I think we’ve all purchased products at one time or another and shortly thereafter wondered, “What will I do with this stuff?” This might describe how I felt shortly after acquiring Voco America’s Amaris Gingiva. “AG,” as I’ll call it, is a composite system geared toward cervical restoration of teeth with the sole purpose of emulating the appearance of gum tissue as opposed to hard tooth structure.
embedImagecenter("Imagecenter_1_212",212, "large");
It consists of three opaquers (varying shades of pink) and a universal paste that Voco America calls “Nature.”
It is a semi-translucent paste, allowing the chosen opaquers (applied singularly or mixed) to reflect through and thus influence the final look of the “tissue restoration.” A handy tissue-toned shade guide will assist you in this matter.
To appreciate AG, one has to abandon the concept that a pink restoration will fool anyone on close inspection. Retract a patient’s lips, put on your loupes (or not) and you’ll have no problem identifying a pink composite restoration. You might even ask yourself, as did I, “What’s the point?”
OK, here’s the point: If you or your patient is interested in maintaining the visual symmetry of his or her smile by not throwing a tooth-colored composite halfway up the patient’s face, then AG might just be the ticket. The case that follows will illustrate what I mean by this concept of “maintaining visual smile symmetry.”
Marlene, a patient new to my practice, presented with a fairly new, long-span bridge that featured advanced caries under the #8 abutment. Understanding the economics of having to section or replace such a large restoration, I agreed to attempt to salvage the bridge by restoring #8, if possible. She was told root canal treatment was a distinct possibility.
Figure 1 reveals the tip of the iceberg while Figure 2 demonstrates the carious lesion following a diode laser gingivectomy (Biolase EZlase). (As an aside, the beauty of a laser gingivectomy in advance of taking a carbide burr to the area is the absence of bleeding and the consequent interference with bonding as well as the procedural slow-down.)
Figure 3 finds the root lesion rendered caries free and ready for restoration. While restoring in a tooth-colored resin is certainly a reasonable option, the other option, “pink,” provides a certain amount of insulation from whatever tissue shrinkage might occur following the gingivectomy. Such insulation means that upon a wide smile, teeth #8 and #9 will, at a glance, appear to be the same length, thus maintaining the visual symmetry of the smile — a camouflage, if you will.
In Figure 4, a glass ionomer paste (Geristore, Denmat) is being employed as the restoration’s base followed by a coat of Voco USA’s self-etching Futurabond DC. Figure 5 features AG’s included shade guide, searching for the closest shade of pink to match the adjacent tissue. In Figure 7, the “light” opaquer has been chosen and placed atop the glass ionomer base followed by the translucent “Nature” paste to complete the restoration as seen in Figure 8.
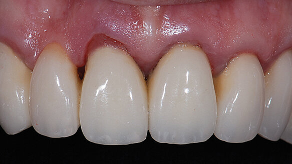
Figure 9 demonstrates the two-week post-op result. If you look closely, you’ll notice the tissue is regrouping nicely, but there is an indication that it might not make it back to its original level. Regardless, if you squint when looking at the same image, you’ll notice that #8 and #9 remain visually symmetrical much as they might while my patient is conversing or smiling. Thus, the visual appeal of the bridge has been maintained.
As experience dictates, there will be multiple situations where restoring in “pink” will make sense — most notably in large canine abfractions that can spoil the smiles of our baby boomer patients. Implant provisionals also lend themselves to the occasional need for a pink cervical area, particularly when implant placement was more apical than might have been ideal (We’ve all been there).
So consider a “pink” restorative option to be just another tool in your belt. You won’t use Amaris Gingiva every day, but when the need arises, you’ll be glad you have it, and your patient will think you’re brilliant.
About the author
Martin Goldstein, DMD, a fellow of the International Academy of Dento-Facial Esthetics, practices general dentistry in Wolcott, Conn. Recognized as a Dentistry Today Top 100 C.E. leader for the last six years and for his expertise in the field of dental digital photography, he lectures and writes extensively on cosmetics and the integration of digital photography into the general practice. He can be reached at martyg924@cox.net or www.drgoldsteinspeaks.com.
Fixed hybrid dentures have been used to successfully restore fully edentulous patients for decades. Their durability, however, leaves room for improvement. ...
After years of teaching at endodontic programs around the country, I can say with strong conviction that the process of critical thinking has not been ...
NEW YORK, N.Y., USA: The American Dental Hygienists’ Association (ADHA) is providing support and serving as a member of the Alliance for Radiation ...
LEIPZIG, Germany: Easy, quick and reliable color determination and color matching for direct restorations will be demonstrated in a free webinar presented ...
DALLAS, USA: Dentistry will be presented bigger than ever on the world’s largest high-definition screen. That’s according to organizers of ...
MELVILLE, N.Y., USA: Henry Schein Inc. is once again helping raise awareness of the importance of early breast cancer detection and is donating funds to ...
NEW YORK CITY: When it comes to helping those most in need, some companies have their heart in the right place. That was apparent during the Greater New ...
MELVILLE, N.Y., USA: Henry Schein Inc.’s “Think Pink, Practice Pink” cause-related marketing program contributed more than $173,000 to ...
Following a recent federal court decision, the American Dental Association (ADA) has joined with three other national organizations representing ...
Debate on the causes of malocclusion has been raging since the genesis of the orthodontic science, but has the answer already been found? Various factions ...
Live webinar
Thu. 23 April 2026
11:00 AM EST (New York)
Live webinar
Thu. 23 April 2026
12:30 PM EST (New York)
Live webinar
Thu. 23 April 2026
1:00 PM EST (New York)
Live webinar
Wed. 29 April 2026
7:00 PM EST (New York)
Dr. Renato Leonardo D.M.D.
Live webinar
Thu. 30 April 2026
1:00 PM EST (New York)
Live webinar
Sun. 3 May 2026
12:00 PM EST (New York)
Dr. Rickard Brånemark MSc, MD, PhD, Dr. Robert Gottlander DDS
Live webinar
Sun. 3 May 2026
8:00 PM EST (New York)
To post a reply please login or register