Search Dental Tribune

Treatment of the pulpal exposure with the Nd:YAG laser to eliminate any bacteria that may have led to pulpal infection that would have necessitated endodontic treatment. (All images: Randy McCormick and Gregori M. Kurtzman)

Pulpal exposures are unfortunately a routine occurrence when treating carious teeth and frequently lead to endodontic treatment owing to the size of the pulpal exposure or the tooth being non-vital, whether or not a periapical radiolucency is present. Alternative care may be indicated when the tooth is vital, caries is close to the pulp radiographically, there is minimal dentine present at that spot and there is no periapical radiolucency present.

“Laser usage in endodontic treatment has been increasing and includes treatment of pulpal exposure to address pulpal inflammation and promote pulpal healing.”

Direct pulp capping helps extend the life of a diseased tooth by maintaining tooth vitality. This has been utilised for decades when an exposure is encountered during caries removal, but a low success rate has been reported in the literature.1 This appears to be dependent on which material is utilised for the direct pulp capping, and better long-term outcomes have been reported for mineral trioxide aggregate (MTA) and Biodentine (Septodont) compared with calcium hydroxide.2, 3

The cause of pulpal infection and its continuation as a periapical pathology is bacterial. Therefore, elimination of bacteria at the pulpal exposure prior to pulp capping aids in eliminating the causative agent of pulpal infection.  As dentine is a porous structure consisting of tubules that, when healthy, have a fibre running from the pulp to the amelodentinal junction, this can be an avenue for bacterial migration from the surface through the dentinal tubules to the pulpal tissue. Thus, although a pulpal exposure may not be noted, thin dentine overlying the pulpal tissue after caries removal should be treated similarly to a direct exposure to aid in preventing pulpal inflammation and infection.

Laser usage in endodontic treatment has been increasing and includes treatment of pulpal exposure to address pulpal inflammation and promote pulpal healing.4 Evidence has been accumulating on the effects of laser application on direct pulp capping. Lasers offer excellent characteristics in terms of haemostasis and decontamination of the field. The pulpal healing response is crucial for formation of a dentine bridge to seal off the exposed pulp. Studies have reported that lasers stimulate the exposed pulp to form tertiary dentine, sealing off the exposure. However, the sealing of exposed pulp with a dental material such as calcium hydroxide, MTA or a bioceramic is still required after laser treatment.5, 6 More than two-thirds of studies included in a systematic review and meta-analysis demonstrated that laser therapy used as an adjunct for direct pulp capping was more effective in maintaining pulp vitality than conventional therapy alone.7 Laser treatment of exposed pulps may therefore improve the outcome of direct pulp capping procedures.7, 8 Studies have indicated the efficacy of lasers in reducing inflammation, accelerating healing and increasing the thickness of a dentine bridge. According to the evidence, lasers used in combination with pulp capping agents enhance the success rate of vital pulp therapy.9 Comparison of pulpal exposure treated with a laser prior to pulp capping versus no laser found that the non-lased group showed more severe inflammation.10

Laser pulpal treatment

In photo-biomodulation therapy, electromagnetic radiation in the visible wavelength range (380–700 nm) or in the near-infrared range (700–1,070 nm) is used, penetrating hard and soft tissue to 3–15 mm in depth.11 Laser pulpal therapy stimulates odontoblasts to release tertiary dentine and form secondary dentine at the pulp exposure site or over thin dentine overlying the pulpal tissue.12 Photo-biomodulation therapy also may be beneficial in reducing inflammation of or damage to the pulp because of its biostimulatory capability, leading to increased patient comfort after treatment. The Nd:YAG laser has been reported to achieve successful results in terms of eliminating postoperative sensitivity after direct pulp capping.13

The patients in the example cases shown in this article were treated using an Nd:YAG laser in continuous wave mode and with a wavelength of 1,064 nm, an energy of 100 mJ, a frequency of 10 Hz, a power output of 1 W and a time of 60 seconds at a distance of 1 mm from the tooth surface and pulpal exposure. After removal of gross caries and any restorative material present, residual caries may be present on the preparation floor either in close proximity to the pulp or with a small pulpal exposure present (Fig. 1a). Laser treatment is performed to remove residual caries on the floor and to avoid creating a pulpal exposure or enlarging any minor exposures present (Fig. 1b). The result is elimination of bacteria in the dentinal tubules that may lead to pulpal pathology, as well as haemostasis at any minor pulpal exposure and a surface ready for direct resin bonding (Fig. 1c).

