Tulsa, Okla., USA: DENTSPLY Tulsa Dental Specialties has announced the winners of its GuttaCore University Challenge. The contest, which began on April 1, invited endodontic residency programs, residents and alumni to share their best GuttaCore cases with DENTSPLY Tulsa for the chance to win cash prizes and gain national exposure.
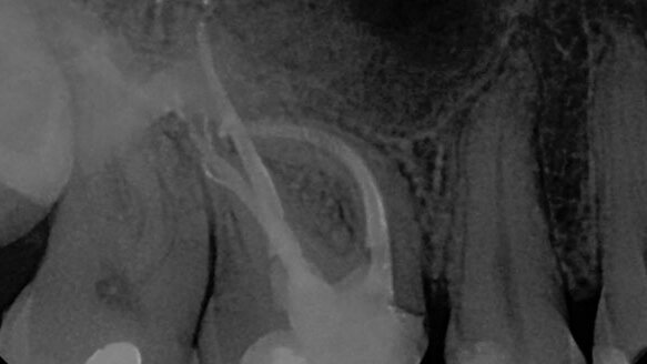
“GuttaCore is the first obturator with a cross-linked gutta-percha core,” said Scott Williams, senior brand manager for DENTSPLY Tulsa. “Since its initial launch in 2010, we’ve seen wide spread acceptance and adoption of GuttaCore among general dentists and a growing number of specialists. It’s exciting to see the doctor’s expression after filling with GuttaCore. They light up and smile when they see the complex apical anatomy open up and GuttaCore fill in areas where traditional cold gutta-percha stops.”
Two endodontic residency programs were selected as winners, based on the largest percentage of residents who submitted a case. A cash prize of $10,000 was awarded to the first- and second-place programs. In addition, representatives from both programs are joining DENTSPLY Tulsa, along with the most prominent endodontic opinion leaders, at the 2014 Endodontic Opinion Leaders Forum in Playa del Carmen, Mexico.
In addition to the residency program awards, residents were recognized for their individual submissions. Finalists were selected by a panel of judges, and winners were determined via voting on DENTSPLY Tulsa Dental Specialties’ Facebook page. The first place resident received $3,000 and is invited to present the winning case at the 2014 Endodontic Opinion Leaders Forum. The remaining top five residents all received cash prizes of $1,000. In addition, the top two alumni submissions also received $1,000.
- 1st Place Program - University of California, San Francisco School of Dentistry.
- 2nd Place Program - University of Michigan School of Dentistry.
- Grand Prize Winner - Dr. Brian Royle.
- Top Four Residents – Dr. Sheena Howell, Dr. Michael Shapiro, Dr. Mahshid Majlessi and Dr. Diego Andrade
- Top Two Alumni – Dr. Antonio Berto and Dr. Oscar Vega.
“We wanted to share the GuttaCore experience with not only practicing dentists and endodontists, but endodontic residency programs and their residents,” Williams said. “The GuttaCore University Challenge was a great and fun way to accomplish that. Hosting the challenge on social media just made sense. It was a perfect way for clinicians to post, share and comment on their cases in a way that respects and maintains patient confidentiality.”
The winning entries as well as more information on GuttaCore, including a demonstration video library, can be viewed on DENTSPLY Tulsa Dental Specialties’ Facebook page.
(Source: DENTSPLY Tulsa Dental Specialties)
TULSA, Okla., USA: DENTSPLY Tulsa Dental Specialties, a manufacturer and marketer of innovative products for endodontics (ProTaper NEXT, WaveOne, GuttaCore,...
PerioDerm is an acellular dermal allograft that is derived from donated human skin and indicated for the replacement of damaged or inadequate tissue in the ...
Cellerant Consulting Group has announced the 2022 Cellerant Best of Class Hygiene Award winners. Over the course of each year, the panel members seek out ...
CHICAGO, Ill., USA: The American Association of Endodontists is announcing the recipients of its awards, to be formally presented at the association’s ...
ATLANTA, Ga., USA: The Thomas P. Hinman Dental Meeting, described by organizers as the nation’s leading dental meeting and comprehensive source of ...
WASHINGTON, D.C., USA: Cellerant Consulting Group has announced the 2021 Cellerant Best of Class Technology Award winners. “During such a challenging year...
WASHINGTON, DC, USA: The ADEAGies Foundation has announced the winners of the 2012 William J. Gies Awards for Vision, Innovation and Achievement (Gies ...
NEW YORK, NY and TULSA, OK, USA: A new product has been introduced that is designed to improve the success of root canal therapy. Because success depends on...
TULSA, Okla., USA: DENTSPLY Tulsa Dental Specialties sponsored the sixth annual Oklahoma Mission of Mercy dental clinic, which was held Feb. 6 and 7 in ...
NEW YORK, N.Y., USA: DENTSPLY Tulsa Dental Specialties recently celebrated its 25th anniversary. The company was founded as Tulsa Dental Products by Dr. Wm....
Live webinar
Thu. 14 May 2026
12:00 PM EST (New York)
Live webinar
Thu. 14 May 2026
2:00 PM EST (New York)
Prof. Hani Ounsi DDS PhD FICD
Live webinar
Tue. 19 May 2026
11:00 AM EST (New York)
Live webinar
Tue. 19 May 2026
1:00 PM EST (New York)
Prof. Dr. med. dent. Ivo Krejci
Live webinar
Wed. 20 May 2026
7:00 AM EST (New York)
Dr. Graham Carmichael BDSc (Hons), DClinDent (Pros), FRACDS, Dr. Robert Gottlander DDS
Live webinar
Wed. 20 May 2026
9:00 AM EST (New York)
Live webinar
Wed. 20 May 2026
1:00 PM EST (New York)
Prof. Dr. med. dent. Tim Joda PhD, MSc, eMBA
To post a reply please login or register