Search Dental Tribune

Kuraray Noritake articles

Stay up to date to find out more about Kuraray Noritake. This section includes the latest news about the company, along with previews and reviews from past and upcoming events and congresses.

The dream team: Effect liquids and micro-layering on highly aesthetic zirconia

TOKYO, Japan: To complement its comprehensive portfolio of multilayered zirconias—KATANA Zirconia Multi-Layered series—and veneering porcelain for ...

save

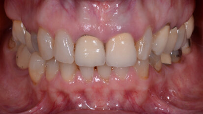
Comprehensive dental rehabilitation with a digital workflow: A case study

Digital advancements have revolutionised dentistry, providing efficient, precise dental care.1 Intra-oral scanners are replacing traditional means of taking...

save

KATANA Zirconia YML allows more time for pleasant activities in the dental laboratory

TOKYO, Japan: People make up to 30,000 decisions every day, and they often must do so very quickly, particularly in busy environments such as that of the ...

save

“Very nice handling properties”: PANAVIA Veneer LC receives top rating

TOKYO, Japan: After a FirstLook evaluation that was published in May 2022, a team of evaluators from REALITY Ratings & Reviews thoroughly tested PANAVIA...

save

How to cement restorations made of high-translucency zirconia

TOKYO, Japan: KATANA Zirconia STML is a highly popular material used in many dental laboratories around the world. Whereas the indications and technical ...

save

KATANA Zirconia restoration: Pretreatment for adhesive luting

The prerequisite for adhesive luting is a reliable bond between the tooth and the restorative material. The quality of the bond depends on the resin cement ...

save

IDS 2023: Discover new opportunities with products from Kuraray Noritake Dental

TOKYO, Japan/COLOGNE, Germany: In less than three weeks’ time, the world’s leading dental trade fair will take place for the 40th time. One of the ...

save

Transforming dentistry: Direct restoration procedures simplified

Some companies mainly make use of basic technologies developed by others to improve their products and introduce new ones, whereas others conduct ...

save

Kuraray Noritake Dental launches Esthetic Colorant for KATANA Zirconia

TOKYO, Japan: A particularly chromatic cervical area and pronounced mamelons and translucencies in the incisal area—every natural tooth has its ...

save

Direct cuspal coverage with resin composite

In the context of treating a tooth with an extensive carious lesion, a biomechanical risk assessment should be performed. The primary method of reducing the...

save

PANAVIA family: Three options, all general cementation needs covered

HATTERSHEIM AM MAIN, Germany: Is it possible to reduce the number of different cements used in a dental office? In most cases, it is. Kuraray Noritake ...

save

Join Kuraray Noritake at the IN.DIRECT virtual symposium

INNSBRUCK, Austria: Kuraray Noritake Dental would like to invite dental professionals to participate in its IN.DIRECT virtual symposium on aesthetic ...

save

Restoring multiple teeth with a single multilayer zirconia

When dental zirconia evolved into a highly aesthetic material suitable for the production of restorations with a monolithic design or minimal labial ...

save

Kuraray Noritake Dental anniversary symposium: One week to go

TOKYO, Japan: It has been ten years since Kuraray Medical and Noritake Dental Supply joined forces to create Kuraray Noritake Dental, and this merger has ...

save

Join Kuraray Noritake Dental at its tenth anniversary symposium

TOKYO, Japan: To celebrate the company’s tenth anniversary, adhesive dentistry pioneer Kuraray Noritake Dental will be holding a symposium with the theme ...

save
advertisement
advertisement