Figs. 1a–c: Example of laser treatment for the removal of residual caries after cavity preparation with standard burs. Caries noted on the pulpal floor and small pulpal exposure (a). Utilisation of the Nd:YAG laser (b). Resulting preparation floor ready for placement of a direct resin restoration (c).

Figs. 1a–c: Example of laser treatment for the removal of residual caries after cavity preparation with standard burs. Caries noted on the pulpal floor and small pulpal exposure (a). Utilisation of the Nd:YAG laser (b). Resulting preparation floor ready for placement of a direct resin restoration (c).

Case 1

A 57-year-old male patient presented with the complaint of sensitivity to temperature in the maxillary left quadrant. A radiograph was taken (Fig. 2), and deep caries was noted in the second premolar with possible pulpal involvement. Periapical pathology was not noted radiographically. The tooth was tested with cold to verify that the pulp was vital. A mild reaction was noted when cold was applied that immediately resolved when cold was removed from the tooth, indicating that the tooth was vital. The patient was advised that endodontic treatment may be required if a large pulpal exposure resulted from caries removal or if the tooth became symptomatic after treatment. Should a small pulpal exposure be noted or caries removal result in thin dentine over the pulp, laser treatment would be utilised prior to core placement to sterilise the area and avoid pulpal infection developing. A core build-up and complete crown were planned for the tooth. The patient accepted the treatment recommendations.

Local anaesthetic was infiltrated into the buccal vestibule adjacent to the tooth to be treated. Carbide and diamond burs were utilised in a high-speed handpiece with water to access and remove the caries, leaving a layer over the pulp (Fig. 3). A #4 round bur in a slow-speed handpiece was then utilised to remove the remaining affected leathery dentine until sound tooth structure remained (Fig. 4). A small spot of affected leathery dentine over the pulp was removed last, resulting in a small pulpal exposure (Fig. 5).

Immediately upon pulpal exposure, the Nd:YAG laser on the ablation setting (4.6 W, 100 µs, 230 mJ, 20 Hz) was applied to the area of exposure at 50–75 J to stop haemorrhaging and occlude the area of exposure without penetrating the pulp chamber greater than 3 mm (Fig. 6). The laser was next used on the same setting up to 162 J to sterilise the surrounding tooth structure and for biostimulation to activate stem cells and increase reparative dentine activity and decrease prostaglandins postoperatively. The treated area of the tooth was then sterile, and care was given to avoiding contamination before covering the dentine and pulpal exposure. Immediately a small amount of GC FujiCEM (GC America), enough to cover the exposure, was placed (Fig. 7). A core build-up was then applied utilising RelyX Unicem resin (3M ESPE) on the surrounding sound tooth structure to ensure a good bond between the core material and dentine. Crown preparation of the tooth was completed (Fig. 8). A digital impression was taken with a TRIOS scanner (3Shape), and a provisional crown was fabricated and cemented with IRM (Dentsply Sirona). The definitive crown was placed and luted two weeks later, and the patient reported no sensitivity since treatment had been performed on the pulpal exposure.

