Endodontic treatment has trended to more conservative access as well as canal instrumentation. This has been geared to preserve as much tooth structure within the root and specifically the cervical region of the tooth, taking on a restorative-driven approach. Long-term treatment outcome is not just dependent on identifying the canals, instrumenting them and obturating those canals to the apex, but on restoration of that tooth to allow functional loading over time without structural failure.
Those goals, the endodontic and restorative aspects, are not mutually exclusive, and with proper planning and treatment they together complement each other in achieving long-term clinical success.
Teeth when loaded either by loads along the tooth’s long axis (longitudinal) or off-axis lead to concentration of those loads in the cervical region of the tooth[1] (Fig. 1). This occurs in teeth with no structural deficiencies (absent of restorative material or caries) or those that have cervical compromised tooth structure. Stress distributions in the cervical region have reported that tensile stress is mainly concentrated on the mesio-buccal aspects of the root, and in multirooted teeth in the root furcation.[2] Thus, preserving coronal dentin especially in the cervical region utilizing a conservative endodontic approach significantly reduces tensile stress concentration and the potential for structural failure at the cervical aspect of the tooth. Yet, endodontic goals (instrumentation and obturation of the canal system) still require adherence to achieve clinical success with that portion of treatment on the affected tooth. Included in those goals is removal of any remnants of pulpal tissue within the canal system, as well as bacteria that may be present in the pulp or dentinal tubules and creating a shape that can then be obturated to seal the canal system from the apex coronally.
Fig. 1: Finite element analysis when the tooth is loaded under function by either longitudinal or off-axis forces leads to concentration of those forces in the cervical region of the tooth. Image courtesy of Dr. Gene McCoy. (Photo provided by Dr. Gregori M. Kurtzman)
Fig. 2: Traditional endodontic access with an attempt at straight line entrance into the canal orifice typically follows a vertical path necessitating more coronal tooth structure removal.
Fig. 3: An orifice-directed access conserves more tooth structure as it follows the direction of the canal, resulting in a smaller access opening and preservation of critical tooth.
Fig. 4: Orifice-directed access in a molar utilizing Endoguide burs to conserve tooth structure while giving straight line access into the canals.
Fig. 5: In anterior teeth, the canal orifice is typically located just lingual to the incisal edge in incisors and the cusp tip in canines (middle) or directly under the incisal edge or cusp tip (right).
Fig. 6: A potential problem when attempting to access the orifice in anterior teeth is an approach at the middle of the lingual surface with an angle not following the root’s long axis that can lead to perforation of the tooth on the facial cervical (A), and the bur being used for access should be kept parallel to the roots long axis which often places the orifice under the incisal edge (B).
Fig. 7: Taper comparison of a size 25 file with a 08 taper between the ExactTaperH DC file and competitive files (WaveOne, ProTaper Gold and ProTaper Next) with relation to how much root structure would be removed in a coronal direction from the apex.
Fig. 8: Width of the different ExactTaperH DC files at different distances from the instruments apical tip on these variable taper files.
Fig. 9: File sequence utilizing the ExactTaperH DC files.
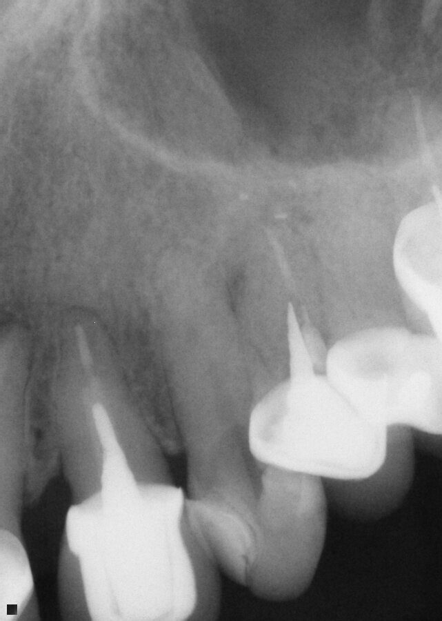
Fig. 10: Tooth 7 presented with large portion of the MBLI missing on tooth with pulpal involvement as evidenced by a moderate periapical area.
Fig. 11: Presentation of tooth 11 with caries on the ML and hot sensitivity and pain reported by the patient.
Fig. 12: Final obturation following instrumentation of tooth 7 with ExactTaperH DC files and resolution of the apical area utilizing Vitapex as an intracanal medicament between appointments.
Fig. 13: Tooth 11 following instrumentation with ExactTaperH DC files and obturation with a single cone GP matching the final file size and Bioceramic Root Canal sealer.
