In light of recent research that clearly demonstrates the production of micro-fractures as a result of rotating NiTi instrumentation[1-4], we should take a cautionary note when using any combination of high pressure and heat when obturating canals. What starts out as small micro-fractures has the potential to propagate to larger and larger fractures, ultimately producing a full vertical fracture of the root.
We want to avoid this possibility and the causative agents that can exacerbate this potential. Yet at the same time, we wish to only obturate a canal that is fully cleansed, be it oval or round, in cross-section.
The research tells us that to fully cleanse a canal, we must have a minimum apical preparation of 35 to provide for effective irrigation[5]. Without effective irrigation, the most machined canal will still have remnants of organic debris that may be harboring bacteria. Not only is a 35 preparation the minimum requirement, but the 35 apical preparation must extend to all the walls of the canal.
It is not enough to have it centered within an oval canal and not touching the walls constituting the major diameter[6]. In short, if we start with an oval canal, we want to end up with a larger version of that same oval canal. What we definitely do not want is the conversion of an oval canal into a wide round canal, which in the process may undermine the strength of the walls constituting the minor diameter of the root.
embedImagecenter("Imagecenter_1_599",599, "large");
Once we have produced a canal space that has removed the bulk of the dentinal debris and provided for adequate irrigation, we want to then choose the appropriate irrigants to most effectively kill any remaining bacteria and digest any organic debris remaining. Seventeen percent EDTA removes the smear layer and opens the dentinal tubules as well as provides an effective lubricant for the apically negotiating instruments.
We follow 17 percent irrigation with 6 percent NaOCl, a solution that digests organic debris and kills most bacteria. By using the 17 percent EDTA first, the resulting open tubules allow for greater penetration of the 6 percent NaOCl where it may attack bacteria that have penetrated the tubules as deep as 200 microns. Two percent chlorhexidine (CHX) is valuable in non-vital cases where it is most effective against E. facaelis, a bacteria most associated with recurrent root canal failures. To use CHX without producing a troublesome precipitate, all remnants of both EDTA and NaOCl must be removed from the canals first. This is best done by irrigating the canals copiously with sterile water or anesthetic solution.
Only after the canals are properly shaped and irrigated are we now ready for canal obturation. Much creativity has gone into ways to obturate canals. One school believes in thermoplasticing gutta-percha so it adapts better to the canal shape as it drives a thin cement interface into an intimate fit with the canal walls.
Thermoplastic oburation can be accomplished with a carrier-based system, various heating elements or glue guns. The Achilles’ heel of all these systems is the contraction that occurs to the gutta-percha as it cools to body temperature after it has been placed within the canal[7]. Research has shown that thermal contraction continues for a minimum of 45 minutes after the heat has been applied.
Techniques that call for the application of pressure for 10 seconds to compensate for thermal contraction recognize that gutta-percha will shrink as it cools, but the technique applied to compensate for that shrinkage is ineffective given the long-term contraction that actually occurs. Thermoplasticized gutta-percha will drive the cement into an intimate relationship with the canal walls, but will then contract, leaving a void between the laterally displaced cement and the shrinking gutta-percha. For these reasons I am not an advocate of thermoplastized systems.
Whether the interface of cement is thick or thin, we are relying on the cement as the actual seal. In effect, the gutta-percha or its substitute is merely a carrier and a driver of the cement. It is the cement that is most critical in providing a good seal. With the cement itself the most important factor in creating an effective seal, the properties of the cement are most important.
I prefer epoxy resins over other types of cement for the following reasons:
1) Epoxy is highly flowable, giving it the ability to penetrate the dentinal tubules far deeper than other cements.
2) Epoxy cement does not shrink upon polymerization. This is an important difference compared to methacrylate cements that shrink 4 to 7 percent with polymerization.
3) Epoxy resin cements bind to both gutta-percha and dentin physically and chemically further enhancing the seal.
4) Epoxy resins, being polymers, are highly resistant to water degradation. This is not the case for particulate cements such as ZOE, calcium hydroxide and glass ionomers.
5) Epoxy resins are innately anti-bacterial.
6) While set epoxy is harder than gutta-percha, it is still softer than dentin, allowing its lateral removal at a later date if a post-hole or retreatment is required.
7) Long-term leakage studies have shown epoxy resins to provide for a long-term seal.
While new cements are being introduced, their overall properties do not match those of epoxy resin. The bioceramic cements do not flow well and are almost impossible to remove. Recent research shows they leak more than conventional cements. It is not surprising that they are hard to remove. Their chemical structure is similar to that of concrete, and they set with a similar hardness. I know of no other cements that represent a set of superior properties to that of epoxy resin.
Almost as important as the cement itself is the delivery system. No matter how good a cement, it is of limited value if it cannot properly coat the entire canal without driving excess cement over the apex. To maximize canal coating while minimizing extrusion beyond the apex, we developed the bidirectional spiral where the majority of the coronal flutes drive the cement apically and the three most apically placed flutes then drive the cement back coronally.
The result of such a design is an instrument that generates two flows of cement, one in the apical direction and one in the coronal direction. When these two flows of cement collide, they are driven laterally against the canal walls. While the bidirectional spiral is rotating at approximately 1,500 revolutions per minute, it is also being used with an up-and-down motion.
