TEMPE, Ariz., USA: Align Technology has announced the winner of the 2020 Invisalign Ortho Summit Case Shoot-out, one of the company’s live case presentations during the virtual Summit.
Dr. Keith Sellers of Charlotte, N.C., received the greatest number of attendee votes for his Class II/Class III Invisalign case presentation. The Invisalign Ortho Summit Case Shoot-out program features Invisalign treatment outcomes submitted by orthodontists from across North America. Doctors with the best treatment outcomes in each of four Summit Case Shoot-out theme categories are invited to present their cases at the Invisalign Ortho Summit, with the best or favorite overall case presentation determined by audience voting.
The theme categories for the 2020 Invisalign Ortho Summit Case Shoot-out were: Teen Treatment, Open Bite/Deep Bite Treatment, Invisalign with Mandibular Advancement/Invisalign First Treatment, and Class II/Class III treatment. The 2020 Invisalign Ortho Summit Case Shoot-out voting ran from mid-November 2020 through late January 2021 as part of the first-ever virtual Invisalign Ortho Summit.
“The Invisalign Ortho Summit Case Shoot-out is always one of the most highly anticipated and exciting events during Ortho Summit because it’s both an opportunity to see the wide variety of patients who benefit from Invisalign treatment and peer-to-peer validation for orthodontists who are leveraging the Align digital platform for great clinical experiences and outcomes,” said Simon Beard, Align senior vice president and managing director, Americas. “It is a combination of patient stories together with the examples of how our technology enables doctors to transform smiles and change lives, and we are grateful to orthodontists across North America for sharing their complex clinical cases and to their patients for trusting Invisalign treatment to transform their smiles.”
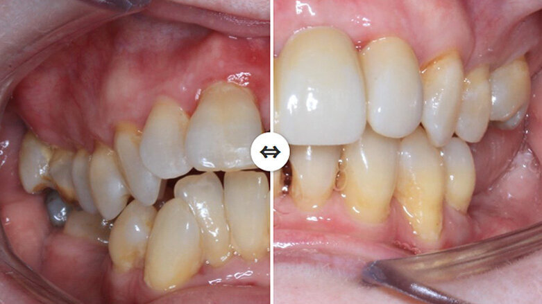
Sellers is an Invisalign Diamond level provider who has treated more than 2,500 patients with Invisalign clear aligners. His challenging Class II/Class III category treatment featured a 65-year-old patient with severe mandibular crowding, flared maxillary and mandibular incisors, severe overjet, recession and multiple missing teeth. His patient, Vickie, also had an extreme fear of dental treatment.
“Vickie was a joy to treat. Her energy, excitement, and enthusiasm towards Invisalign treatment was palpable. In just over a year of treatment, we were able to transform Vickie’s smile and give her a healthy, beautiful smile that she loves. Not only did we achieve a great clinical outcome, but we were also able to give her a great treatment experience with the Invisalign system that put her fears to rest so that she could have the smile she wants and deserves. I love sharing Vickie’s case because it highlights the kind of life-changing treatment we can accomplish every day with Invisalign treatment in a digital orthodontic practice,” Sellers said.
The Invisalign Summit Case Shoot-out is part of Align’s Global Invisalign Gallery program (https://global.invisaligngallery.com/), which recognizes doctors who have achieved successful clinical outcomes using Invisalign treatment across a broad range of malocclusions. In North America, four treatment categories are defined each year and doctors submit cases for consideration via a blind peer review and voting process. The finalists selected in each treatment category go on to compete in the Invisalign Summit Case Shoot-out, where the favorite case is selected by the summit audience.
Sellers competed alongside three other experienced orthodontists, each the finalist in their treatment category: Dr. Tarek El-Bialy of Alberta, Canada (Teen Treatment Category); Dr. Mike Lanzetta of Detroit (Open Bite/Deep Bite Treatment Category); and Dr. Gregory Ross of Forest Lake, Minn. (Invisalign with Mandibular Advancement/Invisalign First Treatment Category).
(Source: GLOBE NEWSWIRE)
Tags:
Dr. Anne Koch, who is presenting two lectures at AAE17, received her DMD and Certificate in Endodontics from the University of Pennsylvania. She is founder ...
NEW YORK, N.Y., USA: The Dr. Edward B. Shils Entrepreneurial Fund, a nonprofit organization dedicated to innovation in health care, held its third annual ...
CHICAGO, Ill., USA: During the recent Chicago Dental Society Midwinter Meeting, the top executives from Henry Schein invited members of the dental industry ...
Live webinar
Thu. 14 May 2026
12:00 PM EST (New York)
Live webinar
Thu. 14 May 2026
2:00 PM EST (New York)
Prof. Hani Ounsi DDS PhD FICD
Live webinar
Tue. 19 May 2026
11:00 AM EST (New York)
Live webinar
Tue. 19 May 2026
1:00 PM EST (New York)
Prof. Dr. med. dent. Ivo Krejci
Live webinar
Wed. 20 May 2026
7:00 AM EST (New York)
Dr. Graham Carmichael BDSc (Hons), DClinDent (Pros), FRACDS, Dr. Robert Gottlander DDS
Live webinar
Wed. 20 May 2026
9:00 AM EST (New York)
Live webinar
Wed. 20 May 2026
1:00 PM EST (New York)
Prof. Dr. med. dent. Tim Joda PhD, MSc, eMBA
To post a reply please login or register