Fig. 14: Patient presented with complaint of pain on chewing on teeth 14 and 15 with increasing sensitivity to hot.
Fig. 15: Instrumentation performed with ExactTaperH DC files and obturation with a single cone of GP and Bioceramic Root Canal sealer completing endodontic treatment.
Fig. 16: Patient presented with percussion and hot sensitivity on the lower first molar that she reported was increasing over the past week.
Fig. 17: Instrumentation was performed with ExactTaperH DC files and single cone obturation with Bioceramic Root Canal sealer completing the endodontic treatment preserving the cervical tooth structure during the treatment.
Gregori M. Kurtzman, DDS, MAGD, FPFA, FACD, FADI, DICOI, DAIDA, DIDIA
Endodontic access and instrumentation
Two factors in the endodontic phase aid in determining how conservative treatment will be. Those are endodontic access and instrumentation.
The goal of endodontic access is to locate the canal orifices and allow straight-line access into those canals to permit instrumentation. Traditionally, endodontic access in molars recommended a large access that allowed the files to drop into the canal from a vertical direction essentially parallel to the long axis of that molar. Unfortunately, this approach removes a considerable amount of coronal tooth structure and can weaken the cervical region of the tooth (Fig. 2). Yet anatomically the canals in the molar tend to angle toward the center of the tooth, with the mesial canals tipping to the distal and the distal canals tipping to the mesial. An orifice-directed approach takes this into consideration, and the orifice for the mesial canals has a straight-line access from the distal and the distal canal orifice is approached from the mesial direction (Fig. 3). The goal is preserving critical tooth structure and not potentially weakening the tooth to functional loading following treatment. The Endoguide bur (SS White) is a long shaft friction grip or latch-style bur with a small, pointed head that is designed to aid in location of the orifice and aid in conservative tooth removal laterally to allow access for the file into the canal (Fig. 4). It is recommended that the bur should not be advanced into the canal beyond the length of the bur’s head to prevent potentially perforating the tooth in the cervical region.
Anterior teeth, whether maxillary or mandibular, can pose some potential challenges when the practitioner does not understand the tooth’s anatomy in relation to the canal and its orifice. When an anterior tooth is viewed laterally from the proximal, the canal following a straight axis places the canal orifice either directly under the incisal edge or slightly lingual to the incisal edge for incisors (Fig. 5). Canines will typically have the canal orifice directly under the cusp tip, and this should be kept in mind when treating those teeth. A frequent approach in anterior teeth is to initiate access in the middle of the lingual surface, which can place the access too lingual to where the orifice actually lies. Additionally, if the bur is not held parallel to the tooth’s long axis of the root it is possible in attempting to locate the pulp chamber the bur may perforate the tooth on the facial cervical, creating additional treatment problems (Fig. 6). Use of a long shaft bur such as the Endoguide makes paralleling the tooth’s long axis easier then with standard-length burs.
File taper determines how much dentin is removed, especially in the cervical region of the tooth. Depending on the manufacturer, files will have either a constant or a variable taper. With a constant taper, the file taper is the same as it moves from the file’s tip toward its shaft. A variable taper file will taper typically in the apical half, then the remainder of the instrument either does not taper or has a lesser degree of taper. Clinically, what this means is when instrumentation is completed a greater amount of cervical root dentin will be removed with a constant taper file than with a variable taper file, potentially weakening the cervical tooth structure.
When we compare taper between several constant taper files that are commonly used (Wave One, ProTaper Gold and ProTaper Next) and a variable taper file (ExactTaperH DC), we are able to observe that for files with the same apical size greater amounts of dentin is removed as the cervical is approached (Fig. 2). So, utilization of a variable taper file aids in conservation of tooth structure and yields when instrumentation is completed a tooth that is stronger cervically due to preservation of more pericervical dentin. When looking at the files in the ExactTaperH DC, a variable taper system, we can see that at different distances from the file’s tip the taper varies for each of the files in the system (Fig. 3). Additionally, variable taper files tend to be less stiff (more flexible) than constant taper files due to the narrower diameter of the file in the middle and coronal aspect of the fluted portion of the files. The ExactTaperH DC also by design has a 33 percent smaller maximum flute diameter than the constant taper files mentioned. This allows a more passive ability to follow the canal’s curvature without trying to straighten the curved canal as may present with stiffer files, providing “root form appropriate shaping.” One potential drawback to a constant taper file is that when a portion of the file engages in the canal wall or its anatomy, a “suck-down” effect happens where the file threads itself further into the canal as more of the file flutes engage more canal wall, which can increase the potential for file separation.[3,4] This is much less likely with a variable taper file, as there is a minimized engagement of the file against the canal wall.