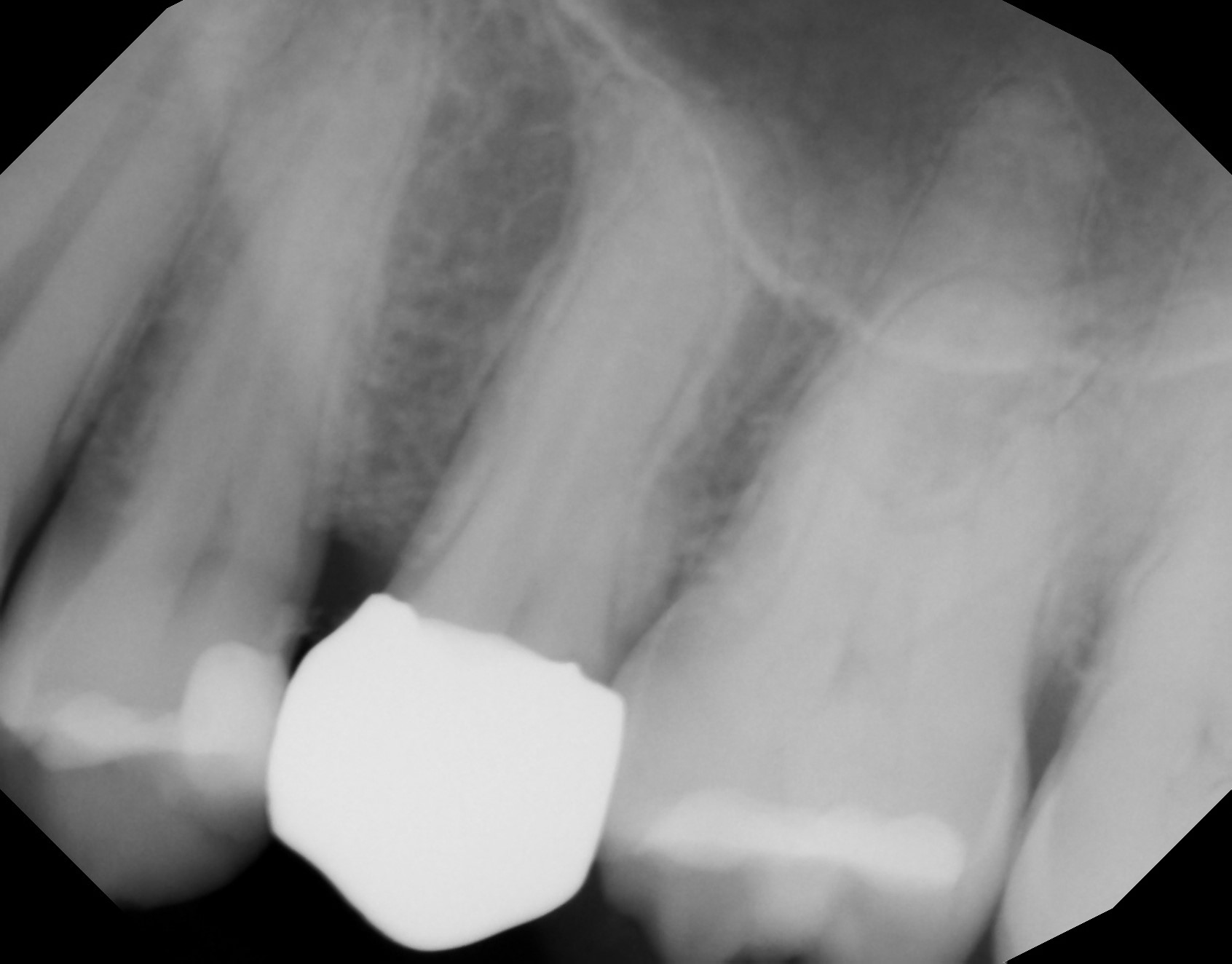
The patient was seen on recall at four weeks after restoration, and a periapical radiograph was taken (Fig. 9). No periapical radiolucency was noted, and the patient continued to report a lack of sensitivity to temperature or occlusion, indicating successful laser treatment of the pulpal exposure.

Fig. 9: Periapical radiograph taken four weeks after restoration placement, demonstrating an absence of periapical pathology.

Fig. 9: Periapical radiograph taken four weeks after restoration placement, demonstrating an absence of periapical pathology.

Case 2

A 34-year-old female patient presented with the complaint of pain and temperature sensitivity in the maxillary right posterior. Clinical examination noted caries on the distal aspect of the second molar, and a periapical radiograph was taken (Fig. 10). Deep caries was confirmed radiographically on the disto-occlusal aspect of tooth #17 that was very close to the pulp, but a lack of periapical pathology was noted. The tooth was tested with cold to verify that the pulp was vital. A mild reaction was noted when cold was applied that immediately resolved when cold was removed from the tooth, indicating that the tooth was vital. The patient was informed that pulpal exposure would most likely result from caries removal and endodontic treatment may thus be necessary or become necessary at a later date after treatment. Treatment would consist of laser pulpal treatment should a large exposure not result, followed by a core build-up and restoration with a complete crown. The patient agreed to the recommended treatment.