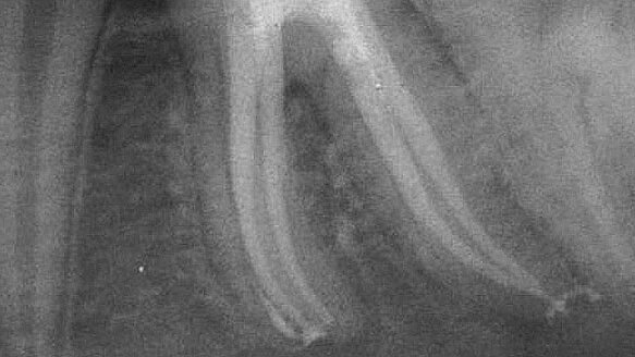
Consequently, the cement is driven laterally against the canal walls throughout the canal’s entire length. Knowing that excess cement will escape coronally rather than being driven apically gives the dentist the ability to thoroughly flood the canal space with cement. When the prefitted master point is then liberally coated with cement and placed into the canal, most of the cement will be driven laterally, with excess cement escaping coronally. The flow of the cement is superior to that of the flow of any thermoplasticized gutta-percha system (Figs. 1, 2). Of greater importance is the fact that it is a room temperature obturation system.
Unlike thermoplastic systems where the obturation materials must cool to body temperature, shrinking 4 to 7 percent in the process, a room temperature system will warm to body temperature, expanding about 1.75 percent in the process. While expansion is not great, it is heading in the right direction and can only improve the seal. It should be added that the small amount of expansion that does occur happens before the cement has set, preventing any lateral stresses to the root.
A final point should be made about the use of lateral condensation. Again, given what we know about the generation of potential micro-fractures already produced by the use of rotary NiTi systems, it is most important to minimize the amount of lateral stresses produced when condensing the gutta-percha fill. For this reason, I never use more pressure than the weight of my hand when creating space for subsequent well-coated lateral points.
A secondary benefit is that we never apply enough pressure to distort the shape of the gutta-percha point. This is important because gutta-percha, similar to rubber, would rebound to its original shape if it were distorted, creating a void where the cement has already been displaced.
Perhaps what becomes most apparent is that we can produce a superior seal by adhering to simple principles, namely flooding the canal with a cement known for its superior properties using a patented bidirectional spiral that allows full coating without the extrusion of excess cement apically. With this unique tool driving a room temperature highly flowable epoxy resin cement, we can achieve an excellent seal with high predictability and low cost.
For more information on these materials and the way they are used, please contact me at info@essentialseminars.org.
Editorial Note: This article appeared in Endo Tribune U.S. Edition, Vol. 7, No. 8, September 2012. A complete list of references is available from the publisher.
The future of orthodontics, like the future of dental and medical, is digital. This is not conjecture or the talk of a futurist. This is fact that grows ...
SEATTLE, Wash., USA: The Pacific Coast Society of Orthodontists will host its 80th annual session Oct. 13 to 16 in Seattle at the Washington State ...
NEW YORK, N.Y., USA: Dr. Bernard Fialkoff, a periodontist and dental implant surgeon from Bayside, N.Y., and president and founding sponsor of Foundation ...
It all started with a nerve broach in 1907. MICRO-MEGA, whose headquarters are located in Besançon, France, has been manufacturing endodontic tools ...
NEW YORK, N.Y., USA: This past winter was brutally cold and at times simply depressing. Helping me to keep warm during this forthcoming winter will be ...
On Sunday, Nov. 28, the first evening of this year’s Greater New York Dental Meeting (GNYDM), DentalVibe will sponsor a-one-of-a-kind event, ...
For more than 30 years, Orascoptic has been designing and manufacturing award-winning dental loupes with the goal of improving the overall performance, ...
Recently, there has been a discussion of the shaping techniques that are most consistent with effective cleansing of the canal spaces both in length and ...
This August, the International Congress of Oral Implantologists host its ICOI 2015 Summer Implant Symposium. This year’s symposium, taking place at ...
NEW YORK, N.Y., USA: I believe the reason we have as many hurricanes as we have had in recent years is because of the 24-hour weather channel. Jerry Della ...
Live webinar
Tue. 19 May 2026
11:00 AM EST (New York)
Live webinar
Tue. 19 May 2026
1:00 PM EST (New York)
Prof. Dr. med. dent. Ivo Krejci
Live webinar
Wed. 20 May 2026
7:00 AM EST (New York)
Dr. Graham Carmichael BDSc (Hons), DClinDent (Pros), FRACDS, Dr. Robert Gottlander DDS
Live webinar
Wed. 20 May 2026
9:00 AM EST (New York)
Live webinar
Wed. 20 May 2026
11:00 AM EST (New York)
Live webinar
Wed. 20 May 2026
1:00 PM EST (New York)
Prof. Dr. med. dent. Tim Joda PhD, MSc, eMBA
Live webinar
Thu. 21 May 2026
12:00 PM EST (New York)
Dr. Leonardo Muniz DDS, MSC
To post a reply please login or register