Endodontic phase of treatment
Following isolation of the tooth and access of the pulp chamber with identification of the canal orifices, the canals are explored with a file to establish a glide path to the working length as measured on the radiograph. When the canal is visible to the apex radiographically, the GP (glide path) rotary NiTi file (ExactTaperH DC) which is equivalent to a size 14 file with a .03 taper (Fig. 1) is taken to working length to ensure a lack of obstructions is present that may hamper advancement of the subsequent files to be used. If the canal is not clear radiographically or the GP rotary file does not advance to working length, a #6, 8 or 10 handfile is taken to working length and then followed up with the GP file. When the canal orifice presents as narrow or impedes advancement of the GP file or handfiles, an orifice opener is useful to allow easier progression with other files. The SX orifice opener rotary NiTi file (ExactTaperH DC) is a size 15 with an .09 taper (Fig. 4) and is intended to only be utilized in the coronal and middle third of the canal and not taken to working length.
Rotary NiTi files should be kept in constant rotational motion before entering the canal and until withdrawn from the canal to aid in prevention of the file binding in the canal. An in-and-out motion is used while brushing the canal walls while the canal system is filled with an appropriate irrigant that aids in removal of debris within the canal while limiting potential for file binding. Should the file not be able to advance without applying apical pressure, the canal should be recapitulated with the prior-used file to working length and then file size progression continued until the final file completes canal instrumentation. Most canals will be completed with an F3 ExactTaperH DC file (Fig. 4), which is a size 30 with an .06 taper. Some canals, such as maxillary molar palatal canals, mandibular distal canals, maxillary and mandibular canines and maxillary central incisors, may require a large file instrumentation and the F4 ExactTaperH DC file (Fig. 4) with a size 40, and .06 taper is an appropriate final instrument in those canals. Should the canal be wider than the F4, the file is a loose fit, and using the F4 file with a brushing motion along the canal walls will remove any tissue on the canal walls and allow the irrigants to act on the canal walls in preparation for obturation. When utilizing a brushing motion, that is done on the out-stroke from the canal, as using that on the in-stroke may cause the file tip to bind and separate in the canal. This technique also works well in those canal shapes that are irregular or ribbon-shaped in the coronal half of the canal system. Narrow canals, as may be found in mandibular incisors, maxillary laterals and premolars with two canals or older patients where some narrowing of the canals has occurred due to secondary dentin with aging, may have final instrumentation with the F2 file (Fig. 4), which has a size 25 with a .06 taper.
Instrumentation is just a part of endodontic treatment and is complemented by the obturation phase. Utilization of a single-cone obturation technique, where the gutta-percha cone matches the final file used for instrumentation, allows an intimate fit of the cone with the prepared instrumented canal minimizing the amount of sealer in the canal in comparison to gutta-percha.[5] With this cold technique, there is no shrinkage of the gutta-percha that is found when warm obturation techniques are employed.[6,7[ When combined with a bioceramic sealer, which when set does not have the potential for dissolution that has been reported with ZOE and CaOH based sealers, a long-term stable endodontic treatment results.[8]
Case 1
A 76-year-old female patient presented with pain on teeth 7 (maxillary right lateral incisor) and 11 (maxillary left canine). Clinical exam noted coronal breakdown of both teeth without any discernable mobility. Radiographs were taken, and it was noted that tooth 7 presented with periapical pathology and caries connection with the pulp (Fig. 10). Tooth 11 did not present with periapical pathology, but pulpal exposure was noted clinically (Fig. 11). The plan recommended was endodontic treatment of both teeth followed by restoration with a fiber post, resin core and full-coverage crown.
The teeth were isolated by rubber dam and caries removed with burs and hand instruments. The canal was explored with the GP rotary file to working length. This was followed by instrumentation to the F3 ExactTaperH DC file in tooth 7 and the F4 ExactTaperH DC file in tooth 11. The canals were irrigated by alternating between sodium hypochlorite 3 percent (Vista Apex, Racine, Wis.) and 17 percent EDTA solution (Vista Apex) during instrumentation and at completion. Due to the periapical pathology, it was decided to fill the canals with a CaOH medicament (Vitapex, Neo Dental International, Federal Way, Wash.) to apex to allow apical healing prior to obturation of the canal systems. The teeth were sealed by placement of GC Fuji Automix LC (GC America, Alsip, Ill.) as a temporary restoration until endodontic completion.
