
Dr Mahfuz Rahman. (Image: Mahfuz Rahman)
Dr Rahman, what are the core principles of dental photography that every dentist should be aware of, and what equipment should a dentist own in order to capture high-quality dental images?
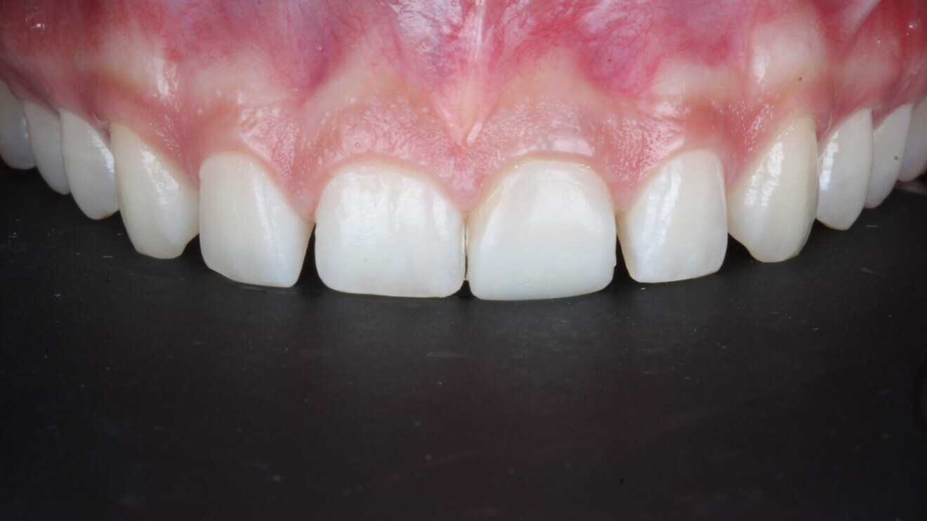
Every dentist should be able to take high-quality aesthetic dental photographs with proper retraction, lighting and framing. They should also know the core principles of the aperture or f-stop. Mastering this one aspect can help dental professionals produce consistently beautiful photographs every time.
Essential equipment includes digital single-lens reflex (DSLR) cameras, macro lenses, external flashes mounted on stands on dual-point flash brackets, and flash transmitters or receivers.
In your opinion, how important is it for modern dental practices to master dental photography?
Photography is absolutely critical for modern dental practice. In the age of Instagram, our social media pages are the modern-day business cards for dental offices. Aesthetic case photographs indicate to prospective patients the type of dentistry that is done in that office as well as the office’s commitment to quality and fine detail.
What effect does dental photography have on patient communication and case documentation?
Great photographs are a wonderful tool for communicating with patients and helping with case acceptance. Photographs allow the patient and dental professional to better articulate clinical concerns with each other. They enable the dentist to better communicate with dental laboratories and allow him or her to give patients something tangible they can reference during diagnosis.
Could you share some foolproof techniques for capturing high-quality dental images?
Using a DSLR camera with a macro lens is an absolute must. Dental professionals can then attach a dual-point bracket to the camera and connect a dual-point flash with soft boxes. Once that is done, the main thing to master is the f-stop button on the camera. For intra-oral photographs, f/25 to f/29 are used, and for portrait photographs, f/13 to f/15.
What other topics will you discuss in your webinar?
We will examine different intra-oral and portrait set-ups for large and small offices. We will consider how to position the patient effectively and which accessories to use. We will also discuss how to use simple procedures for a good clinical photograph so that any team member in the office can take beautiful photographs.
To post a reply please login or register