Fig. 1: A cone beam computed tomography was performed for diagnosis and to establish a treatment plan. (Photos/Provided by Renato Interliche, Douglas Giordani Negreiros Cortez and Clauber Romagnoli)
Fig. 2: Irrigation needle previously prepared for surgery.
Fig. 3: Ultrasonic tip for root-end treatment and Bio-C Repair cement at the tip of the surgical plugger.
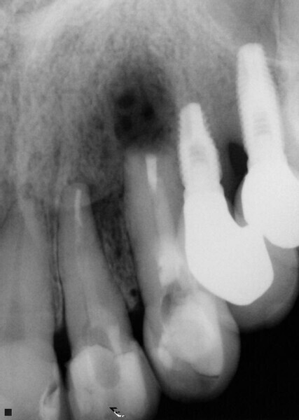
Fig. 4: Periapical radiograph during the root-end surgery verifying the complete root-end filling.
Fig. 5: Periapical radiographic follow-up after 30 and 90 days, showing a fast regression of the periapical lesion and a bone repair.
Fig. 6: Periapical radiographic follow-up after 30 and 90 days, showing a fast regression of the periapical lesion and a bone repair.
Douglas Giordani Negreiros Cortez