The patient returned after two weeks indicating all pain and sensitivity that had been present prior to treatment had completely resolved. The teeth were again isolated, and the provisional restorations removed. The canals were instrumented with the final file sizes used at the last visit and irrigated with 17 percent EDTA solution to remove the CaOH placed at the last appointment and dried with paper points (ExactTaperH DC) matching the size of the final file used. Bioceramic Root Canal sealer (SS White) was mixed and dispensed on a pad. A gutta-percha cone (ExactTaperH DC) matching the final file size was coated in the sealer, and both canals were obturated in a single cone technique. The excess cone was cut off at the canal orifice and isolation was removed to take a final radiograph to document canal obturation (Figs. 12, 13). A temporary restoration was placed into both teeth using the GC Fuji Automix LC and the patient was appointed to restore the two teeth.
Case 2
A 37-year-old male new patient presented with the complaint of pain with hot foods and beverages on teeth 14 (maxillary left first molar) and 15 (maxillary second molar) that had been increasing the past six months since he had restorations placed due to decay by the prior dentist before relocating to my area. A radiograph was taken, and slight apical widening was noted on both teeth (Fig. 14). Both teeth were responsive to testing with heat and cold that lingered for a minute or two after the stimulus was removed. Both teeth also tested to slight responsiveness to percussion stimuli. Patient was informed that based on what presented it was recommended that both teeth were moving toward needing endodontic treatment or we could adjust the occlusion and see if that helped with symptom improvement. The patient indicated due to the increasing sensitivity to hot foods and beverages he would prefer to initiate endodontic treatment at this time.
The teeth were isolated, and access performed with canal orifice identification. The SX file (ExactTaperH DC) was utilized to enlarge the canal orifice and aid in further file instrumentation. The canals were then instrumented to working length with the GP file. Each canal was instrumented with ExactTaperH DC files starting with the S1, then followed by the F1, F2 and F3 in the mesial-buccal and distal-buccal canals in both molars. The palatal canals in both teeth were competed with the F4 file. The canals were irrigated by alternating between sodium hypochlorite 3 percent (Vista Apex) and 17 percent EDTA solution (Vista Apex) during instrumentation and at completion. Canals were dried with paper points (ExactTaperH DC) matching the size of the final file used. Bioceramic Root Canal sealer (SS White) was mixed and dispensed on a pad. A gutta-percha cone (ExactTaperH DC) matching the final file size for each canal was coated with sealer and each canal was obturated in a single cone technique. The excess cones were cut off at the canal orifice and obturation was completed (Fig. 15). A temporary restoration was placed into both teeth using the GC Fuji Automix LC, and the patient was appointed to restore the two teeth.
Case 3
A 62-year-old female patient presented with the complaint of sensitivity to chewing and hot foods and beverages on tooth 19 (mandibular left first molar) that had been increasing over the past week. Examination noted an old amalgam on the tooth that appeared intact to the explorer. A radiograph was taken, and slight apical widening was noted on both root apex on the tooth (Fig. 16). The tooth was responsive to testing with heat with a prolonged response of a minute or so. No cold sensitivity was elicited when tested. Both teeth also tested to slight responsiveness to percussion stimuli. Patient was informed that based on the tooth’s presentation it was recommended that endodontic treatment was indicated. The patient agreed to treatment.
The tooth was isolated with rubber dam, and the old amalgam restoration was removed and access performed with canal orifice identification. The SX file (ExactTaperH DC) was utilized to enlarge the canal orifice and aid in further file instrumentation. The three canals were explored with stainless steel hand files to working length starting at a size 10 and progressing to a size 20. The canals were then instrumented to working length with the GP file. Each canal was instrumented with ExactTaperH DC files starting with the S1, then followed by the F1, F2 and F3 in the mesial-buccal and distal-buccal canals of the molar. The canals were irrigated by alternating between sodium hypochlorite 3 percent (Vista Apex) and 17 percent EDTA solution (Vista Apex) during instrumentation and at completion. The canals were then dried with paper points (ExactTaperH DC) matching the size of the final file used. Bioceramic Root Canal sealer was mixed and dispensed on a pad. A gutta-percha cone (ExactTaperH DC) matching the final file size for each canal was coated with sealer and each canal was obturated in a single cone technique. The excess cones were cut off at the canal orifice and obturation was completed (Fig. 16). A temporary restoration (Fermit-N, Ivoclar Vivadent, Buffalo, N.Y.) was placed into the tooth and the patient was appointed to restore the tooth.
