With its unquestionable similarities to the natural tooth, the appeal of zirconia implants continues to revolutionize implantology practice across the globe. As a Swiss manufacturer of 100 percent metal-free zirconia since 2001, Z-SYSTEMS is perennially at the forefront of technological innovation in metal-free implants, the company asserts.
Z-SYSTEMS Ceramic Implants offers a natural, esthetic choice, with the most versatile and widest variety of one- and two-piece implants, as well as the only fully ceramic surgical kit on the market, for safe and esthetic metal-free solutions. With such a long track record of success, it’s little wonder that Z-SYSTEMS coined the phrase “Experience can’t be copied!”
Fifteen years since obtaining European Conformity (CE) certification in Europe, and more than a decade since obtaining FDA approval in the United States, Z-SYSTEMS Ceramic Implants is proud to have the highest success rate in the industry, according to the company. Long-term users of Z-SYSTEMS confirm the speed and ease of osseointegration thanks to Z-SYSTEMS’s patented and hydrophilic SLM surface, combined with excellent implant stability over time.
The restorative phase is also simple, as Z-SYSTEMS states that it has the only FDA-approved preppable zirconia implant and restorative abutment options on the market. Prosthetic work is easy thanks to Z-SYSTEMS’s abutments and implant shoulders that can be fully reshaped in-mouth, and the tight-seal of the Morse-tapered conical connection keeps out biofilm accumulation and prevents
micro-leakage, the company asserts. With a survival rate of over 98 percent, and a much lower plaque adhesion as compared to titanium, the abundance of innovations in Z-SYSTEMS’ biotechnology all contribute to high patient satisfaction and predictable results for the clinician.
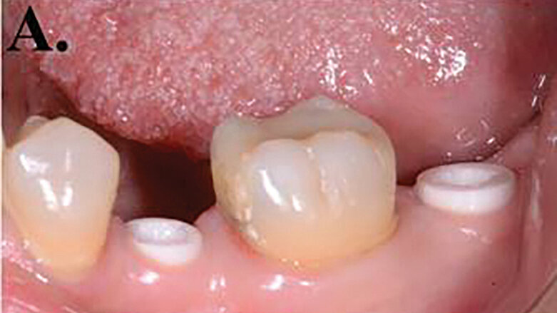
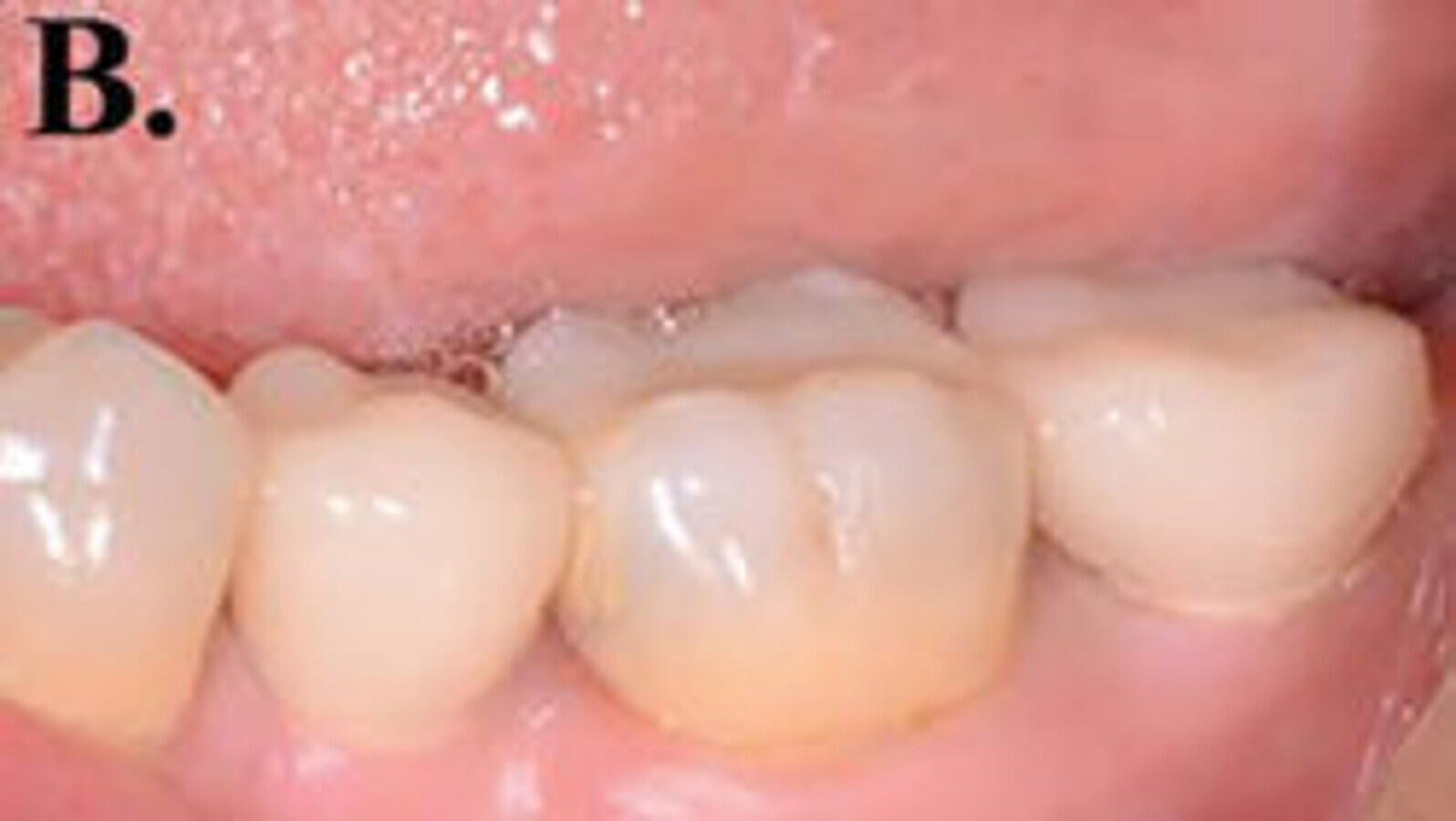
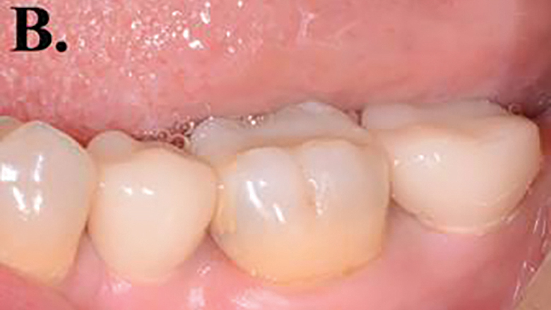
Photos: Provided by Dr. Ted Fields
Industry leaders across the world appreciate the revolutionary opportunities Z-SYSTEMS products make possible.
“Z-SYSTEMS has opened up a whole new world of patient solutions in ceramic implants … it’s no wonder that they lead the market with the most trusted and tested full line of ceramic dental implants. A proven alternative to titanium implants, and finally making metal-free dentistry a reality!” said Dr. John Roberts, BChD, of Huddersfield, UK.
Many of Z-System’s most loyal users have seen the consistent, long-term performance of Z-SYSTEMS throughout the years.