Local anaesthetic was infiltrated into the buccal vestibule. The caries and affected tooth structure were removed with carbide and diamond burs. A pulpal exposure was not observed, but thin tooth structure was noted covering the pulp (Fig. 11). The Nd:YAG laser was set on the ablation setting and applied to the area over the thin dentine overlying the pulp at 50–75 J. The laser was then used on the same setting up to 162 J to sterilise the surrounding tooth structure and for biostimulation as described in the prior case. A small amount of GC FujiCEM was placed to cover the underlying pulp. A core build-up was then applied utilising RelyX Unicem resin on the surrounding sound tooth structure to ensure a good bond between the core material and dentine. Crown preparation of the tooth was completed. An impression was taken, and a provisional crown was fabricated and cemented with IRM. The patient returned for definitive crown insertion two weeks later and reported a lack of sensitivity during the period since her prior appointment. The provisional crown was removed, the definitive crown was luted with RelyX Unicem, and the occlusion checked and adjusted as needed.

The patient was seen at routine prophylactic recall appointments, and at the five-year recall appointment, a periapical radiograph was taken (Fig. 12). As was noted in prior follow-up radiographs, no periapical radiolucency was seen, demonstrating that the laser treatment had been successful in preventing periapical pathology and pulpal infection.

Fig. 10: Periapical radiograph taken preoperatively, demonstrating deep caries on the disto-occlusal aspect and minimal tooth substance over the pulp.

Fig. 10: Periapical radiograph taken preoperatively, demonstrating deep caries on the disto-occlusal aspect and minimal tooth substance over the pulp.

Fig. 11: Pulpal tissue seen below a thin layer of dentine after caries removal.

Fig. 11: Pulpal tissue seen below a thin layer of dentine after caries removal.

Fig. 12: Periapical radiograph five years after laser pulpal treatment and restoration of the tooth, demonstrating no periapical pathology.

Fig. 12: Periapical radiograph five years after laser pulpal treatment and restoration of the tooth, demonstrating no periapical pathology.

Case 3

A 53-year-old female patient presented with the complaint of pain in the maxillary left quadrant. Clinical examination noted a missing lingual cusp on the second premolar as well as caries, and a periapical radiograph was taken (Fig. 13). Deep caries was confirmed radiographically, and most of the crown was radiolucent, indicating extensive caries. The outline of the coronal pulp could be observed radiographically, and a lack of periapical pathology was noted. The tooth was tested with cold to verify that the pulp was vital. A mild reaction was noted when cold was applied that immediately resolved when cold was removed from the tooth, indicating that the tooth was vital. The patient was informed that pulpal exposure was expected from caries removal and endodontic treatment would be necessary. After the anticipated endodontic treatment, the tooth would be treated with a post and core and restored with a complete crown. The patient agreed to the recommended treatment.

Local anaesthetic was infiltrated into the buccal vestibule. The caries and affected tooth structure were removed with carbide and diamond burs. A very small pulpal exposure was noted (Fig. 14), and after discussion with the patient of the options of immediate endodontic treatment or laser treatment of the exposure and a core build-up followed by crown placement if no symptoms arose over the next few weeks, the patient opted for the laser pulp treatment option. The Nd:YAG laser was set on the ablation setting and applied to the area of the pulpal exposure at 50–75 J (Fig. 15). The laser was then used on the same setting up to 162 J to sterilise the surrounding tooth structure and for biostimulation as described. A stabilising pin was placed into the dentine on the lingual aspect to aid in stabilisation of the core build-up. A small amount of GC FujiCEM was placed to cover the underlying pulp. A core build-up was then applied utilising RelyX Unicem resin on the surrounding sound tooth structure to ensure a good bond between the core material and dentine (Fig. 16). Crown preparation of the tooth was then completed. An impression was taken, and a provisional crown was fabricated and cemented with IRM. The patient returned for a postoperative check of the tooth after one week and reported a lack of any sensitivity to temperature or occluding on the provisional crown. The impression was sent to the laboratory for crown fabrication. The patient then returned for definitive crown insertion two weeks later and continued to report a lack of sensitivity. The provisional crown was removed, the definitive crown was luted with RelyX Unicem, and the occlusion checked and adjusted as needed.