Conclusion
Endodontics has transitioned to being more conservative in preserving tooth structure and has become restoratively driven. Long-term success can be linked to how much natural tooth structure is present following endodontic treatment in the cervical area of the tooth, as under functional loading that is where stress is concentrated. Understanding the canal’s anatomy in relation to the coronal portion of the tooth is critical to conservative access to identify the canal’s orifices and preserve as much tooth structure as possible. Additionally, use of a variable taper NiTi file system such as the ExactTaperH DC allows conservative canal instrumentation while providing a flexible file with a minimum number of files to complete instrumentation. Therefore, no change in the practitioner’s current technique is required to utilize this file system. The system provides files to allow glide path formation through instrumentation with shaping and completing with finishing, plus an orifice opener when needed. The ExactTaperH DC system is paired with paper points and gutta-percha cones that correspond to the files size and taper allowing single cone obturation to be performed. A single cone obturation technique allows minimization of sealer in the obturation so sealer setting shrinkage is minimized, and the single cone matching the size and shape of the final file is able to drive sealer into the adjacent canal anatomy and dentinal tubules within the canal system. When combined with the bioceramic root canal sealer, a durable seal of the canal system is achieved and restoration of the tooth yields preservation of necessary tooth structure improving long-term overall treatment success.
About the author
Gregori M. Kurtzman, DDS, MAGD, FPFA, FACD, FADI, DICOI, DAIDA, DIDIA, is in private general practice in Silver Spring, Md., and is a former assistant clinical professor at University of Maryland in the department of Restorative Dentistry and Endodontics and a former AAID Implant Maxi-Course assistant program director at Howard University College of Dentistry. He has lectured internationally on the topics of restorative dentistry, endodontics and implant surgery and prosthetics, removable and fixed prosthetics and periodontics, and he has more than 770 published articles globally. He has earned fellowship in the AGD, ACD, ICOI, Pierre Fauchard and ADI, mastership in the AGD and ICOI and diplomat status in the ICOI and American Dental Implant Association (ADIA). A consultant and evaluator for multiple dental companies, Kurtzman has been honored to be included in the “Top Leaders in Continuing Education” by Dentistry Today annually since 2006 and was featured on its June 2012 cover. He can be reached at dr_kurtzman@maryland-implants.com.
References
- Palamara D, Palamara JE, Tyas MJ, Messer HH. Strain patterns in cervical enamel of teeth subjected to occlusal loading. Dent Mater. 2000 Nov;16(6):412-419. doi: 10.1016/s0109-5641(00)00036-1. PMID: 10967190.
- Wang Q, Liu Y, Wang Z, Yang T, Liang Y, Gao Z, Fang C, Zhang Y. Effect of Access Cavities and Canal Enlargement on Biomechanics of Endodontically Treated Teeth: A Finite Element Analysis. J Endod. 2020 Oct;46(10):1501-1507. doi: 10.1016/j.joen.2020.06.013. Epub 2020 Jun 29. PMID: 32615176.
- Agarwal S, Nagpal R and Singh UP. NiTi Endodontics: Contemporary Views Reviewed. Austin J Dent. 2018; 5(4): 1112.
- Diemer F, Calas P. Effect of pitch length on the behavior of rotary triple helix root canal instruments. J Endod. 2004 Oct;30(10):716-8. doi: 10.1097/01.don.0000125877.26495.69. PMID: 15448466.
- El Sayed MA, Taleb AA, Balbahaith MS. Sealing ability of three single-cone obturation systems: An in-vitro glucose leakage study. J Conserv Dent. 2013 Nov;16(6):489-93. doi: 10.4103/0972-0707.120936. PMID: 24347879; PMCID: PMC3842713.
- Gurgel-Filho ED, Feitosa JP, Gomes BP, Ferraz CC, Souza-Filho FJ, Teixeira FB. Assessment of different gutta-percha brands during the filling of simulated lateral canals. Int Endod J. 2006 Feb;39(2):113-118. doi: 10.1111/j.1365-2591.2006.01054.x. PMID: 16454791.
- Lottanti S, Tauböck TT, Zehnder M. Shrinkage of backfill gutta-percha upon cooling. J Endod. 2014 May;40(5):721-724. doi: 10.1016/j.joen.2013.09.043. Epub 2013 Nov 7. PMID: 24767571.
- Hegde V, Arora S. Sealing ability of three hydrophilic single cone obturation systems: An in vitro glucose leakage study. Contemp Clin Dent. 2015 Mar;6(Suppl 1):S86-9. doi: 10.4103/0976-237X.152953. PMID: 25821383; PMCID: PMC4374327.
Tags:
To post a reply please login or register