“Z-SYSTEMS has been used at our practice for the past six years,” said Dr. Mona Monzavi, DMD, MS, of Beverly Hills, Calif. “Our long-term results show favorable clinical outcomes with excellent soft-tissue contours and stable bone levels. Furthermore, having performed extensive microscopy and microanalysis research on Z-SYSTEMS implants, this material has shown to be durable and for the most part resistant to aging. Z-SYSTEMS’ continuing commitment to practice and patient satisfaction has been proven to me through its ongoing support of my research projects to allow for further enhancement and innovations of its products and in turn lead the zirconia implant market.”
In addition, “The ability to prep a dental implant is new to the industry. With a tissue-level implant, this opportunity is even more critical,” said Dr. Ted Fields, DMD, OMS, PhD, of Dallas. “Prepping an implant allows fine-tuning and customization of the implant and crown margins for optimal esthetics; development of the ideal emergence profile; and vertical placement of the crown margin at the desired level. Along with the prepable abutment and a non-indexed angled abutment that can be placed in any orientation, Z-Systems’ Z5c implant line is hard to beat for restorative flexibility.”
Upcoming events
Want to learn more about Z-SYSTEMS Ceramic Implants? Join Z-SYSTEMS Ceramic Implants at its 2nd Global Symposium for two educational days at the only full ceramic global symposium, according to the company. Join the company in Carlsbad, Calif., on April 20 and 21.
Can’t make it to Southern California in April? Z-SYSTEMS’ 6th International Congress will take place in Valencia, Spain, on June 29 and 30. Visit www.zsystems.com to learn more.
ATLANTA, Ga., USA: Dental professionals from near and far gathered at the Georgia World Congress Center and Omni Hotel at CNN Center in the heart of Atlanta...
BOSTON, Mass., USA: The 2017 Yankee Dental Congress was held Jan 25 to 29, and dental professionals gathered from throughout the Northeast to partake in a ...
SAN DIEGO, Calif., USA: The American Association of Orthodontists 2017 Annual Session was chock-full of scientific lectures and sessions. The exhibit hall ...
Education
Live webinar Thu. 14 May 2026 12:00 PM EST (New York)
ANN ARBOR, Mich., US: Opioid overprescription remains a major concern in dentistry. Although the prescription of opioids by dentists in the US has decreased...
AURORA, Colo., US: Multi-material 3D-printing of monolithic dentures in a single build has been a significant advance in digital denture fabrication. ...
DALLAS, US: As artificial intelligence (AI) tools are increasingly explored in dental education and clinical learning, questions remain about how reliably ...
To post a reply please login or register