced by a moderate periapical area.
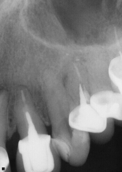
Fig. 11: Presentation of tooth 11 with caries on the ML and hot sensitivity and pain reported by the patient.
Fig. 12: Final obturation following instrumentation of tooth 7 with ExactTaperH DC files and resolution of the apical area utilizing Vitapex as an intracanal medicament between appointments.
Fig. 13: Tooth 11 following instrumentation with ExactTaperH DC files and obturation with a single cone GP matching the final file size and Bioceramic Root Canal sealer.
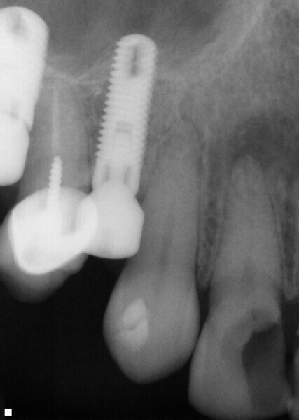
Fig. 14: Patient presented with complaint of pain on chewing on teeth 14 and 15 with increasing sensitivity to hot.
Fig. 15: Instrumentation performed with ExactTaperH DC files and obturation with a single cone of GP and Bioceramic Root Canal sealer completing endodontic treatment.
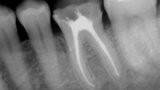
Fig. 16: Patient presented with percussion and hot sensitivity on the lower first molar that she reported was increasing over the past week.
Fig. 17: Instrumentation was performed with ExactTaperH DC files and single cone obturation with Bioceramic Root Canal sealer completing the endodontic treatment preserving the cervical tooth structure during the treatment.
Gregori M. Kurtzman, DDS, MAGD, FPFA, FACD, FADI, DICOI, DAIDA, DIDIA