Search Dental Tribune

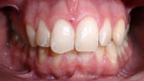
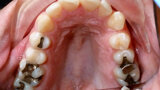
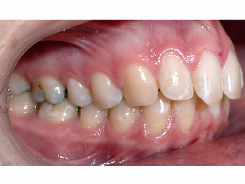
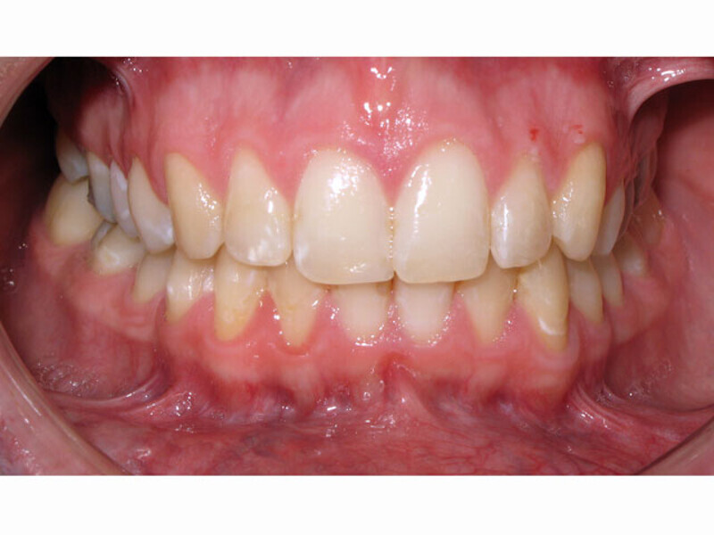
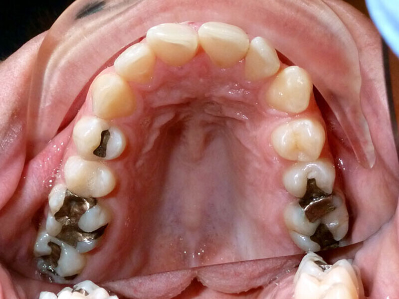
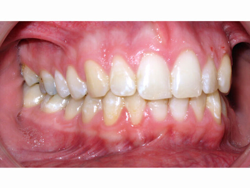
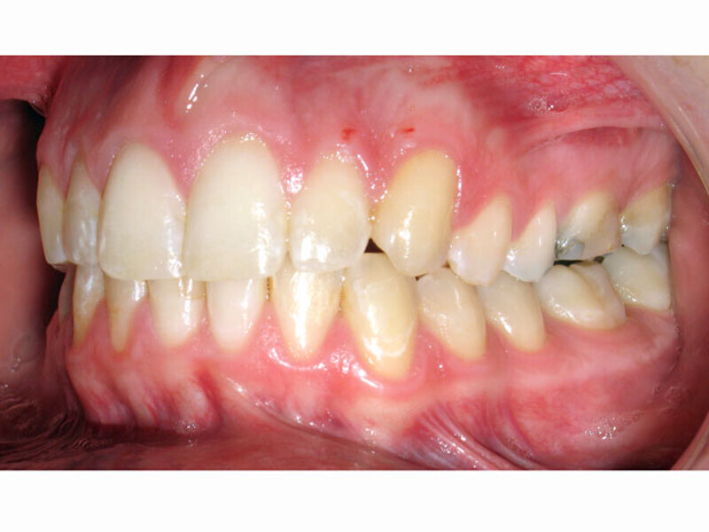
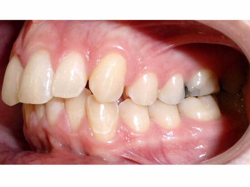
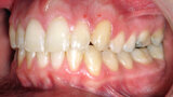
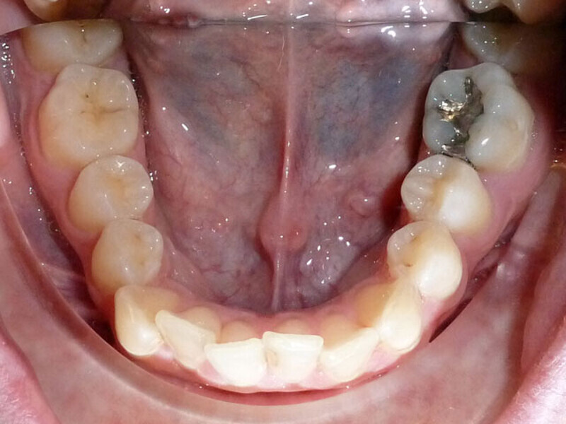
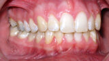
ClearCorrect treatment of crowding

advertisement
advertisement