“When pulpal exposure is present [...], but the tooth is vital and there is no observable periapical radiolucency, pulp capping proceeded by laser treatment is an alternative to endodontic treatment.”

The patient was seen on recall at four weeks after laser treatment and continued to report a lack of sensitivity to temperature or occlusion. A periapical radiograph was taken, and no periapical radiolucency was noted, indicating that laser treatment of the pulpal exposure had successfully aided in avoiding endodontic treatment (Fig. 17).

Case 4

A 29-year-old female patient presented with the complaint of sensitivity in the maxillary right quadrant and requested a second opinion on the possible need for endodontic treatment that her prior dentist had recommended, owing to deep caries. She reported hot and cold sensitivity and lingering cold sensitivity of the second premolar. A periapical radiograph was taken, and it showed caries in teeth #15 and 14 on the mesio-occlusal aspect and in close proximity to the pulp in tooth #15, but no periapical pathology was noted (Fig. 18). The patient was informed of the possibility of the need for endodontic treatment and that this would be determined when the caries was removed and if a pulpal exposure was noted. Should a pulpal exposure not present, laser pulp capping could be performed and the tooth restored, but presentation of increasing tooth sensitivity at a later date would indicate that endodontic treatment may be required. The patient agreed to proceed with treatment.

Local anaesthetic was administered and the tooth isolated. The caries was removed from tooth #15 with a diamond bur in a high-speed handpiece, and the close proximity of the caries to the pulp was observed. Pulpal exposure was not noted however. Laser pulp therapy with the Nd:YAG laser was performed on the ablation setting, applying 87 J directly to the tooth. A small amount of GC FujiCEM was placed to cover the underlying pulp. As described in the prior cases, a core build-up was placed and crown preparation performed on teeth #15 and 14. An impression was taken, and provisional crowns were fabricated and cemented with IRM. The patient returned for a postoperative check of the tooth after one week and reported a lack of any sensitivity to temperature or occluding on the provisional crown. The impression was sent to the laboratory for fabrication of the definitive crowns. The crowns were placed at a subsequent appointment, and the patient continued to report a lack of sensitivity of these teeth.

The patient was seen at routine prophylactic recall appointments and continued to report an absence of sensitivity in the maxillary right quadrant. A periapical radiograph at five years after treatment demonstrated an absence of periapical pathology (Fig. 19).

Fig. 18: Initial periapical radiograph demonstrating caries on the mesio-occlusal aspect of teeth #15 and 14 and an absence of periapical pathology.

Fig. 18: Initial periapical radiograph demonstrating caries on the mesio-occlusal aspect of teeth #15 and 14 and an absence of periapical pathology.

Fig. 19: Periapical radiograph at five years after laser pulp capping and restoration of tooth #15, demonstrating an absence of periapical pathology.

Fig. 19: Periapical radiograph at five years after laser pulp capping and restoration of tooth #15, demonstrating an absence of periapical pathology.

Conclusion

When pulpal exposure is minimal or the layer of dentine overlying the pulp is minimal, but the tooth is vital and there is no observable periapical radiolucency, pulp capping proceeded by laser treatment is an alternative to endodontic treatment. Treatment with the Nd:YAG laser sterilises the exposed pulp or dentinal tubules, eliminating bacteria that may lead to infection in the pulpal tissue. Additionally, it aids in minimising pulpal inflammation and thus pain management. The biostimulatory effects lead to pulpal odontoblasts forming secondary dentine to further protect the underlying pulpal tissue. In the cases shown, each of the patients presented with caries in proximity to the pulpal tissue on the radiographs. Typically, such cases would be initially planned for endodontic therapy. Alternatively, the teeth being vital after testing and there being a lack of periapical pathology, laser-assisted pulp capping was selected as an alternative treatment with the patients’ authorisation. In each of the cases on recall, the patients indicated an absence of any sensitivity to thermal changes and occluding on those teeth over long follow-up periods, confirming the value of laser-assisted pulp capping in these types of cases.

Editorial note:

This article was published in roots—international magazine of endodontics vol. 20issue 2/2024. The list of references can be found here.

Topics:
Tags:
To post a reply please login or register
advertisement
advertisement